Skip to main content

Key Product Details

Species Reactivity

Validated:

Human

Cited:

Human, Mouse, Rat, Transgenic Mouse, Xenograft

Applications

Validated:

Immunohistochemistry, Western Blot

Cited:

Immunohistochemistry, Immunohistochemistry-Paraffin, Western Blot, Neutralization, Immunocytochemistry

Label

Unconjugated

Antibody Source

Polyclonal Goat IgG

Product Specifications

Immunogen

Mouse myeloma cell line NS0-derived recombinant human Angiopoietin-2
Asp68-Phe496
Accession # O15123

Specificity

Detects human Angiopoietin-2 in direct ELISAs and Western blots. In direct ELISAs, 100% cross-reactivity with recombinant mouse Angiopoietin-2 is observed and less than 5% cross-reactivity with recombinant human Angiopoietin-1 is observed.

Clonality

Polyclonal

Host

Goat

Isotype

IgG

Scientific Data Images for Human Angiopoietin-2 Antibody

Detection of Human Angiopoietin-2 antibody by Western Blot.

Detection of Human Angiopoietin‑2 by Western Blot.

Western blot shows lysates of HepG2 human hepatocellular carcinoma cell line. PVDF Membrane was probed with 1 µg/mL of Goat Anti-Human Angiopoietin-2 Antigen Affinity-purified Polyclonal Antibody (Catalog # AF623) followed by HRP-conjugated Anti-Goat IgG Secondary Antibody (Catalog # HAF019). A specific band was detected for Angiopoietin-2 at approximately 65 kDa (as indicated). This experiment was conducted under reducing conditions and using Immunoblot Buffer Group 1.
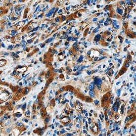
Angiopoietin-2 antibody in Human Gastrointestinal Cancer Tissue by Immunohistochemistry (IHC-P).

Angiopoietin‑2 in Human Gastrointestinal Cancer Tissue.

Angiopoietin-2 was detected in immersion fixed paraffin-embedded sections of human gastrointestinal cancer tissue using 15 µg/mL Goat Anti-Human Angiopoietin-2 Antigen Affinity-purified Polyclonal Antibody (Catalog # AF623) overnight at 4 °C. Tissue was stained with the Anti-Goat HRP-DAB Cell & Tissue Staining Kit (brown; Catalog # CTS008) and counterstained with hematoxylin (blue). Lower panel shows a lack of labeling if primary antibodies are omitted and tissue is stained only with secondary antibody followed by incubation with detection reagents. View our protocol for Chromogenic IHC Staining of Paraffin-embedded Tissue Sections.
Angiopoietin-2 antibody in Human Liver Cancer Tissue by Immunohistochemistry (IHC-P).

Angiopoietin‑2 in Human Liver Cancer Tissue.

Angiopoietin-2 was detected in immersion fixed paraffin-embedded sections of human liver cancer tissue using Goat Anti-Human Angiopoietin-2 Antigen Affinity-purified Polyclonal Antibody (Catalog # AF623) at 3 µg/mL overnight at 4 °C. Tissue was stained using the Anti-Goat HRP-DAB Cell & Tissue Staining Kit (brown; Catalog # CTS008) and counterstained with hematoxylin (blue). Specific staining was localized to cytoplasm in cancer cells. View our protocol for Chromogenic IHC Staining of Paraffin-embedded Tissue Sections.

Applications for Human Angiopoietin-2 Antibody

Application
Recommended Usage

Immunohistochemistry

5-15 µg/mL
Sample: Immersion fixed paraffin-embedded sections of human gastrointestinal cancer tissue and human liver cancer tissue

Western Blot

1 µg/mL
Sample: HepG2 human hepatocellular carcinoma cell line

Reviewed Applications

Read 3 reviews rated 4.3 using AF623 in the following applications:

Formulation, Preparation, and Storage

Purification

Antigen Affinity-purified

Reconstitution

Reconstitute at 0.2 mg/mL in sterile PBS. For liquid material, refer to CoA for concentration.

Reconstitution Buffer Available:
Size / Price
Qty
Loading...

Formulation

Lyophilized from a 0.2 μm filtered solution in PBS with Trehalose. *Small pack size (SP) is supplied either lyophilized or as a 0.2 µm filtered solution in PBS.

Shipping

Lyophilized product is shipped at ambient temperature. Liquid small pack size (-SP) is shipped with polar packs. Upon receipt, store immediately at the temperature recommended below.

Stability & Storage

Use a manual defrost freezer and avoid repeated freeze-thaw cycles.
  • 12 months from date of receipt, -20 to -70 °C as supplied.
  • 1 month, 2 to 8 °C under sterile conditions after reconstitution.
  • 6 months, -20 to -70 °C under sterile conditions after reconstitution.

Background: Angiopoietin-2

Angiopoietin-2 (Ang-2; also ANGPT2) is a secreted glycoprotein that plays a complex role in angiogenesis and inflammation. Mature Ang-2 is 478 amino acids (aa) in length. It contains one coiled-coil domain (aa 166-248) that mediates multimerization, and a C-terminal fibrinogen-like domain (aa 275-495) that mediates receptor binding. Under reducing conditions, secreted monomeric Ang-2 is 65-66 kDa in size. Under nonreducing conditions, both natural and recombinant Ang-2 form 140 kDa dimers, 200 kDa trimers, and 250-300 kDa tetramers and pentamers. Alternate splicing generates a short isoform that lacks 52 amino acids (aa) preceding the coiled-coil domain. Mature human Ang-2 shares 86% aa sequence identity with mouse and rat Ang-2. Ang-2 is widely expressed during development, but it is restricted postnatally to highly angiogenic tissues such as the placenta, ovaries, and uterus. It is particularly abundant in vascular endothelial cells (EC) where it is stored in intracellular Weibel-Palade bodies. Both Ang-2 and the related Angiopoietin-1 (Ang-1) are ligands for the receptor tyrosine kinase Tie-2. While Ang-1 is a potent Tie-2 agonist, Ang-2 may act as either a Tie-2 antagonist or agonist, depending upon its state of multimerization. The higher the order of oligomer, the more effective Ang-2 becomes as a Tie-2 agonist. The short isoform appears to block the binding of either Ang-1 or full-length Ang-2 to Tie-2. Ang-2 functions as a pro-angiogenic factor, although it can also induce EC death and vessel regression. Upon its release from quiescent EC, it regulates vascular remodeling by promoting EC survival, proliferation, and migration and destabilizing the interaction between EC and perivascular cells. Ang-2 is required for postnatal vascular remodeling, and it cooperates with Ang-1 during lymphatic vessel development. It mediates the upregulation of ICAM-1 and VCAM-1 on EC, which facilitates the adhesion of leukocytes during inflammation. Ang-2 is upregulated in both the endothelium and tumor cells of several cancers as well as in ischemic tissue. Its direct interaction with Integrins promotes tumor cell invasion. Ang-2 also promotes the neuronal differentiation and migration of subventricular zone progenitor cells.

Alternate Names

ANGPT2

Entrez Gene IDs

285 (Human); 11601 (Mouse); 89805 (Rat); 396730 (Porcine); 101925495 (Cynomolgus Monkey)

Gene Symbol

ANGPT2

UniProt

Additional Angiopoietin-2 Products

Product Documents for Human Angiopoietin-2 Antibody

Certificate of Analysis

To download a Certificate of Analysis, please enter a lot number in the search box below.

Note: Certificate of Analysis not available for kit components.

Product Specific Notices for Human Angiopoietin-2 Antibody

For research use only

Loading...
Loading...
Loading...
Loading...