Skip to main content

HIF-2 alpha/EPAS1 Antibody (2444A) - BSA Free

Novus Biologicals, part of Bio-Techne | Catalog # NBP2-76454

Recombinant Monoclonal Antibody.
Novus Biologicals, part of Bio-Techne
Catalog #
Availability
Size / Price
Qty
Loading...
NBP2-76454
NBP2-76454SS

Key Product Details

Validated by

Biological Validation

Species Reactivity

Human

Applications

Immunohistochemistry, Immunohistochemistry-Paraffin, Western Blot

Label

Unconjugated

Antibody Source

Recombinant Monoclonal Rabbit IgG Clone # 2444A expressed in HEK293

Format

BSA Free

Concentration

1.0 mg/ml

Product Specifications

Immunogen

This recombinant HIF-2 alpha/EPAS1 Antibody (2444A) is made to a partial recombinant human HIF-2 protein (amino acids 543-870) [UniProt Q99814]

Clonality

Monoclonal

Host

Rabbit

Isotype

IgG

Theoretical MW

96.5 kDa.
Disclaimer note: The observed molecular weight of the protein may vary from the listed predicted molecular weight due to post translational modifications, post translation cleavages, relative charges, and other experimental factors.

Description

Novus Biologicals Rabbit HIF-2 alpha/EPAS1 Antibody (2444A) - BSA Free (NBP2-76454) is a recombinant monoclonal antibody validated for use in IHC and WB. All Novus Biologicals antibodies are covered by our 100% guarantee.

Scientific Data Images for HIF-2 alpha/EPAS1 Antibody (2444A) - BSA Free

Western Blot: HIF-2 alpha/EPAS1 Antibody (2444A)BSA Free [NBP2-76454]

Western Blot: HIF-2 alpha/EPAS1 Antibody (2444A)BSA Free [NBP2-76454]

Western Blot: HIF-2 alpha/EPAS1 Antibody (2444A) [NBP2-76454] - Total protein from human U87 cells treated for 4 hours with and without 100 uM cobalt chloride (CoCl2) and under normoxic and hypoxic conditions, was separated on a 7.5% gel by SDS-PAGE, transferred to PVDF membrane and blocked in 5% non-fat milk in TBST. The membrane was probed with 2.0 ug/mL anti-HIF-2 alpha in 1% non-fat milk in TBST and detected with an anti-rabbit HRP secondary antibody using chemiluminescence.
Western Blot: HIF-2 alpha/EPAS1 Antibody (2444A)BSA Free [NBP2-76454]

Western Blot: HIF-2 alpha/EPAS1 Antibody (2444A)BSA Free [NBP2-76454]

Western Blot: HIF-2 alpha/EPAS1 Antibody (2444A) [NBP2-76454] - Human MDA MB 231 cells. 50 ug cell lysate per lane. 10% SDS-PAGE. HIF-2 alpha antibody at 1:1000 in 5% milk. HRP-conjugated donkey anti-rabbit IgG polyclonal secondary antibody at 1:2000 in 5% milk. WB image submitted by a verified customer review.
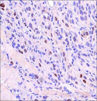
Immunohistochemistry-Paraffin: HIF-2 alpha/EPAS1 Antibody (2444A) - BSA Free [NBP2-76454]

Immunohistochemistry-Paraffin: HIF-2 alpha/EPAS1 Antibody (2444A) - BSA Free [NBP2-76454]

Immunohistochemistry-Paraffin: HIF-2 alpha/EPAS1 Antibody (2444A) [NBP2-76454] - Analysis of an FFPE tissue section of the human renal carcinoma using 1:100 dilution of HIF-2 alpha antibody (NBP2-76454). The signal was developed using HRP-DAB method which followed counterstaining of the cells with hematoxylin. The antibody generated staining mainly in the nuclear with minor cytoplasmic staining.

Applications for HIF-2 alpha/EPAS1 Antibody (2444A) - BSA Free

Application
Recommended Usage

Western Blot

2 ug/mL

Reviewed Applications

Read 1 review rated 5 using NBP2-76454 in the following applications:

Formulation, Preparation, and Storage

Purification

Protein A or G purified

Formulation

PBS

Format

BSA Free

Preservative

0.02% Sodium Azide

Concentration

1.0 mg/ml

Shipping

The product is shipped with polar packs. Upon receipt, store it immediately at the temperature recommended below.

Stability & Storage

Store at 4C short term. Aliquot and store at -20C long term. Avoid freeze-thaw cycles.

Background: HIF-2 alpha/EPAS1

Hypoxia contributes to the pathophysiology of human disease, including myocardial and cerebral ischemia, cancer, pulmonary hypertension, congenital heart disease and chronic obstructive pulmonary disease (1). In cancer, and particularly solid tumors, hypoxia plays a critical role in the regulation of genes involved in stem cell renewal, epithelial to mesenchymal transition (EMT), metastasis and angiogenesis. In the tumor microenvironment (TME), hypoxia influences the properties and function of stromal cells (e.g., fibroblasts, endothelial and immune cells) and is a strong determinant of tumor progression (2,3).

HIF-1 or hypoxia inducible factor 1, is a transcription factor commonly referred to as a "master regulator of the hypoxic response" for its central role in the regulation of cellular adaptations to hypoxia. Similarly, HIF-2 alpha plays a role in cellular responses to hypoxia, but whereas HIF-1 alpha is ubiquitously expressed, HIF-2 alpha is predominantly expressed in the vascular endothelium at embryonic stages and after birth in select cells and tissue types (e.g., fibroblasts, hepatocytes and myocytes at 96kDa) (4). Following a similar mechanism to HIF-1 alpha, HIF-2 alpha is stabilized under hypoxic conditions by the formation of a heterodimer with an ARNT/HIF-1 beta subunit. Stable HIF-2 alpha-ARNT/HIF-1 beta heterodimers engage p300/CBP in the nucleus for binding to hypoxic response elements (HREs), inducing transcription, and thus regulation of genes (e.g., EPO, VEGFA). HIF-1 predominantly transactivates genes involved in glycolytic control and pro- apoptotic genes (e.g., LDHA and BNIP3), and HIF-2 regulates the expression of genes involved in invasion and stemness (e.g., MMP2, and OCT4). Common gene targets for HIF-1 and HIF-2 include VEGFA and GLUT1 (5).

The HIF-2 alpha subunit is rapidly targeted and degraded by the ubiquitin proteasome system under normoxic conditions. This process is mediated by oxygen-sensing enzymes, prolyl hydroxylase domain enzymes (PHDs), which catalyze the hydroxylation of key proline residues (Pro-405 and Pro-531) within the oxygen-dependent degradation domain of HIF-2 alpha (5). Once hydroxylated, HIF-2 alpha binds the von Hippel-Lindau tumor suppressor protein (pVHL) for subsequent ubiquitination and proteasomal degradation (5,6).

References

1. Semenza, G. L., Agani, F., Feldser, D., Iyer, N., Kotch, L., Laughner, E., & Yu, A. (2000). Hypoxia, HIF-1, and the pathophysiology of common human diseases. Advances in Experimental Medicine and Biology.

2.Muz, B., de la Puente, P., Azab, F., & Azab, A. K. (2015). The role of hypoxia in cancer progression, angiogenesis, metastasis, and resistance to therapy. Hypoxia. https://doi.org/10.2147/hp.s93413

3. Huang, Y., Lin, D., & Taniguchi, C. M. (2017). Hypoxia inducible factor (HIF) in the tumor microenvironment: friend or foe? Science China Life Sciences. https://doi.org/10.1007/s11427-017-9178-y

4. Hu, C.-J., Wang, L.-Y., Chodosh, L. A., Keith, B., & Simon, M. C. (2003). Differential Roles of Hypoxia-Inducible Factor 1 (HIF-1) and HIF-2 in Hypoxic Gene Regulation. Molecular and Cellular Biology. https://doi.org/10.1128/mcb.23.24.9361-9374.2003

5. Koh, M. Y., & Powis, G. (2012). Passing the baton: The HIF switch. Trends in Biochemical Sciences. https://doi.org/10.1016/j.tibs.2012.06.004

6. Koyasu, S., Kobayashi, M., Goto, Y., Hiraoka, M., & Harada, H. (2018). Regulatory mechanisms of hypoxia-inducible factor 1 activity: Two decades of knowledge. Cancer Science. https://doi.org/10.1111/cas.13483

Long Name

Hypoxia-inducible Transcription Factor 2 alpha

Alternate Names

EPAS1, HIF 2A, HIF2 alpha, HIF2A, HLF, MOP2, anti hif 2 alpha, anti-HIF-2 alpha, ep190b

Gene Symbol

EPAS1

Additional HIF-2 alpha/EPAS1 Products

Product Documents for HIF-2 alpha/EPAS1 Antibody (2444A) - BSA Free

Certificate of Analysis

To download a Certificate of Analysis, please enter a lot number in the search box below.

Product Specific Notices for HIF-2 alpha/EPAS1 Antibody (2444A) - BSA Free

This product is for research use only and is not approved for use in humans or in clinical diagnosis. Primary Antibodies are guaranteed for 1 year from date of receipt.

Loading...
Loading...
Loading...
Loading...