Skip to main content

HIPPI Antibody

Novus Biologicals, part of Bio-Techne | Catalog # NBP1-28913

Novus Biologicals, part of Bio-Techne
Catalog #
Availability
Size / Price
Qty
Loading...
NBP1-28913

Key Product Details

Species Reactivity

Validated:

Human, Mouse

Predicted:

Bovine (100%), Rat (100%). Backed by our 100% Guarantee.

Applications

Immunohistochemistry, Immunohistochemistry-Paraffin, Western Blot, Peptide ELISA

Label

Unconjugated

Antibody Source

Polyclonal Goat IgG

Concentration

0.5 mg/ml

Product Specifications

Immunogen

Peptide with sequence C-EQPQEYDDPNATISN corresponding to internal region according to NP_060480.1.

Epitope

internal region

Clonality

Polyclonal

Host

Goat

Isotype

IgG

Description

Novus Biologicals Goat HIPPI Antibody (NBP1-28913) is a polyclonal antibody validated for use in IHC, WB and ELISA. Anti-HIPPI Antibody: Cited in 1 publication. All Novus Biologicals antibodies are covered by our 100% guarantee.

Scientific Data Images for HIPPI Antibody

Western Blot: HIPPI Antibody [NBP1-28913]

Western Blot: HIPPI Antibody [NBP1-28913]

Western Blot: HIPPI Antibody [NBP1-28913] - Staining of Mouse Brain lysate (35 ug protein in RIPA buffer) with antibody at 1 ug/mL. Primary incubation was 1 hour. Detected by chemiluminescence.
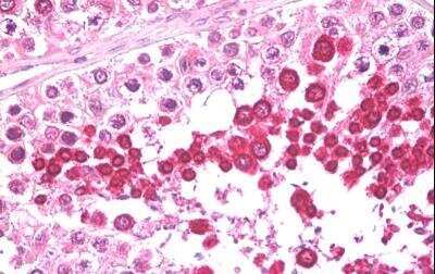
Immunohistochemistry-Paraffin: HIPPI Antibody [NBP1-28913]

Immunohistochemistry-Paraffin: HIPPI Antibody [NBP1-28913]

Immunohistochemistry-Paraffin: HIPPI Antibody [NBP1-28913] - Staining of paraffin embedded Human Testes tissue with antibody at 5 ug/mL. Steamed antigen retrieval with citrate buffer pH 6, AP-staining.

Applications for HIPPI Antibody

Application
Recommended Usage

Immunohistochemistry

5 ug/mL

Immunohistochemistry-Paraffin

5 ug/mL

Peptide ELISA

Detection limit 1:8000

Western Blot

1 - 3 ug/mL
Application Notes
WB: Approx. 49 kDa band observed in human and mouse brain lysates (calculated MW of 49.1 kDa band according to human NP_060480.1 and of 48.8 kDa band according to mouse NP_082956.2).

Formulation, Preparation, and Storage

Purification

Immunogen affinity purified

Formulation

Tris saline (20 mM Tris pH 7.3, 150 mM NaCl), 0.5% BSA

Preservative

0.02% Sodium Azide

Concentration

0.5 mg/ml

Shipping

The product is shipped with polar packs. Upon receipt, store it immediately at the temperature recommended below.

Stability & Storage

Store at -20C. Avoid freeze-thaw cycles.

Background: HIPPI

HIPPI is required for the formation of cilia. Plays an indirect role in sonic hedgehog signaling, cilia being required for all activity of the hedgehog pathway . Has pro-apoptotic function via its interaction with HIP1, leading to recruit caspase-8 (CASP8) and tri

Alternate Names

Dermal papilla-derived protein 8, DERP8, ESRRBL1huntingtin interacting protein-1 interacting protein, estrogen-related receptor beta like 1, Estrogen-related receptor beta-like protein 1, FLJ10147, HIPPIHIP1-interacting protein, intraflagellar transport 57 homolog (Chlamydomonas), intraflagellar transport protein 57 homolog, MHS4R2HIP1 protein interactor

Entrez Gene IDs

55081 (Human); 73916 (Mouse); 303968 (Rat)

Gene Symbol

IFT57

Additional HIPPI Products

Product Documents for HIPPI Antibody

Certificate of Analysis

To download a Certificate of Analysis, please enter a lot number in the search box below.

Product Specific Notices for HIPPI Antibody

This product is for research use only and is not approved for use in humans or in clinical diagnosis. Primary Antibodies are guaranteed for 1 year from date of receipt.

Loading...
Loading...
Loading...
Loading...