HIPK1 Antibody (OTI5F1)
Novus Biologicals, part of Bio-Techne | Catalog # NBP2-45973
Conjugate
Catalog #
Forumulation
Catalog #
Key Product Details
Species Reactivity
Human, Mouse, Rat
Applications
Immunohistochemistry, Immunohistochemistry-Paraffin, Western Blot
Label
Unconjugated
Antibody Source
Monoclonal Mouse IgG1 Clone # OTI5F1
Concentration
1 mg/ml
Product Specifications
Immunogen
Human recombinant protein fragment corresponding to amino acids 439-697 of human HIPK1(NP_852003) produced in E.coli.
Reactivity Notes
Please note that this antibody is reactive to Mouse and derived from the same host, Mouse. Mouse-On-Mouse blocking reagent may be needed for IHC and ICC experiments to reduce high background signal. You can find these reagents under catalog numbers PK-2200-NB and MP-2400-NB. Please contact Technical Support if you have any questions.
Clonality
Monoclonal
Host
Mouse
Isotype
IgG1
Theoretical MW
87.1 kDa.
Disclaimer note: The observed molecular weight of the protein may vary from the listed predicted molecular weight due to post translational modifications, post translation cleavages, relative charges, and other experimental factors.
Disclaimer note: The observed molecular weight of the protein may vary from the listed predicted molecular weight due to post translational modifications, post translation cleavages, relative charges, and other experimental factors.
Description
Novus Biologicals Mouse HIPK1 Antibody (OTI5F1) (NBP2-45973) is a monoclonal antibody validated for use in IHC and WB. All Novus Biologicals antibodies are covered by our 100% guarantee.
Scientific Data Images for HIPK1 Antibody (OTI5F1)
Western Blot: HIPK1 Antibody (OTI5F1) [NBP2-45973]
Western Blot: HIPK1 Antibody (5F1) [NBP2-45973] - Analysis of HEK293T cells were transfected with the pCMV6-ENTRY control (Left lane) or pCMV6-ENTRY HIPK1.Immunohistochemistry: HIPK1 Antibody (OTI5F1) [NBP2-45973]
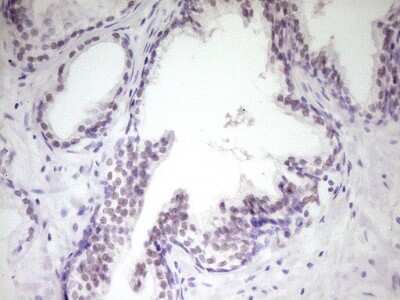
Immunohistochemistry: HIPK1 Antibody (5F1) [NBP2-45973] - Analysis of Carcinoma of Human prostate tissue. (Heat-induced epitope retrieval by 1 mM EDTA in 10mM Tris, pH8.5, 120C for 3min)Immunohistochemistry: HIPK1 Antibody (OTI5F1) [NBP2-45973]
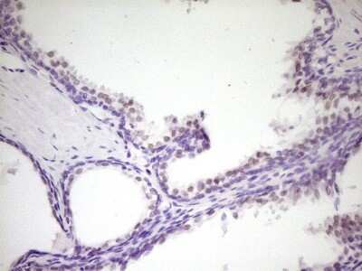
Immunohistochemistry: HIPK1 Antibody (5F1) [NBP2-45973] - Analysis of Human prostate tissue. (Heat-induced epitope retrieval by 1 mM EDTA in 10mM Tris, pH8.5, 120C for 3min)Applications for HIPK1 Antibody (OTI5F1)
Application
Recommended Usage
Immunohistochemistry
1:150
Western Blot
1:2000
Formulation, Preparation, and Storage
Purification
Immunogen affinity purified
Formulation
PBS (pH 7.3), 1.0% BSA and 50% Glycerol
Preservative
0.02% Sodium Azide
Concentration
1 mg/ml
Shipping
The product is shipped with polar packs. Upon receipt, store it immediately at the temperature recommended below.
Stability & Storage
Store at -20C. Avoid freeze-thaw cycles.
Background: HIPK1
Long Name
Homeodomain Interacting Protein Kinase 1
Alternate Names
Myak, Nbak2
Gene Symbol
HIPK1
Additional HIPK1 Products
Product Documents for HIPK1 Antibody (OTI5F1)
Product Specific Notices for HIPK1 Antibody (OTI5F1)
This product is for research use only and is not approved for use in humans or in clinical diagnosis. Primary Antibodies are guaranteed for 1 year from date of receipt.
Loading...
Loading...
Loading...
Loading...