Skip to main content

HIRIP3 Antibody - BSA Free

Novus Biologicals, part of Bio-Techne | Catalog # NBP3-38360

Novus Biologicals, part of Bio-Techne
Catalog #
Availability
Size / Price
Qty
Loading...
NBP3-38360-20ul
NBP3-38360-100ul

Key Product Details

Species Reactivity

Human, Mouse, Rat

Applications

Immunohistochemistry, Immunohistochemistry-Paraffin, Western Blot, ELISA, Immunocytochemistry/ Immunofluorescence

Label

Unconjugated

Antibody Source

Polyclonal Rabbit IgG

Format

BSA Free

Concentration

Please see the vial label for concentration. If unlisted please contact technical services.

Product Specifications

Immunogen

Recombinant fusion protein containing a sequence corresponding to amino acids 417-556 of human HIRIP3 (NP_003600.2).

Sequence:
GRRGEDHPAVMRLKRYIRACGAHRNYKKLLGSCCSHKERLSILRAELEALGMKGTPSLGKCRALKEQREEAAEVASLDVANIISGSGRPRRRTAWNPLGEAAPPGELYRRTLDSDEERPRPAPPDWSHMRGIISSDGESN

Clonality

Polyclonal

Host

Rabbit

Isotype

IgG

Theoretical MW

62 kDa.
Disclaimer note: The observed molecular weight of the protein may vary from the listed predicted molecular weight due to post translational modifications, post translation cleavages, relative charges, and other experimental factors.

Description

Novus Biologicals Rabbit HIRIP3 Antibody - BSA Free (NBP3-38360) is a polyclonal antibody validated for use in IHC, WB, ELISA and ICC/IF. All Novus Biologicals antibodies are covered by our 100% guarantee.

Scientific Data Images for HIRIP3 Antibody - BSA Free

HIRIP3 Antibody

Western Blot: HIRIP3 Antibody [NBP3-38360] -

Western Blot: HIRIP3 Antibody [NBP3-38360] - Western blot analysis of various lysates using HIRIP3 Rabbit pAb at 1:1000 dilution.
Secondary antibody: HRP-conjugated Goat anti-Rabbit IgG (H+L) at 1:10000 dilution.
Lysates/proteins: 25ug per lane.
Blocking buffer: 3% nonfat dry milk in TBST.
Detection: ECL Basic Kit.
Exposure time: 90s.
HIRIP3 Antibody

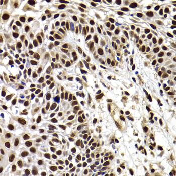
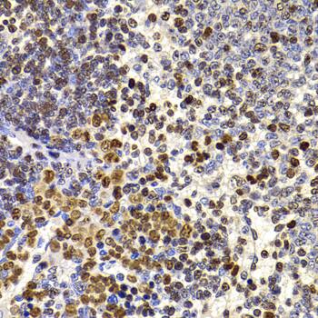
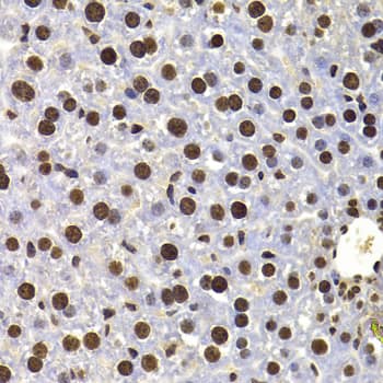
Immunohistochemistry: HIRIP3 Antibody [NBP3-38360] -

Immunohistochemistry: HIRIP3 Antibody [NBP3-38360] - Immunohistochemistry analysis of paraffin-embedded Rat spleen using HIRIP3 Rabbit pAb at dilution of 1:100 (40x lens). Microwave antigen retrieval performed with 0.01M PBS Buffer (pH 7.2) prior to IHC staining.
HIRIP3 Antibody

Immunocytochemistry/ Immunofluorescence: HIRIP3 Antibody [NBP3-38360] -

Immunocytochemistry/ Immunofluorescence: HIRIP3 Antibody [NBP3-38360] - Immunofluorescence analysis of U2OS cells using HIRIP3 Rabbit pAb.Secondary antibody: Cy3-conjugated Goat anti-Rabbit IgG (H+L) at 1:500 dilution.

Applications for HIRIP3 Antibody - BSA Free

Application
Recommended Usage

Immunocytochemistry/ Immunofluorescence

1:50 - 1:100

Immunohistochemistry-Paraffin

1:50 - 1:200

Western Blot

1:500 - 1:2000

Formulation, Preparation, and Storage

Purification

Affinity purified

Formulation

PBS (pH 7.3), 50% glycerol

Format

BSA Free

Preservative

0.02% Sodium Azide

Concentration

Please see the vial label for concentration. If unlisted please contact technical services.

Shipping

The product is shipped with polar packs. Upon receipt, store it immediately at the temperature recommended below.

Stability & Storage

Store at -20C. Avoid freeze-thaw cycles.

Background: HIRIP3

The HIRA protein shares sequence similarity with Hir1p and Hir2p, the two corepressors of histone gene transcription characterized in the yeast, Saccharomyces cerevisiae. The structural features of the HIRA protein suggest that it may function as part of a multiprotein complex. Recently, several cDNAs encoding HIRA-interacting proteins, or HIRIPs, have been identified. In vitro, the HIRIP3 gene product binds HIRA, as well as H2B and H3 core histones, indicating that a complex containing HIRA-HIRIP3 could function in some aspects of chromatin and histone metabolism. [provided by RefSeq]

Alternate Names

HIRA interacting protein 3, HIRA-interacting protein 3

Gene Symbol

HIRIP3

Additional HIRIP3 Products

Product Documents for HIRIP3 Antibody - BSA Free

Certificate of Analysis

To download a Certificate of Analysis, please enter a lot number in the search box below.

Product Specific Notices for HIRIP3 Antibody - BSA Free

This product is for research use only and is not approved for use in humans or in clinical diagnosis. Primary Antibodies are guaranteed for 1 year from date of receipt.

Loading...
Loading...
Loading...
Loading...