Skip to main content

HIPK1 Antibody (OTI5F1) - Azide and BSA Free

Novus Biologicals, part of Bio-Techne | Catalog # NBP2-72460

Novus Biologicals, part of Bio-Techne

Key Product Details

Species Reactivity

Human, Mouse, Rat

Applications

Immunohistochemistry, Immunohistochemistry-Paraffin, Western Blot

Label

Unconjugated

Antibody Source

Monoclonal Mouse IgG1 Clone # OTI5F1

Format

Azide and BSA Free

Concentration

LYOPH mg/ml

Product Specifications

Immunogen

Human recombinant protein fragment corresponding to amino acids 439-697 of human HIPK1(NP_852003) produced in E.coli.

Reactivity Notes

Please note that this antibody is reactive to Mouse and derived from the same host, Mouse. Mouse-On-Mouse blocking reagent may be needed for IHC and ICC experiments to reduce high background signal. You can find these reagents under catalog numbers PK-2200-NB and MP-2400-NB. Please contact Technical Support if you have any questions.

Clonality

Monoclonal

Host

Mouse

Isotype

IgG1

Theoretical MW

87.1 kDa.
Disclaimer note: The observed molecular weight of the protein may vary from the listed predicted molecular weight due to post translational modifications, post translation cleavages, relative charges, and other experimental factors.

Description

Novus Biologicals Mouse HIPK1 Antibody (OTI5F1) - Azide and BSA Free (NBP2-45973) is a monoclonal antibody validated for use in IHC and WB. All Novus Biologicals antibodies are covered by our 100% guarantee.

Scientific Data Images for HIPK1 Antibody (OTI5F1) - Azide and BSA Free

Western Blot: HIPK1 Antibody (OTI5F1)Azide and BSA Free [NBP2-72460]

Western Blot: HIPK1 Antibody (OTI5F1)Azide and BSA Free [NBP2-72460]

Western Blot: HIPK1 Antibody (OTI5F1) - Azide and BSA Free [NBP2-72460] - Analysis of HEK293T cells were transfected with the pCMV6-ENTRY control (Left lane) or pCMV6-ENTRY HIPK1.
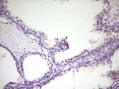
Immunohistochemistry: HIPK1 Antibody (OTI5F1) - Azide and BSA Free [NBP2-72460]

Immunohistochemistry: HIPK1 Antibody (OTI5F1) - Azide and BSA Free [NBP2-72460]

Immunohistochemistry: HIPK1 Antibody (OTI5F1) - Azide and BSA Free [NBP2-72460] - Analysis of Carcinoma of Human prostate tissue. (Heat-induced epitope retrieval by 1 mM EDTA in 10mM Tris, pH8.5, 120C for 3min)
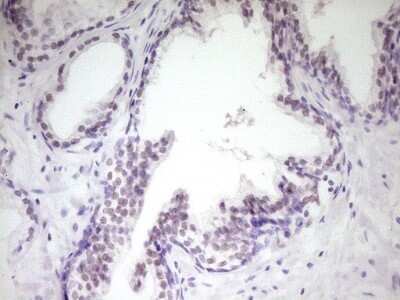
Immunohistochemistry: HIPK1 Antibody (OTI5F1) - Azide and BSA Free [NBP2-72460]

Immunohistochemistry: HIPK1 Antibody (OTI5F1) - Azide and BSA Free [NBP2-72460]

Immunohistochemistry: HIPK1 Antibody (OTI5F1) - Azide and BSA Free [NBP2-72460] - Analysis of Human prostate tissue. (Heat-induced epitope retrieval by 1 mM EDTA in 10mM Tris, pH8.5, 120C for 3min)

Applications for HIPK1 Antibody (OTI5F1) - Azide and BSA Free

Application
Recommended Usage

Immunohistochemistry

1:150

Western Blot

1:2000

Formulation, Preparation, and Storage

Purification

Immunogen affinity purified

Reconstitution

we recommend adding 100uL distilled water to a final antibody concentration of about 1 mg/mL. To use this carrier-free antibody for conjugation experiment, we strongly recommend performing another round of desalting process.

Formulation

Lyophilized from PBS (pH 7.3) with 8% Trehalose

Format

Azide and BSA Free

Preservative

No Preservative

Concentration

LYOPH mg/ml

Shipping

The product is shipped with polar packs. Upon receipt, store it immediately at the temperature recommended below.

Stability & Storage

Store at -20C. Avoid freeze-thaw cycles.

Background: HIPK1

HIPK1 is encoded by this gene belongs to the Ser/Thr family of protein kinases and HIPK subfamily. It phosphorylates homeodomain transcription factors and may also function as a co-repressor for homeodomain transcription factors. Alternative splicing results in four transcript variants encoding four distinct isoforms.

Long Name

Homeodomain Interacting Protein Kinase 1

Alternate Names

Myak, Nbak2

Gene Symbol

HIPK1

Additional HIPK1 Products

Product Documents for HIPK1 Antibody (OTI5F1) - Azide and BSA Free

Certificate of Analysis

To download a Certificate of Analysis, please enter a lot number in the search box below.

Product Specific Notices for HIPK1 Antibody (OTI5F1) - Azide and BSA Free

This product is for research use only and is not approved for use in humans or in clinical diagnosis. Primary Antibodies are guaranteed for 1 year from date of receipt.

Loading...
Loading...
Loading...
Loading...
Loading...