Skip to main content

Key Product Details

Species Reactivity

Human

Applications

Immunohistochemistry, Western Blot, Simple Western

Label

Unconjugated

Antibody Source

Monoclonal Mouse IgG2B Clone # 1092531

Product Specifications

Immunogen

E. coli-derived recombinant human AMPKbeta1
Met1-Ile270
Accession # Q9Y478

Specificity

Detects recombinant human AMPK beta1 protein in Direct ELISA.

Clonality

Monoclonal

Host

Mouse

Isotype

IgG2B

Scientific Data Images for Human AMPK beta1 Antibody

Detection of Human AMPK beta1 by Western Blot.

Western Blot shows lysates of K562 human chronic myelogenous leukemia cell line and HepG2 human hepatocellular carcinoma cell line. PVDF membrane was probed with 1 µg/ml of Mouse Anti-Human AMPK beta1 Monoclonal Antibody (Catalog # MAB11642) followed by HRP-conjugated Anti-Mouse IgG Secondary Antibody (Catalog # HAF018). A specific band was detected for AMPK beta1 at approximately 36 kDa (as indicated). This experiment was conducted under reducing conditions and using Western Blot Buffer Group 1.

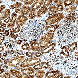
Detection of AMPK beta1 in Human Kidney.

AMPK beta1 was detected in immersion fixed paraffin-embedded sections of human kidney using Mouse Anti-Human AMPK beta1 Monoclonal Antibody (Catalog # MAB11642) at 0.5 µg/ml for 1 hour at room temperature followed by incubation with the Anti-Mouse IgG VisUCyte™ HRP Polymer Antibody (Catalog # VC001). Before incubation with the primary antibody, tissue was subjected to heat-induced epitope retrieval using VisUCyte Antigen Retrieval Reagent-Basic (Catalog # VCTS021). Tissue was stained using DAB (brown) and counterstained with hematoxylin (blue). Specific staining was localized to the cytoplasm. View our protocol for IHC Staining with VisUCyte HRP Polymer Detection Reagents.

Detection of Human AMPK beta1 by Simple WesternTM.

Simple Western shows lysates of HEK293T human embryonic kidney cell line and K562 human chronic myelogenous leukemia cell line, loaded at 0.5 mg/ml. A specific band was detected for AMPK beta1 at approximately 52 kDa (as indicated) using 10 µg/mL of Mouse Anti-Human AMPK beta1 Monoclonal Antibody (Catalog # MAB11642). This experiment was conducted under reducing conditions and using the 12-230 kDa separation system.

Applications for Human AMPK beta1 Antibody

Application
Recommended Usage

Immunohistochemistry

0.5-25 µg/mL
Sample: Immersion fixed paraffin-embedded sections of human kidney

Simple Western

10 µg/mL
Sample: HEK293T human embryonic kidney cell line and K562 human chronic myelogenous leukemia cell line

Western Blot

1 µg/mL
Sample: K562 human chronic myelogenous leukemia cell line and HepG2 human hepatocellular carcinoma cell line

Formulation, Preparation, and Storage

Purification

Protein A or G purified from hybridoma culture supernatant

Reconstitution

Reconstitute lyophilized material at 0.2 mg/ml in sterile PBS. For liquid material, refer to CoA for concentration.

Reconstitution Buffer Available:
Size / Price
Qty
Loading...

Formulation

Lyophilized from a 0.2 μm filtered solution in PBS with Trehalose. See Certificate of Analysis for details.
*Small pack size (-SP) is supplied either lyophilized or as a 0.2 μm filtered solution in PBS.

Shipping

Lyophilized product is shipped at ambient temperature. Liquid small pack size (-SP) is shipped with polar packs. Upon receipt, store immediately at the temperature recommended below.

Stability & Storage

Use a manual defrost freezer and avoid repeated freeze-thaw cycles.
  • 12 months from date of receipt, -20 to -70 °C as supplied.
  • 1 month, 2 to 8 °C under sterile conditions after reconstitution.
  • 6 months, -20 to -70 °C under sterile conditions after reconstitution.

Background: AMPK beta 1

AMP-activated protein kinase (AMPK) is a heterotrimeric complex consisting of a catalytic alpha subunit and regulatory beta and gamma subunits. Each subunit exists as alternate isoforms ( alpha1, alpha2, beta1, beta2, gamma1, gamma2, gamma3), with all 12 combinations able to form complexes. The beta1 subunit is expressed at higher levels than the beta2 subunit in liver, while beta2 is more abundant than beta1 in skeletal muscle. AMPK’s role in metabolic regulation has implicated this serine/threonine kinase complex as a therapeutic target in heart disease, obesity, and diabetes.

Long Name

AMP-activated Protein Kinase beta 1

Alternate Names

PRKAB1

Entrez Gene IDs

5564 (Human); 19079 (Mouse); 83803 (Rat)

Gene Symbol

PRKAB1

UniProt

Additional AMPK beta 1 Products

Product Documents for Human AMPK beta1 Antibody

Certificate of Analysis

To download a Certificate of Analysis, please enter a lot number in the search box below.

Note: Certificate of Analysis not available for kit components.

Product Specific Notices for Human AMPK beta1 Antibody

For research use only

Loading...
Loading...
Loading...
Loading...