Skip to main content

Human Alkaline Phosphatase/ALPL Antibody

R&D Systems, part of Bio-Techne | Catalog # MAB29092

R&D Systems, part of Bio-Techne

Key Product Details

Species Reactivity

Validated:

Human

Cited:

Human, Mouse

Applications

Validated:

Immunohistochemistry, Western Blot, Neutralization

Cited:

Western Blot, Immunocytochemistry

Label

Unconjugated

Antibody Source

Monoclonal Mouse IgG1 Clone # 928929

Product Specifications

Immunogen

Mouse myeloma cell line NS0-derived recombinant human Alkaline Phosphatase/ALPL
Leu18-Ser502
Accession # P05186

Specificity

Detects human Alkaline Phosphatase/ALPL in direct ELISA and Western Blots.

Clonality

Monoclonal

Host

Mouse

Isotype

IgG1

Scientific Data Images for Human Alkaline Phosphatase/ALPL Antibody

Detection of Human Alkaline Phosphatase/ALPL antibody by Western Blot.

Detection of Human Alkaline Phosphatase/ALPL by Western Blot.

Western blot shows lysates of HeLa human cervical epithelial carcinoma cell line, BG01V human embryonic stem cells, and NTera-2 human testicular embryonic carcinoma cell line. PVDF membrane was probed with 0.25 µg/mL of Mouse Anti-Human Alkaline Phosphatase/ALPL Monoclonal Antibody (Catalog # MAB29092) followed by HRP-conjugated Anti-Mouse IgG Secondary Antibody (HAF018). A specific band was detected for Alkaline Phosphatase/ALPL at approximately 80 kDa (as indicated). This experiment was conducted under reducing conditions and using Immunoblot Buffer Group 1.
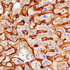
Alkaline Phosphatase/ALPL antibody in Human Liver by Immunohistochemistry (IHC-P).

Alkaline Phosphatase/ALPL in Human Liver.

Alkaline Phosphatase/ALPL was detected in immersion fixed paraffin-embedded sections of human liver using Mouse Anti-Human Alkaline Phosphatase/ALPL Monoclonal Antibody (Catalog # MAB29092) at 0.3 µg/mL overnight at 4 °C. Tissue was stained using the Anti-Mouse HRP-DAB Cell & Tissue Staining Kit (brown; CTS002) and counterstained with hematoxylin (blue). Specific staining was localized to bile canaliculi. View our protocol for Chromogenic IHC Staining of Paraffin-embedded Tissue Sections.

Detection of Human Alkaline Phosphatase/ALPL by Simple WesternTM.

Simple Western lane view shows lysates of HeLa human cervical epithelial carcinoma cells, Saos-2 human osteosarcoma cells and BG01V human embryonic stem cells, loaded at 0.2 mg/mL. A specific band was detected for Alkaline Phosphatase/ALPL at approximately 115 kDa (as indicated) using 5 µg/mL of Mouse Anti-Human Alkaline Phosphatase/ALPL Monoclonal Antibody (Catalog # MAB29092) . This experiment was conducted under reducing conditions and using the 12-230 kDa separation system.

Applications for Human Alkaline Phosphatase/ALPL Antibody

Application
Recommended Usage

Immunohistochemistry

8-25 µg/mL
Sample: Immersion fixed paraffin-embedded sections of human liver

Western Blot

0.25 µg/mL
Sample: HeLa human cervical epithelial carcinoma cell line, BG01V human embryonic stem cells, and NTera‑2 human testicular embryonic carcinoma cell line

Neutralization

5 µg/mL

Formulation, Preparation, and Storage

Purification

Protein A or G purified from hybridoma culture supernatant

Reconstitution

Reconstitute at 0.5 mg/mL in sterile PBS. For liquid material, refer to CoA for concentration.

Reconstitution Buffer Available:
Size / Price
Qty
Loading...

Formulation

Lyophilized from a 0.2 μm filtered solution in PBS with Trehalose. *Small pack size (SP) is supplied either lyophilized or as a 0.2 µm filtered solution in PBS.

Shipping

Lyophilized product is shipped at ambient temperature. Liquid small pack size (-SP) is shipped with polar packs. Upon receipt, store immediately at the temperature recommended below.

Stability & Storage

Use a manual defrost freezer and avoid repeated freeze-thaw cycles.
  • 12 months from date of receipt, -20 to -70 °C as supplied.
  • 1 month, 2 to 8 °C under sterile conditions after reconstitution.
  • 6 months, -20 to -70 °C under sterile conditions after reconstitution.

Background: Alkaline Phosphatase/ALPL

Four distinct genes encode alkaline phosphatases (APs) in humans (1). The ALPL gene encodes the liver/bone/kidney isozyme, also known as the tissue-nonspecific AP (TNAP). In comparison, ALPI, ALPP and ALPPL2 encode intestinal, placental and placental-like or germ cell APs, respectively. The serum levels of human APs are useful tumor markers (2). There are many mutations in the ALPL gene, leading to different forms of hypophosphatasia, characterized by poorly mineralized cartilage and bones (3). The native ALPL is a glycosylated homodimer attached to the membrane through a GPI-anchor. The C-terminal pro peptide (residues 503‑524) is not present in the mature form.

References

  1. Le Du, M-H. and J.L. Millan (2002) J. Biol. Chem. 277:49808.
  2. Millan, J.L. and W.H. Fishman (1995) Crit. Rev. Clin. Lab. Sci. 32:1.
  3. Di Mauro, S. et al. (2002) J. Bone Miner. Res. 17:1383.

Long Name

Alkaline Phosphatase Liver

Alternate Names

Akp2, AP-TNAP, HOPS, TNAP, TNSALP

Entrez Gene IDs

249 (Human); 11647 (Mouse)

Gene Symbol

ALPL

UniProt

Additional Alkaline Phosphatase/ALPL Products

Product Documents for Human Alkaline Phosphatase/ALPL Antibody

Certificate of Analysis

To download a Certificate of Analysis, please enter a lot number in the search box below.

Note: Certificate of Analysis not available for kit components.

Product Specific Notices for Human Alkaline Phosphatase/ALPL Antibody

For research use only

Loading...
Loading...
Loading...
Loading...