Skip to main content

HLCS Antibody (OTI1E4)

Novus Biologicals, part of Bio-Techne | Catalog # NBP2-01859

Novus Biologicals, part of Bio-Techne

Key Product Details

Species Reactivity

Human

Applications

Immunohistochemistry, Immunohistochemistry-Paraffin, Western Blot, Flow Cytometry

Label

Unconjugated

Antibody Source

Monoclonal Mouse IgG1 Clone # OTI1E4

Concentration

1 mg/ml

Product Specifications

Immunogen

Full length human recombinant protein of human HLCS(NP_000402) produced in HEK293T cell.

Clonality

Monoclonal

Host

Mouse

Isotype

IgG1

Theoretical MW

80.6 kDa.
Disclaimer note: The observed molecular weight of the protein may vary from the listed predicted molecular weight due to post translational modifications, post translation cleavages, relative charges, and other experimental factors.

Description

Novus Biologicals Mouse HLCS Antibody (OTI1E4) (NBP2-01859) is a monoclonal antibody validated for use in IHC, WB and Flow. All Novus Biologicals antibodies are covered by our 100% guarantee.

Scientific Data Images for HLCS Antibody (OTI1E4)

Western Blot: HLCS Antibody (OTI1E4) [NBP2-01859]

Western Blot: HLCS Antibody (OTI1E4) [NBP2-01859]

Western Blot: HLCS Antibody (1E4) [NBP2-01859] - HEK293T cells were transfected with the pCMV6-ENTRY control (Left lane) or pCMV6-ENTRY HLCS (Right lane) cDNA for 48 hrs and lysed. Equivalent amounts of cell lysates (5 ug per lane) were separated by SDS-PAGE and immunoblotted with anti-HLCS.
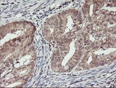
Immunohistochemistry-Paraffin: HLCS Antibody (1E4) [NBP2-01859] Staining of paraffin-embedded Carcinoma of Human prostate tissue using anti-HLCS mouse monoclonal antibody.
Flow Cytometry: HLCS Antibody (OTI1E4) [NBP2-01859]

Flow Cytometry: HLCS Antibody (OTI1E4) [NBP2-01859]

Flow Cytometry: HLCS Antibody (1E4) [NBP2-01859] - HEK293T cells transfected with either overexpression plasmid (Red) or empty vector control plasmid (Blue) were immunostained by anti-HLCS antibody, and then analyzed by flow cytometry.

Applications for HLCS Antibody (OTI1E4)

Application
Recommended Usage

Flow Cytometry

1:100

Immunohistochemistry

1:150

Immunohistochemistry-Paraffin

1:150

Western Blot

1:2000

Formulation, Preparation, and Storage

Purification

Immunogen affinity purified

Formulation

PBS (pH 7.3), 1.0% BSA and 50% Glycerol

Preservative

0.02% Sodium Azide

Concentration

1 mg/ml

Shipping

The product is shipped with polar packs. Upon receipt, store it immediately at the temperature recommended below.

Stability & Storage

Store at -20C. Avoid freeze-thaw cycles.

Background: HLCS

This gene encodes an enzyme that catalyzes the binding of biotin to carboxylases and histones. The protein plays an important role in gluconeogenesis, fatty acid synthesis and branched chain amino acid catabolism. Defects in this gene are the cause of holocarboxylase synthetase deficiency. Multiple alternatively spliced variants, encoding the same protein, have been identified.

Alternate Names

Biotin apo-protein ligase, biotin--protein ligase, EC 6.3.4.-, HCSholocarboxylase synthetase, EC 6.3.410holocarboxylase synthetase (biotin-(proprionyl-Coenzyme A-carboxylase(ATP-hydrolysing)) ligase), holocarboxylase synthetase (biotin-(proprionyl-CoA-carboxylase(ATP-hydrolysing)) ligase), holocarboxylase synthetase (biotin-[proprionyl-Coenzyme A-carboxylase(ATP-hydrolysing)] ligase)

Entrez Gene IDs

3141 (Human)

Gene Symbol

HLCS

Additional HLCS Products

Product Documents for HLCS Antibody (OTI1E4)

Certificate of Analysis

To download a Certificate of Analysis, please enter a lot number in the search box below.

Product Specific Notices for HLCS Antibody (OTI1E4)

This product is for research use only and is not approved for use in humans or in clinical diagnosis. Primary Antibodies are guaranteed for 1 year from date of receipt.

Loading...
Loading...
Loading...
Loading...
Loading...