Skip to main content

HSD3B7 Antibody - BSA Free

Novus Biologicals, part of Bio-Techne | Catalog # NBP2-14103

Novus Biologicals, part of Bio-Techne
Catalog #
Availability
Size / Price
Qty
Loading...
NBP2-14103
NBP2-14103-25ul

Key Product Details

Species Reactivity

Human

Applications

Immunocytochemistry/ Immunofluorescence, Immunohistochemistry, Immunohistochemistry-Paraffin

Label

Unconjugated

Antibody Source

Polyclonal Rabbit IgG

Format

BSA Free

Concentration

Concentrations vary lot to lot. See vial label for concentration. If unlisted please contact technical services.

Product Specifications

Immunogen

This antibody was developed against a recombinant protein corresponding to the amino acids: VVRMLLQREPRLGELRVFDQHLGPWLEELKTGPVRVTAIQGDVTQAHEVAAAVAGAHVVIHTAGLVDVFGRASPKTIHEVNVQG

Reactivity Notes

Immunogen displays the following percentage of sequence identity for non-tested species: Mouse (85%), Rat (85%)

Clonality

Polyclonal

Host

Rabbit

Isotype

IgG

Description

Novus Biologicals Rabbit HSD3B7 Antibody - BSA Free (NBP2-14103) is a polyclonal antibody validated for use in IHC and ICC/IF. All Novus Biologicals antibodies are covered by our 100% guarantee.

Scientific Data Images for HSD3B7 Antibody - BSA Free

Immunocytochemistry/ Immunofluorescence: HSD3B7 Antibody [NBP2-14103]

Immunocytochemistry/ Immunofluorescence: HSD3B7 Antibody [NBP2-14103]

Immunocytochemistry/Immunofluorescence: HSD3B7 Antibody [NBP2-14103] - Staining of human cell line Hep G2 shows localization to lipid droplets.
Immunohistochemistry-Paraffin: HSD3B7 Antibody [NBP2-14103]

Immunohistochemistry-Paraffin: HSD3B7 Antibody [NBP2-14103]

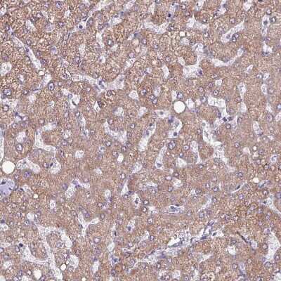
Immunohistochemistry-Paraffin: HSD3B7 Antibody [NBP2-14103] - Staining of human liver shows moderate cytoplasmic positivity in hepatocytes.
Immunohistochemistry-Paraffin: HSD3B7 Antibody [NBP2-14103]

Immunohistochemistry-Paraffin: HSD3B7 Antibody [NBP2-14103]

Immunohistochemistry-Paraffin: HSD3B7 Antibody [NBP2-14103] - Staining of human kidney shows strong cytoplasmic positivity in renal tubules.

Applications for HSD3B7 Antibody - BSA Free

Application
Recommended Usage

Immunocytochemistry/ Immunofluorescence

0.25-2 ug/ml

Immunohistochemistry

1:50 - 1:200

Immunohistochemistry-Paraffin

1:50 - 1:200
Application Notes
For IHC-Paraffin, HIER pH 6 retrieval is recommended. ICC/IF, Fixation Permeabilization: Use PFA/Triton X-100.

Formulation, Preparation, and Storage

Purification

Immunogen affinity purified

Formulation

PBS (pH 7.2) and 40% Glycerol

Format

BSA Free

Preservative

0.02% Sodium Azide

Concentration

Concentrations vary lot to lot. See vial label for concentration. If unlisted please contact technical services.

Shipping

The product is shipped with polar packs. Upon receipt, store it immediately at the temperature recommended below.

Stability & Storage

Store at 4C short term. Aliquot and store at -20C long term. Avoid freeze-thaw cycles.

Background: HSD3B7

HSD3B7 codes for a protein with a length of 369 amino acids and a weight of approximately 41 kDa, with a shorter isoform with a length of 196 amino acids and a weight of approximately 21 kDa, and is a protein that plays a role in the biosynthesis of all classes of hormonal steroids, as it does not metabolize several different C steroids as substrates. It is also involved in bile acid synthesis from cholesterol. Current studies are being done on diseases and disorders relating to this gene including congenital bile acid synthesis defect, hepatitis, jaundice, cholesterol, tuberculosis, and neuronitis. HSD3B7 has also been shown to have interactions with PLSCR1, AKR1D1, CYP27A1, CYP39A1, and CYP7A1 in pathways such as the bile acid biosynthesis and metabolic pathways.

Alternate Names

3 beta-hydroxy-delta 5-C27-steroid oxidoreductase, 3 beta-hydroxysteroid dehydrogenase type 7, 3 beta-hydroxysteroid dehydrogenase type VII, 3-beta-HSD VII, 7-alpha-diol 3-beta-dehydrogenase, C(27) 3-beta-HSD, C(27)-3BETA-HSD, Cholest-5-ene-3-beta, EC 1.1.1.-, EC 1.1.1.181, hydroxy-delta-5-steroid dehydrogenase, 3 beta- and steroid delta-isomerase 7,3-beta-hydroxy-Delta(5)-C27 steroid oxidoreductase, PFIC4, SDR11E3, short chain dehydrogenase/reductase family 11E, member 3

Gene Symbol

HSD3B7

Additional HSD3B7 Products

Product Documents for HSD3B7 Antibody - BSA Free

Certificate of Analysis

To download a Certificate of Analysis, please enter a lot number in the search box below.

Product Specific Notices for HSD3B7 Antibody - BSA Free

This product is for research use only and is not approved for use in humans or in clinical diagnosis. Primary Antibodies are guaranteed for 1 year from date of receipt.

Loading...
Loading...
Loading...
Loading...