Skip to main content

Key Product Details

Species Reactivity

Human

Applications

Immunohistochemistry, Immunocytochemistry

Label

Unconjugated

Antibody Source

Monoclonal Mouse IgG2B Clone # 775928

Product Specifications

Immunogen

E. coli-derived recombinant human A20/TNFAIP3
Lys91-Leu263
Accession # P21580

Specificity

Detects human A20/TNFAIP3 in direct ELISAs.

Clonality

Monoclonal

Host

Mouse

Isotype

IgG2B

Scientific Data Images for Human A20/TNFAIP3 Antibody

A20/TNFAIP3 antibody in HL-60 Human Cell Line by Immunocytochemistry (ICC).

A20/TNFAIP3 in HL‑60 Human Cell Line.

A20/TNFAIP3 was detected in immersion fixed HL-60 human acute promyelocytic leukemia cell line using Mouse Anti-Human A20/TNFAIP3 Monoclonal Antibody (Catalog # MAB75981) at 25 µg/mL for 3 hours at room temperature. Cells were stained using the NorthernLights™ 557-conjugated Anti-Mouse IgG Secondary Antibody (yellow; NL007) and counterstained with DAPI (blue). Specific staining was localized to cytoplasm. View our protocol for Fluorescent ICC Staining of Non-adherent Cells.

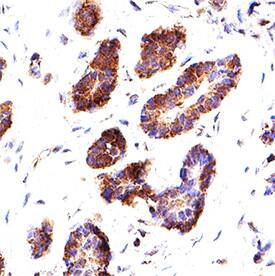
Detection of A20/TNFAIP3 in Normal Breast.

A20/TNFAIP3 was detected in immersion fixed paraffin-embedded sections of normal breast using Mouse Anti-Human A20/TNFAIP3 Monoclonal Antibody (Catalog # MAB75981) at 1 µg/ml overnight at 4 °C. Before incubation with the primary antibody, tissue was subjected to heat-induced epitope retrieval using VisUCyte Antigen Retrieval Reagent-Basic (Catalog # VCTS021). Tissue was stained using the Anti-Mouse HRP-DAB Cell & Tissue Staining Kit (brown; Catalog # CTS002) and counterstained with hematoxylin (blue). Specific staining was localized to cytoplasm and glandular cells. View our protocol for Chromogenic IHC Staining of Paraffin-embedded Tissue Sections.

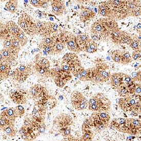
Detection of A20/TNFAIP3 in Normal Liver.

A20/TNFAIP3 was detected in immersion fixed paraffin-embedded sections of normal liver using Mouse Anti-Human A20/TNFAIP3 Monoclonal Antibody (Catalog # MAB75981) at 1 µg/ml overnight at 4 °C. Before incubation with the primary antibody, tissue was subjected to heat-induced epitope retrieval using VisUCyte Antigen Retrieval Reagent-Basic (Catalog # VCTS021). Tissue was stained using the Anti-Mouse HRP-DAB Cell & Tissue Staining Kit (brown; Catalog # CTS002) and counterstained with hematoxylin (blue). Specific staining was localized to cytoplasm and hepatocytes. View our protocol for Chromogenic IHC Staining of Paraffin-embedded Tissue Sections.

Applications for Human A20/TNFAIP3 Antibody

Application
Recommended Usage

Immunocytochemistry

3-25 µg/mL
Sample: Immersion fixed HL‑60 human acute promyelocytic leukemia cell line

Immunohistochemistry

3-25 µg/mL
Sample:

Immersion fixed paraffin-embedded sections of normal breast and normal liver

Formulation, Preparation, and Storage

Purification

Protein A or G purified from hybridoma culture supernatant

Reconstitution

Sterile PBS to a final concentration of 0.5 mg/mL. For liquid material, refer to CoA for concentration.

Reconstitution Buffer Available:
Size / Price
Qty
Loading...

Formulation

Lyophilized from a 0.2 μm filtered solution in PBS with Trehalose. *Small pack size (SP) is supplied either lyophilized or as a 0.2 µm filtered solution in PBS.

Shipping

Lyophilized product is shipped at ambient temperature. Liquid small pack size (-SP) is shipped with polar packs. Upon receipt, store immediately at the temperature recommended below.

Stability & Storage

Use a manual defrost freezer and avoid repeated freeze-thaw cycles.
  • 12 months from date of receipt, -20 to -70 °C as supplied.
  • 1 month, 2 to 8 °C under sterile conditions after reconstitution.
  • 6 months, -20 to -70 °C under sterile conditions after reconstitution.

Background: A20/TNFAIP3

A20, also called TNF alpha-induced protein 3 (TNFAIP3), is a cytoplasmic zinc finger protein that inhibits NF kappaB activity and tumor necrosis factor-mediated programmed cell death. The protein interacts with NAF1 and inhibits TNF-induced NF kappaB-dependent gene expression by interfering with RIP- or TRAF2-mediated transactivation signaling. A20 contains an N-terminal domain which has deubiquitinating enzyme activity and removes ubiquitin chains from receptor-interacting protein (RIP), thus mediating distinct regulatory effects in the down-regulation of NF kappaB signaling.

Alternate Names

OTUD7C, TNFA1P2, TNFAIP3

Entrez Gene IDs

7128 (Human); 21929 (Mouse)

Gene Symbol

TNFAIP3

UniProt

Additional A20/TNFAIP3 Products

Product Documents for Human A20/TNFAIP3 Antibody

Certificate of Analysis

To download a Certificate of Analysis, please enter a lot number in the search box below.

Note: Certificate of Analysis not available for kit components.

Product Specific Notices for Human A20/TNFAIP3 Antibody

For research use only

Loading...
Loading...
Loading...
Loading...