Skip to main content

Histidase Antibody - BSA Free

Novus Biologicals, part of Bio-Techne | Catalog # NBP1-89694

Novus Biologicals, part of Bio-Techne
Catalog #
Availability
Size / Price
Qty
Loading...
NBP1-89694
NBP1-89694-25ul

Key Product Details

Validated by

Independent Antibodies

Species Reactivity

Validated:

Human

Predicted:

Mouse (90%). Backed by our 100% Guarantee.

Applications

Immunohistochemistry, Immunohistochemistry-Paraffin, Simple Western

Label

Unconjugated

Antibody Source

Polyclonal Rabbit IgG

Format

BSA Free

Concentration

Concentrations vary lot to lot. See vial label for concentration. If unlisted please contact technical services.

Product Specifications

Immunogen

This antibody was developed against Recombinant Protein corresponding to amino acids: FVEVVIEGDAMSPDFIPSQPEGVYLYSKYREPEKYIELDGDRLTTEDLVNLGKGRYKIKLTPTAEKRVQKSREVIDSIIKEKTVVYGITTGFGKFARTV

Reactivity Notes

Immunogen displays the following percentage of sequence identity for non-tested species: Rat (89%)

Clonality

Polyclonal

Host

Rabbit

Isotype

IgG

Scientific Data Images for Histidase Antibody - BSA Free

Immunohistochemistry-Paraffin: Histidase Antibody [NBP1-89694]

Immunohistochemistry-Paraffin: Histidase Antibody [NBP1-89694]

Immunohistochemistry-Paraffin: Histidase Antibody [NBP1-89694] - Staining of human cerebral cortex, liver, skin and testis using Anti-HAL antibody NBP1-89694 (A) shows similar protein distribution across tissues to independent antibody NBP1-89695 (B).
Immunohistochemistry-Paraffin: Histidase Antibody [NBP1-89694]

Immunohistochemistry-Paraffin: Histidase Antibody [NBP1-89694]

Immunohistochemistry-Paraffin: Histidase Antibody [NBP1-89694] - Staining of human liver shows moderate cytoplasmic positivity in hepatocytes.
Immunohistochemistry-Paraffin: Histidase Antibody [NBP1-89694]

Immunohistochemistry-Paraffin: Histidase Antibody [NBP1-89694]

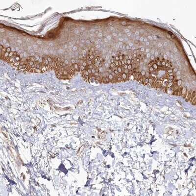
Immunohistochemistry-Paraffin: Histidase Antibody [NBP1-89694] - Staining of human skin shows moderate cytoplasmic positivity in epidermal cells.

Applications for Histidase Antibody - BSA Free

Application
Recommended Usage

Immunohistochemistry

1:200 - 1:500

Immunohistochemistry-Paraffin

1:200 - 1:500

Simple Western

1:250
Application Notes
For IHC-Paraffin, HIER pH 6 retrieval is recommended.

Formulation, Preparation, and Storage

Purification

Affinity purified

Formulation

PBS (pH 7.2) and 40% Glycerol

Format

BSA Free

Preservative

0.02% Sodium Azide

Concentration

Concentrations vary lot to lot. See vial label for concentration. If unlisted please contact technical services.

Shipping

The product is shipped with polar packs. Upon receipt, store it immediately at the temperature recommended below.

Stability & Storage

Store at 4C short term. Aliquot and store at -20C long term. Avoid freeze-thaw cycles.

Background: Histidase

Histidine ammonia-lyase is a cytosolic enzyme catalyzing the first reaction in histidine catabolism, the nonoxidative deamination of L-histidine to trans-urocanic acid. Histidine ammonia-lyase defects cause histidinemia which is characterized by increased histidine and histamine and decreased urocanic acid in body fluids [provided by RefSeq]

Alternate Names

EC 4.3.1, EC 4.3.1.3, HIS, Histidase, histidine ammonia-lyase, HSTD

Gene Symbol

HAL

Additional Histidase Products

Product Documents for Histidase Antibody - BSA Free

Certificate of Analysis

To download a Certificate of Analysis, please enter a lot number in the search box below.

Product Specific Notices for Histidase Antibody - BSA Free

This product is for research use only and is not approved for use in humans or in clinical diagnosis. Primary Antibodies are guaranteed for 1 year from date of receipt.

Loading...
Loading...
Loading...
Loading...