Skip to main content

Key Product Details

Species Reactivity

Human

Applications

Immunohistochemistry, Western Blot

Label

Unconjugated

Antibody Source

Polyclonal Goat IgG

Product Specifications

Immunogen

E. coli-derived recombinant human Annexin A10
Met1-Tyr324
Accession # Q9UJ72

Specificity

Detects endogenous human Annexin A10 in Western blots. In Western blots, this antibody does not cross-react with recombinant human Annexin A1, A2, A3, A4, A6, A7, A8, A9, A11, or A13.

Clonality

Polyclonal

Host

Goat

Isotype

IgG

Scientific Data Images for Human Annexin A10 Antibody

Detection of Human Annexin A10 antibody by Western Blot.

Detection of Human Annexin A10 by Western Blot.

Western blot shows lysates of HeLa human cervical epithelial carcinoma cell line, A431 human epithelial carcinoma cell line, and K562 human chronic myelogenous leukemia cell line. PVDF membrane was probed with 0.5 µg/mL of Human Annexin A10 Antigen Affinity-purified Polyclonal Antibody (Catalog # AF3544) followed by HRP-conjugated Anti-Goat IgG Secondary Antibody (Catalog # HAF109). A specific band was detected for Annexin A10 at approximately 37 kDa (as indicated). This experiment was conducted using Immunoblot Buffer Group 2.
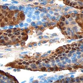
Annexin A10 antibody in Human Stomach by Immunohistochemistry (IHC-P).

Annexin A10 in Human Stomach.

Annexin A10 was detected in immersion fixed paraffin-embedded sections of human stomach using Goat Anti-Human Annexin A10 Antigen Affinity-purified Polyclonal Antibody (Catalog # AF3544) at 10 µg/mL overnight at 4 °C. Before incubation with the primary antibody, tissue was subjected to heat-induced epitope retrieval using Antigen Retrieval Reagent-Basic (Catalog # CTS013). Tissue was stained using the Anti-Goat HRP-DAB Cell & Tissue Staining Kit (brown; Catalog # CTS008) and counterstained with hematoxylin (blue). Specific staining was localized to nuclei of epithelial cells. View our protocol for Chromogenic IHC Staining of Paraffin-embedded Tissue Sections.

Applications for Human Annexin A10 Antibody

Application
Recommended Usage

Immunohistochemistry

5-15 µg/mL
Sample: Immersion fixed paraffin-embedded sections of human stomach

Western Blot

0.5 µg/mL
Sample: HeLa human cervical epithelial carcinoma cell line, A431 human epithelial carcinoma cell line, and K562 human chronic myelogenous leukemia cell line

Formulation, Preparation, and Storage

Purification

Antigen Affinity-purified

Reconstitution

Reconstitute at 0.2 mg/mL in sterile PBS. For liquid material, refer to CoA for concentration.

Reconstitution Buffer Available:
Size / Price
Qty
Loading...

Formulation

Lyophilized from a 0.2 μm filtered solution in PBS with Trehalose. *Small pack size (SP) is supplied either lyophilized or as a 0.2 µm filtered solution in PBS.

Shipping

Lyophilized product is shipped at ambient temperature. Liquid small pack size (-SP) is shipped with polar packs. Upon receipt, store immediately at the temperature recommended below.

Stability & Storage

Use a manual defrost freezer and avoid repeated freeze-thaw cycles.
  • 12 months from date of receipt, -20 to -70 °C as supplied.
  • 1 month, 2 to 8 °C under sterile conditions after reconstitution.
  • 6 months, -20 to -70 °C under sterile conditions after reconstitution.

Background: Annexin A10

The Annexins are a family of Calcium-dependent phospholipid-binding proteins that are preferentially located on the cytosolic face of the plasma membrane. The Annexin’s have a molecular weight of approximately 35 to 40 kDa and consist of a unique amino terminal domain followed by a homologous C-terminal core domain containing the calcium-dependent phospholipid-binding sites. The C‑terminal domain is comprised of four 60‑70 amino acid repeats, known as annexin repeats or an endonexin fold (Annexin A6 contains 8 annexin repeats). The four annexin repeats form a highly alpha-helical, tightly packed disc known as the annexin domain, which binds to phospholipids in the membrane in a calcium-dependent manner. Members of the annexin family play a role in cytoskeletal interactions, phospholipase inhibition, regulation of cellular growth, and intracellular signal transduction pathways. Annexin A10 (ANXA10), also known as Annexin 14, is a 37 kDa member of the Annexin family of proteins. The function of Annexin A10 has not been clearly defined. Human Annexin A10 shares 89% identity with mouse Annexin A10.

Alternate Names

ANX14, ANXA10

Entrez Gene IDs

11199 (Human)

Gene Symbol

ANXA10

UniProt

Additional Annexin A10 Products

Product Documents for Human Annexin A10 Antibody

Certificate of Analysis

To download a Certificate of Analysis, please enter a lot number in the search box below.

Note: Certificate of Analysis not available for kit components.

Product Specific Notices for Human Annexin A10 Antibody

For research use only

Loading...
Loading...
Loading...
Loading...