Skip to main content

Histone H3.1 [p Ser10] Antibody (rHH3/9924) - Azide and BSA Free

Novus Biologicals, part of Bio-Techne | Catalog # NBP3-45056

Recombinant Monoclonal Antibody
Novus Biologicals, part of Bio-Techne
Catalog #
Availability
Size / Price
Qty
Loading...
NBP3-45056

Key Product Details

Species Reactivity

Human

Applications

Immunohistochemistry, Western Blot

Label

Unconjugated

Antibody Source

Recombinant Monoclonal Mouse IgG2b Kappa Clone # rHH3/9924

Format

Azide and BSA Free

Concentration

1 mg/ml

Product Specifications

Immunogen

A synthetic peptide corresponding to (ARK-pS-TGGKAPRKQLc) of Phosphohistone H3 (phospho S10) (Uniprot: P68431)

Localization

Chromosome, Nucleus

Clonality

Monoclonal

Host

Mouse

Isotype

IgG2b Kappa

Theoretical MW

15 kDa.
Disclaimer note: The observed molecular weight of the protein may vary from the listed predicted molecular weight due to post translational modifications, post translation cleavages, relative charges, and other experimental factors.

Description

1.0 mg/ml of Ab produced in CHO cell mammalian-based expression system.. Prepared in 10 mM PBS WITHOUT BSA & azide. Also availabl at 200 ug/ml with BSA & azide.

Antibody with azide - store at 2 to 8C. Antibody without azide - store at -20 to -80C. Non-hazardous. No MSDS required.

Scientific Data Images for Histone H3.1 [p Ser10] Antibody (rHH3/9924) - Azide and BSA Free

Histone H3.1 [p Ser10] Antibody (rHH3/9924) - Azide and BSA Free

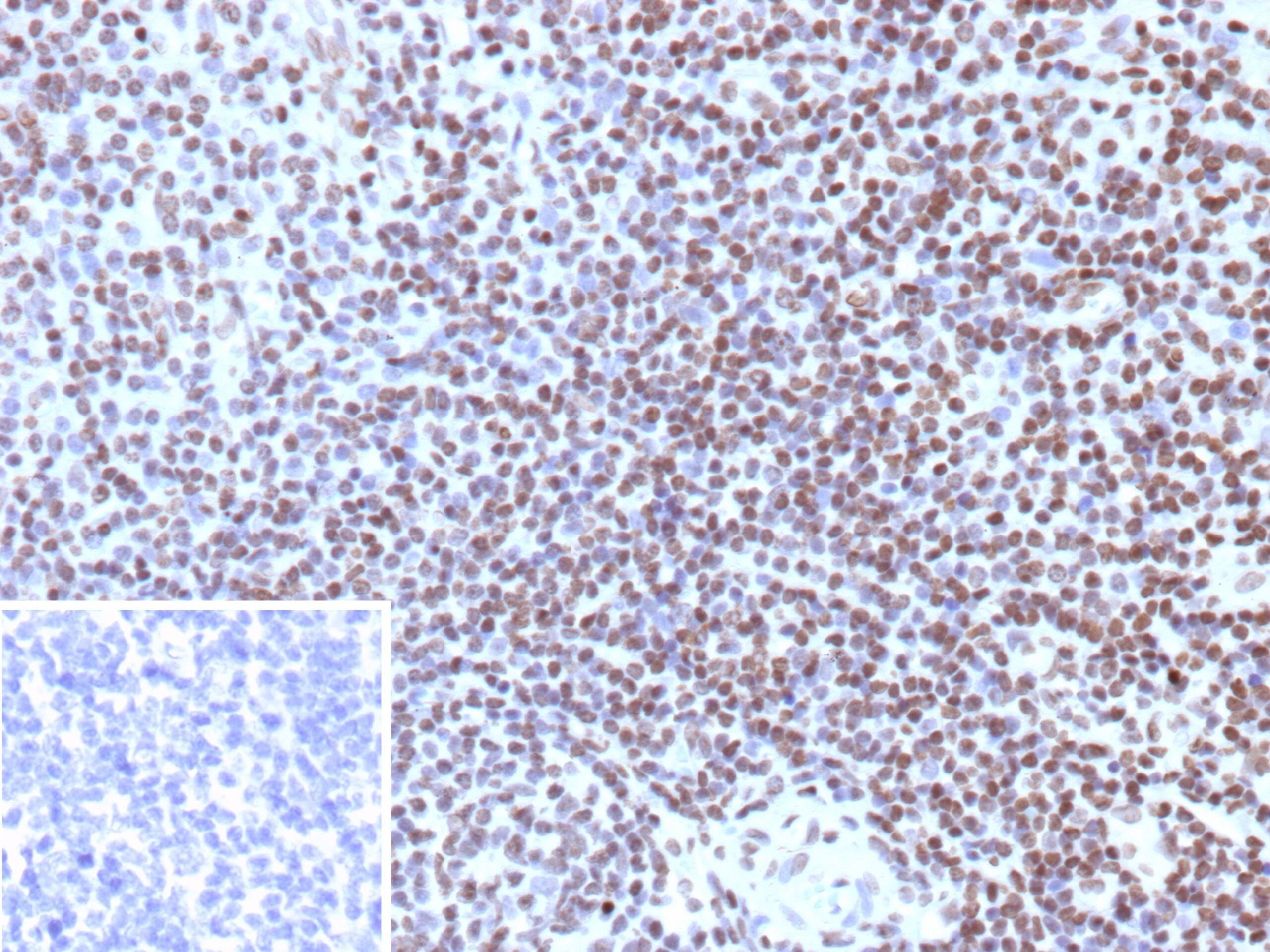
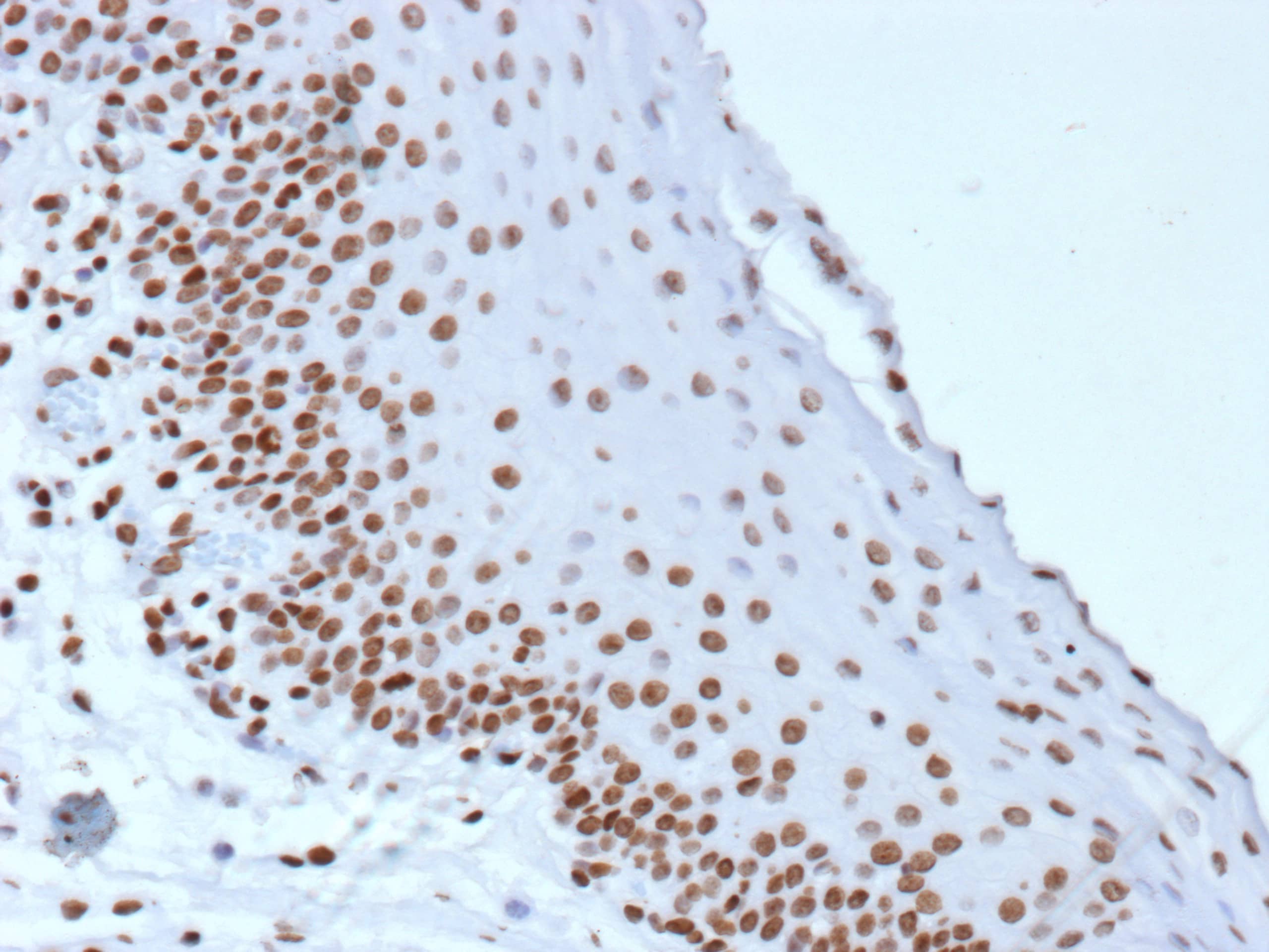
Immunohistochemistry-Paraffin: Histone H3.1 [p Ser10] Antibody (rHH3/9924) - Azide and BSA Free [NBP3-45056] -

Formalin-fixed, paraffin-embedded human tonsil stained with Histone H3.1 [p Ser10] Antibody (rHH3/9924) - Azide and BSA Free. HIER: Tris/EDTA, pH9.0, 45min. 2 : HRP-polymer, 30min. DAB, 5min.
Histone H3.1 [p Ser10] Antibody (rHH3/9924) - Azide and BSA Free

Western Blot: Histone H3.1 [p Ser10] Antibody (rHH3/9924) - Azide and BSA Free [NBP3-45056] -

Western Blot Analysis of MDA-MB-231 lysate using Histone H3.1 [p Ser10] Antibody (rHH3/9924) - Azide and BSA Free
Histone H3.1 [p Ser10] Antibody (rHH3/9924) - Azide and BSA Free

Western Blot: Histone H3.1 [p Ser10] Antibody (rHH3/9924) - Azide and BSA Free [NBP3-45056] -

Western Blot Analysis of HeLa, MDA-MB-231 and MCF7 cell lysates using Histone H3.1 [p Ser10] Antibody (rHH3/9924) - Azide and BSA Free

Applications for Histone H3.1 [p Ser10] Antibody (rHH3/9924) - Azide and BSA Free

Application
Recommended Usage

Immunohistochemistry

: 1-2ug/ml

Western Blot

: 2-4ug/ml
Application Notes
Immunohistochemistry: 30 min at RT. Staining of formalin-fixed tissues requires heating tissue sections in 10mM Tris with 1mM EDTA, pH 9.0, for 45 min at 95C followed by cooling at RT for 20 minutes.

Formulation, Preparation, and Storage

Purification

Protein A or G purified

Formulation

10 mM PBS

Format

Azide and BSA Free

Preservative

No Preservative

Concentration

1 mg/ml

Shipping

The product is shipped with polar packs. Upon receipt, store it immediately at the temperature recommended below.

Stability & Storage

Store at -20 to -80C. Avoid freeze-thaw cycles.

Background: Histone H3.1

In eukaryotes, DNA is wrapped around histone octamers to form the basic unit of chromatin structure. The octamer is composed of Histones H2A, H2B, H3 and H4, and it associates with approximately 200 base pairs of DNA to form the nucleosome. The association of DNA with histones results in dense packing of chromatin, which restricts proteins involved in gene transcription from binding to DNA. Histone H3, the core protein of the nucleosome, becomes phosphorylated at the end of prophase. The two major sites of phosphorylation are the mitosis-specific site Ser 10 and Ser 28, both of which are extensively phosphorylated in DNA-bound forms of Histone H3 and in nucleosomal Histone H3. The nucleosome structure of Histone H3 promotes N-terminal phosphorylation in vitro. Phosphorylation of Histone H3 at Ser 10 is an essenti

Long Name

Histone Cluster 1 H3 Family Member A

Alternate Names

HIST1H3A

Gene Symbol

H3C6

Additional Histone H3.1 Products

Product Documents for Histone H3.1 [p Ser10] Antibody (rHH3/9924) - Azide and BSA Free

Certificate of Analysis

To download a Certificate of Analysis, please enter a lot number in the search box below.

Product Specific Notices for Histone H3.1 [p Ser10] Antibody (rHH3/9924) - Azide and BSA Free

This product is for research use only and is not approved for use in humans or in clinical diagnosis. Primary Antibodies are guaranteed for 1 year from date of receipt.

Loading...
Loading...
Loading...
Loading...