Skip to main content

Key Product Details

Species Reactivity

Human

Applications

Immunohistochemistry, Western Blot

Label

Unconjugated

Antibody Source

Monoclonal Mouse IgG1 Clone # 970114

Product Specifications

Immunogen

E. coli-derived recombinant human alpha-Synuclein
Met1-Ala140
Accession # P37840

Specificity

Detects human alpha-Synuclein in direct ELISAs.

Clonality

Monoclonal

Host

Mouse

Isotype

IgG1

Scientific Data Images for Human alpha-Synuclein Antibody

Detection of Human a-Synuclein antibody by Western Blot.

Detection of Human alpha-Synuclein by Western Blot.

Western blot shows lysates of human brain (motor cortex and cerebellum) tissue. PVDF membrane was probed with 5 µg/mL of Mouse Anti-Human a-Synuclein Monoclonal Antibody (Catalog # MAB13383) followed by HRP-conjugated Anti-Mouse IgG Secondary Antibody (Catalog # HAF018). A specific band was detected for a-Synuclein at approximately 17 kDa (as indicated). This experiment was conducted under reducing conditions and using Immunoblot Buffer Group 3.
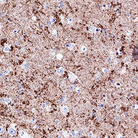
a-Synuclein antibody in Human Brain by Immunohistochemistry (IHC-P).

alpha-Synuclein in Human Brain.

a-Synuclein was detected in immersion fixed paraffin-embedded sections of human brain (hippocampus) using Mouse Anti-Human a-Synuclein Monoclonal Antibody (Catalog # MAB13383) at 5 µg/mL for 1 hour at room temperature followed by incubation with the Anti-Mouse IgG VisUCyte™ HRP Polymer Antibody (Catalog # VC001). Tissue was stained using DAB (brown) and counterstained with hematoxylin (blue). Specific staining was localized to synaptic boutons. View our protocol for IHC Staining with VisUCyte HRP Polymer Detection Reagents.

Applications for Human alpha-Synuclein Antibody

Application
Recommended Usage

Immunohistochemistry

5-25 µg/mL
Sample: Immersion fixed paraffin-embedded sections of human brain (hippocampus)

Western Blot

5 µg/mL
Sample: Human brain (motor cortex and cerebellum) tissue

Reviewed Applications

Read 1 review rated 5 using MAB13383 in the following applications:

Formulation, Preparation, and Storage

Purification

Protein A or G purified from hybridoma culture supernatant

Reconstitution

Reconstitute at 0.5 mg/mL in sterile PBS. For liquid material, refer to CoA for concentration.

Reconstitution Buffer Available:
Size / Price
Qty
Loading...

Formulation

Lyophilized from a 0.2 μm filtered solution in PBS with Trehalose. *Small pack size (SP) is supplied either lyophilized or as a 0.2 µm filtered solution in PBS.

Shipping

Lyophilized product is shipped at ambient temperature. Liquid small pack size (-SP) is shipped with polar packs. Upon receipt, store immediately at the temperature recommended below.

Stability & Storage

Use a manual defrost freezer and avoid repeated freeze-thaw cycles.
  • 12 months from date of receipt, -20 to -70 °C as supplied.
  • 1 month, 2 to 8 °C under sterile conditions after reconstitution.
  • 6 months, -20 to -70 °C under sterile conditions after reconstitution.

Background: alpha-Synuclein

alpha-Synuclein is a cytoplasmic protein that is predominantly expressed in the central nervous system. It is a precursor of a minor peptide found in amyloid deposition that is a hallmark of Alzheimer's disease. Defects in alpha-Synuclein are associated with familial Parkinson's disease.

Alternate Names

NACP, PARK1, PARK4, SNCA, Synuclein-alpha

Entrez Gene IDs

6622 (Human); 20617 (Mouse); 29219 (Rat); 641350 (Porcine); 282857 (Bovine)

Gene Symbol

SNCA

UniProt

Additional alpha-Synuclein Products

Product Documents for Human alpha-Synuclein Antibody

Certificate of Analysis

To download a Certificate of Analysis, please enter a lot number in the search box below.

Note: Certificate of Analysis not available for kit components.

Product Specific Notices for Human alpha-Synuclein Antibody

For research use only

Loading...
Loading...
Loading...
Loading...
Loading...