Skip to main content

HIPPI Antibody (OTI4F6)

Novus Biologicals, part of Bio-Techne | Catalog # NBP2-02313

Novus Biologicals, part of Bio-Techne
Catalog #
Availability
Size / Price
Qty
Loading...
NBP2-02313

Key Product Details

Species Reactivity

Human, Mouse, Rat

Applications

Immunohistochemistry, Immunohistochemistry-Paraffin, Western Blot, Immunocytochemistry/ Immunofluorescence

Label

Unconjugated

Antibody Source

Monoclonal Mouse IgG1 Clone # OTI4F6

Concentration

1 mg/ml

Product Specifications

Immunogen

Full length human recombinant protein of human IFT57(NP_060480) produced in HEK293T cell.

Reactivity Notes

Please note that this antibody is reactive to Mouse and derived from the same host, Mouse. Mouse-On-Mouse blocking reagent may be needed for IHC and ICC experiments to reduce high background signal. You can find these reagents under catalog numbers PK-2200-NB and MP-2400-NB. Please contact Technical Support if you have any questions.

Clonality

Monoclonal

Host

Mouse

Isotype

IgG1

Theoretical MW

49.1 kDa.
Disclaimer note: The observed molecular weight of the protein may vary from the listed predicted molecular weight due to post translational modifications, post translation cleavages, relative charges, and other experimental factors.

Description

Novus Biologicals Mouse HIPPI Antibody (OTI4F6) (NBP2-02313) is a monoclonal antibody validated for use in IHC, WB and ICC/IF. All Novus Biologicals antibodies are covered by our 100% guarantee.

Scientific Data Images for HIPPI Antibody (OTI4F6)

Western Blot: HIPPI Antibody (OTI4F6) [NBP2-02313]

Western Blot: HIPPI Antibody (OTI4F6) [NBP2-02313]

Western Blot: HIPPI Antibody (4F6) [NBP2-02313] - HEK293T cells were transfected with the pCMV6-ENTRY control (Left lane) or pCMV6-ENTRY HIPPI (Right lane) cDNA for 48 hrs and lysed. Equivalent amounts of cell lysates (5 ug per lane) were separated by SDS-PAGE and immunoblotted with anti-HIPPI.
Immunocytochemistry/Immunofluorescence: HIPPI Antibody (4F6) [NBP2-02313] Staining of COS7 cells transiently transfected by pCMV6-ENTRY HIPPI.
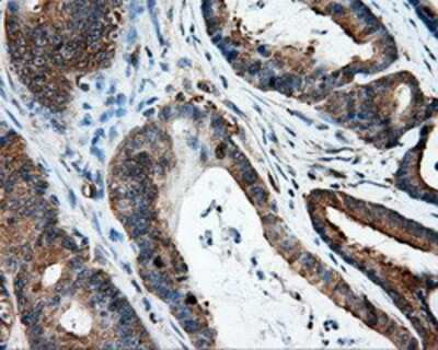
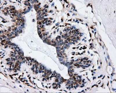
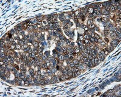
Immunohistochemistry-Paraffin: HIPPI Antibody (OTI4F6) [NBP2-02313]

Immunohistochemistry-Paraffin: HIPPI Antibody (OTI4F6) [NBP2-02313]

Immunohistochemistry-Paraffin: HIPPI Antibody (4F6) [NBP2-02313] - Staining of paraffin-embedded Kidney tissue using anti-HIPPI mouse monoclonal antibody.

Applications for HIPPI Antibody (OTI4F6)

Application
Recommended Usage

Immunocytochemistry/ Immunofluorescence

1:100

Immunohistochemistry

1:50

Immunohistochemistry-Paraffin

1:50

Western Blot

1:2000

Formulation, Preparation, and Storage

Purification

Immunogen affinity purified

Formulation

PBS (pH 7.3), 1.0% BSA and 50% Glycerol

Preservative

0.02% Sodium Azide

Concentration

1 mg/ml

Shipping

The product is shipped with polar packs. Upon receipt, store it immediately at the temperature recommended below.

Stability & Storage

Store at -20C. Avoid freeze-thaw cycles.

Background: HIPPI

Required for the formation of cilia. Plays an indirect role in sonic hedgehog signaling, cilia being required for all activity of the hedgehog pathway (By similarity). Has pro-apoptotic function via its interaction with HIP1,leading to recruit caspase-8 (CASP8) and trigger apoptosis. Has the ability to bind DNA sequence motif 5'-AAAGACATG-3'present in the promoter of caspase genes such as CASP1, CASP8 and CASP10, suggesting that it may act as a transcription regulator; however the relevance of such function remains unclear

Alternate Names

Dermal papilla-derived protein 8, DERP8, ESRRBL1huntingtin interacting protein-1 interacting protein, estrogen-related receptor beta like 1, Estrogen-related receptor beta-like protein 1, FLJ10147, HIPPIHIP1-interacting protein, intraflagellar transport 57 homolog (Chlamydomonas), intraflagellar transport protein 57 homolog, MHS4R2HIP1 protein interactor

Entrez Gene IDs

1088 (Human)

Gene Symbol

CEACAM8

Additional HIPPI Products

Product Documents for HIPPI Antibody (OTI4F6)

Certificate of Analysis

To download a Certificate of Analysis, please enter a lot number in the search box below.

Product Specific Notices for HIPPI Antibody (OTI4F6)

This product is for research use only and is not approved for use in humans or in clinical diagnosis. Primary Antibodies are guaranteed for 1 year from date of receipt.

Loading...
Loading...
Loading...
Loading...