Skip to main content

Histidase Antibody - BSA Free

Novus Biologicals, part of Bio-Techne | Catalog # NBP3-35300

Novus Biologicals, part of Bio-Techne
Catalog #
Availability
Size / Price
Qty
Loading...
NBP3-35300-100ul
NBP3-35300-20ul

Key Product Details

Species Reactivity

Human, Mouse, Rat

Applications

Immunohistochemistry, Immunohistochemistry-Paraffin, Western Blot, ELISA, Immunocytochemistry/ Immunofluorescence

Label

Unconjugated

Antibody Source

Polyclonal Rabbit IgG

Format

BSA Free

Concentration

Please see the vial label for concentration. If unlisted please contact technical services.

Product Specifications

Immunogen

Recombinant fusion protein containing a sequence corresponding to amino acids 1-200 of human Histidase (NP_002099.1).

Sequence:
MPRYTVHVRGEWLAVPCQDAQLTVGWLGREAVRRYIKNKPDNGGFTSVDDAHFLVRRCKGLGLLDNEDRLEVALENNEFVEVVIEGDAMSPDFIPSQPEGVYLYSKYREPEKYIELDGDRLTTEDLVNLGKGRYKIKLTPTAEKRVQKSREVIDSIIKEKTVVYGITTGFGKFARTVIPINKLQELQVNLVRSHSSGVGK

Clonality

Polyclonal

Host

Rabbit

Isotype

IgG

Theoretical MW

73 kDa.
Disclaimer note: The observed molecular weight of the protein may vary from the listed predicted molecular weight due to post translational modifications, post translation cleavages, relative charges, and other experimental factors.

Description

Novus Biologicals Rabbit Histidase Antibody - BSA Free (NBP3-35300) is a polyclonal antibody validated for use in IHC, WB, ELISA and ICC/IF. All Novus Biologicals antibodies are covered by our 100% guarantee.

Scientific Data Images for Histidase Antibody - BSA Free

Histidase Antibody

Immunocytochemistry/ Immunofluorescence: Histidase Antibody [NBP3-35300] -

Immunocytochemistry/ Immunofluorescence: Histidase Antibody [NBP3-35300] - Immunofluorescence analysis of C6 cells using Histidase Rabbit pAb at dilution of 1:100 (40x lens). Secondary antibody: Cy3-conjugated Goat anti-Rabbit IgG (H+L) at 1:500 dilution. Blue: DAPI for nuclear staining.
Histidase Antibody

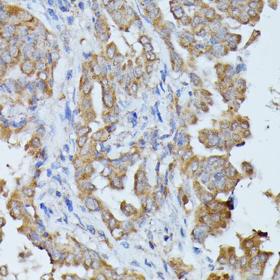
Immunohistochemistry: Histidase Antibody [NBP3-35300] -

Immunohistochemistry: Histidase Antibody [NBP3-35300] - Immunohistochemistry analysis of paraffin-embedded Human thyroid cancer using Histidase Rabbit pAb at dilution of 1:100 (40x lens). Microwave antigen retrieval performed with 0.01M PBS Buffer (pH 7.2) prior to IHC staining.
Histidase Antibody

Western Blot: Histidase Antibody [NBP3-35300] -

Western Blot: Histidase Antibody [NBP3-35300] - Western blot analysis of various lysates using Histidase Rabbit pAb at 1:3000 dilution.
Secondary antibody: HRP-conjugated Goat anti-Rabbit IgG (H+L) at 1:10000 dilution.
Lysates/proteins: 25ug per lane.
Blocking buffer: 3% nonfat dry milk in TBST.
Detection: ECL Enhanced Kit.
Exposure time: 90s.

Applications for Histidase Antibody - BSA Free

Application
Recommended Usage

Immunocytochemistry/ Immunofluorescence

1:50 - 1:100

Immunohistochemistry-Paraffin

1:50 - 1:100

Western Blot

1:500 - 1:2000

Formulation, Preparation, and Storage

Purification

Affinity purified

Formulation

PBS (pH 7.3), 50% glycerol

Format

BSA Free

Preservative

0.01% Thimerosal

Concentration

Please see the vial label for concentration. If unlisted please contact technical services.

Shipping

The product is shipped with polar packs. Upon receipt, store it immediately at the temperature recommended below.

Stability & Storage

Store at -20C. Avoid freeze-thaw cycles.

Background: Histidase

Histidine ammonia-lyase is a cytosolic enzyme catalyzing the first reaction in histidine catabolism, the nonoxidative deamination of L-histidine to trans-urocanic acid. Histidine ammonia-lyase defects cause histidinemia which is characterized by increased histidine and histamine and decreased urocanic acid in body fluids [provided by RefSeq]

Alternate Names

EC 4.3.1, EC 4.3.1.3, HIS, Histidase, histidine ammonia-lyase, HSTD

Gene Symbol

HAL

Additional Histidase Products

Product Documents for Histidase Antibody - BSA Free

Certificate of Analysis

To download a Certificate of Analysis, please enter a lot number in the search box below.

Product Specific Notices for Histidase Antibody - BSA Free

This product is for research use only and is not approved for use in humans or in clinical diagnosis. Primary Antibodies are guaranteed for 1 year from date of receipt.

Loading...
Loading...
Loading...
Loading...