Skip to main content

HOXC9 Antibody - BSA Free

Novus Biologicals, part of Bio-Techne | Catalog # NBP2-87596

Novus Biologicals, part of Bio-Techne
Catalog #
Availability
Size / Price
Qty
Loading...
NBP2-87596

Key Product Details

Species Reactivity

Human

Applications

Immunohistochemistry, Immunohistochemistry-Paraffin, Western Blot

Label

Unconjugated

Antibody Source

Polyclonal Rabbit

Format

BSA Free

Concentration

1 mg/ml

Product Specifications

Immunogen

The immunogen is a synthetic peptide directed towards the middle region of human HOXC9. Peptide sequence: DRAPQTLPSPEADALAGSKHKEEKADLDPSNPVANWIHARSTRKKRCPYT The peptide sequence for this immunogen was taken from within the described region.

Clonality

Polyclonal

Host

Rabbit

Description

Novus Biologicals Rabbit HOXC9 Antibody - BSA Free (NBP2-87596) is a polyclonal antibody validated for use in IHC and WB. All Novus Biologicals antibodies are covered by our 100% guarantee.

Scientific Data Images for HOXC9 Antibody - BSA Free

Western Blot: HOXC9 Antibody [NBP2-87596]

Western Blot: HOXC9 Antibody [NBP2-87596]

Western Blot: HOXC9 Antibody [NBP2-87596] - WB Suggested Anti-HOXC9 Antibody Titration: 2.5ug/ml. Positive Control: Transfected 293T
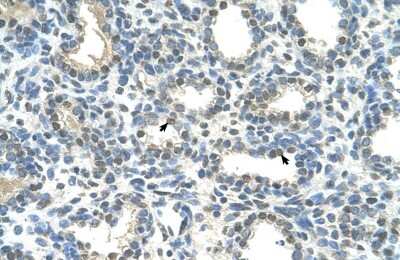
Immunohistochemistry: HOXC9 Antibody [NBP2-87596]

Immunohistochemistry: HOXC9 Antibody [NBP2-87596]

Immunohistochemistry: HOXC9 Antibody [NBP2-87596] - Human Lung
Western Blot: HOXC9 Antibody [NBP2-87596]

Western Blot: HOXC9 Antibody [NBP2-87596]

Western Blot: HOXC9 Antibody [NBP2-87596] - Host: Rabbit. Target Name: HOXC9. Sample Tissue: Human Jurkat Whole Cell. Antibody Dilution: 1ug/ml

Applications for HOXC9 Antibody - BSA Free

Application
Recommended Usage

Western Blot

1.0 ug/ml

Formulation, Preparation, and Storage

Purification

Protein A purified

Formulation

PBS, 2% Sucrose

Format

BSA Free

Preservative

0.09% Sodium Azide

Concentration

1 mg/ml

Shipping

The product is shipped with polar packs. Upon receipt, store it immediately at the temperature recommended below.

Stability & Storage

Store at 4C short term. Aliquot and store at -20C long term. Avoid freeze-thaw cycles.

Background: HOXC9

The HOXC9 gene belongs to the homeobox family of genes. The homeobox genes encode a highly conserved family of transcriptionfactors that play an important role in morphogenesis in all multicellular organisms. Mammals possess four similarhomeobox gene clusters,

Alternate Names

homeobox C9, Homeobox protein Hox-3B, homeobox protein Hox-C9, HOX3, HOX3Bhomeo box C9

Gene Symbol

HOXC9

Additional HOXC9 Products

Product Documents for HOXC9 Antibody - BSA Free

Certificate of Analysis

To download a Certificate of Analysis, please enter a lot number in the search box below.

Product Specific Notices for HOXC9 Antibody - BSA Free

This product is for research use only and is not approved for use in humans or in clinical diagnosis. Primary Antibodies are guaranteed for 1 year from date of receipt.

Loading...
Loading...
Loading...
Loading...