Immunohistochemistry: HIF-1 alpha Antibody (H1alpha67) [NB100-123]
Immunohistochemistry: HIF-1 alpha Antibody (H1alpha67) [NB100-123] - Analysis of HIF-1 alpha in human lung tissue. Image courtesy of product review by Aneta Gandjeva.
Immunoprecipitation: HIF-1 alpha Antibody (H1alpha67) [NB100-123]
HIF-1-alpha-Antibody-H1alpha67-Immunoprecipitation-NB100-123-img0027.jpg
Western Blot: HIF-1 alpha Antibody (H1alpha67) [NB100-123]
Western Blot: HIF-1 alpha Antibody (H1alpha67) [NB100-123] - Analysis using the HRP conjugate of NB100-123. Detection of HIF-1 alpha in cobalt chloride treated/untreated COS-7 nuclear extracts using NB100-123.
Western Blot: HIF-1 alpha Antibody (H1alpha67) [NB100-123]
Western Blot: HIF-1 alpha Antibody (H1alpha67) [NB100-123] - Analysis using the HRP conjugate of NB100-123. On day 1, MEF cells (+/+,-/-), were grown on 15cm dish (2x10 to the 6th cells). On day 2, cells were exposed to hypoxia for 4hrs. Cells were washed with ice cold PBS twice and whole cell protein was extracted extracted with RIPA buffer fortified with protease. Upon quantification, 100ug of protein was fractionated on 7% polyacralymide gel. Gel was transferred overnight onto nitrocellulose membrane. The membrane was probed with HIF-1 alpha monoclonal antibody at a 1:500 dilution (NB100-123). The secondary antibody was conjugated with HRP and was used at a 1:2500 dilution. Photo courtesy of Dr. Gregg Semenza, Johns Hopkins University.
Immunocytochemistry/ Immunofluorescence: HIF-1 alpha Antibody (H1alpha67) [NB100-123]
HIF-1-alpha-Antibody-H1alpha67-Immunocytochemistry-Immunofluorescence-NB100-123-img0035.jpg
Immunohistochemistry-Paraffin: HIF-1 alpha Antibody (H1alpha67) [NB100-123]
HIF-1-alpha-Antibody-H1alpha67-Immunohistochemistry-Paraffin-NB100-123-img0034.jpg
Immunocytochemistry/ Immunofluorescence: HIF-1 alpha Antibody (H1alpha67) [NB100-123]
Immunocytochemistry/Immunofluorescence: HIF-1 alpha Antibody (H1alpha67) [NB100-123] - Staining in pig endothelial cells under hypoxia condition using NB100-123. Image from verified customer review.
Immunohistochemistry-Paraffin: HIF-1 alpha Antibody (H1alpha67) [NB100-123]
Immunohistochemistry-Paraffin: HIF-1 alpha Antibody (H1alpha67) [NB100-123] - Staining on pig tissue (brown) using NB100-123. Image from verified customer review.
Immunohistochemistry: HIF-1 alpha Antibody (H1alpha67) [NB100-123]
Immunohistochemistry: HIF-1 alpha Antibody (H1alpha67) [NB100-123] - Staining of biotin conjugated HIF-1 alpha (NB100-123B) in human kidney.
Immunoprecipitation: HIF-1 alpha Antibody (H1alpha67) [NB100-123]
Immunoprecipitation: HIF-1 alpha Antibody (H1alpha67) [NB100-123] - Immunoprecipitation of HIF-1alpha using NB100-123 in COS7 CoCl2 treated lysate. Heavy and light chains are also detected. Image using the HRP form of this antibody.
Western Blot: HIF-1 alpha Antibody (H1alpha67) [NB100-123] -
Immunohistological and western blot analyses of HIF-1 alpha.(A) PAB liver stained by HIF-1 alpha (original magnification, ×20). (B) Sham-operated control liver stained by HIF-1 alpha (original magnification, ×20). (C) Enlarged view of the boxed area in the Image (A) (original magnification, ×100). (D) Western blot analysis of HIF-1 alpha (mean ± SEM), * P<0.05. HIF-1 alpha: hypoxia-inducible factor-1 alpha; PAB: pulmonary artery banding.
Immunocytochemistry/Immunofluorescence: Mouse Monoclonal HIF-1 alpha Antibody (H1alpha67) [NB100-123]
Immunocytochemistry/Immunofluorescence: Mouse Monoclonal HIF-1 alpha Antibody (H1alpha67) [NB100-123] - Images of HIF-1 alpha localization (red) in CTR and CoCl2-treated oAECs after 24 h of culture. Image from a verified customer review.
Western Blot: Mouse Monoclonal HIF-1 alpha Antibody (H1alpha67) [NB100-123]
Western Blot: Mouse Monoclonal HIF-1 alpha Antibody (H1alpha67) [NB100-123] - Image of HIF-1 alpha activation in AECs control cells (CTR) and after 24h of 10 and 50µM of CoCl2-treatment; HIF-1 alpha time course at shorter CoCl2 incubation times. Image from a verified customer review.
Western Blot: Mouse Monoclonal HIF-1 alpha Antibody (H1alpha67) [NB100-123]
Western Blot: Mouse Monoclonal HIF-1 alpha Antibody (H1alpha67) [NB100-123] - Image of HIF-1 alpha activation in AECs control cells (CTR) and after 24h of 10 and 50µM of CoCl2-treatment; HIF-1 alpha time course at shorter CoCl2 incubation times. Image from a verified customer review.
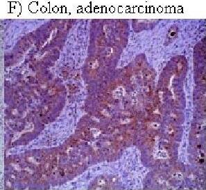
Immunohistochemistry: HIF-1 alpha Antibody (H1alpha67) [NB100-123] -
Immunohistochemistry: HIF-1 alpha Antibody (H1alpha67) [NB100-123] - Immunohistochemical detection of HIF-1 alpha protein in human tissues. The nature of the tissue is indicated on top of each figure. Original magnifications are as follows: A, ×400; B, ×400; C, ×100; D, ×100; E, ×100; F, ×100; G, ×40; H, ×40. Image collected & cropped by CiteAb from the following publication (http://bmcgenet.biomedcentral.com/articles/10.1186/1471-2156-5-27), licensed under a CC-BY license. Not internally tested by Novus Biologicals.
Immunohistochemistry: HIF-1 alpha Antibody (H1alpha67) [NB100-123] -
Immunohistochemistry: HIF-1 alpha Antibody (H1alpha67) [NB100-123] - Immunohistochemical detection of HIF-1 alpha protein in human tissues. The nature of the tissue is indicated on top of each figure. Original magnifications are as follows: A, ×400; B, ×400; C, ×100; D, ×100; E, ×100; F, ×100; G, ×40; H, ×40. Image collected & cropped by CiteAb from the following publication (http://bmcgenet.biomedcentral.com/articles/10.1186/1471-2156-5-27), licensed under a CC-BY license. Not internally tested by Novus Biologicals.
Immunohistochemistry: HIF-1 alpha Antibody (H1alpha67) [NB100-123] -
Immunohistochemistry: HIF-1 alpha Antibody (H1alpha67) [NB100-123] - Immunohistochemical detection of HIF-1 alpha protein in human tissues. The nature of the tissue is indicated on top of each figure. Original magnifications are as follows: A, ×400; B, ×400; C, ×100; D, ×100; E, ×100; F, ×100; G, ×40; H, ×40. Image collected & cropped by CiteAb from the following publication (http://bmcgenet.biomedcentral.com/articles/10.1186/1471-2156-5-27), licensed under a CC-BY license. Not internally tested by Novus Biologicals.
Immunohistochemistry: HIF-1 alpha Antibody (H1alpha67) [NB100-123] -
Immunohistochemistry: HIF-1 alpha Antibody (H1alpha67) [NB100-123] - Immunohistochemical detection of HIF-1 alpha protein in human tissues. The nature of the tissue is indicated on top of each figure. Original magnifications are as follows: A, ×400; B, ×400; C, ×100; D, ×100; E, ×100; F, ×100; G, ×40; H, ×40. Image collected & cropped by CiteAb from the following publication (http://bmcgenet.biomedcentral.com/articles/10.1186/1471-2156-5-27), licensed under a CC-BY license. Not internally tested by Novus Biologicals.
Immunohistochemistry: HIF-1 alpha Antibody (H1alpha67) [NB100-123] -
Immunohistochemistry: HIF-1 alpha Antibody (H1alpha67) [NB100-123] - Immunohistochemical detection of HIF-1 alpha protein in human tissues. The nature of the tissue is indicated on top of each figure. Original magnifications are as follows: A, ×400; B, ×400; C, ×100; D, ×100; E, ×100; F, ×100; G, ×40; H, ×40. Image collected & cropped by CiteAb from the following publication (http://bmcgenet.biomedcentral.com/articles/10.1186/1471-2156-5-27), licensed under a CC-BY license. Not internally tested by Novus Biologicals.
Immunohistochemistry: HIF-1 alpha Antibody (H1alpha67) [NB100-123] -
Immunohistochemistry: HIF-1 alpha Antibody (H1alpha67) [NB100-123] - Immunohistochemical detection of HIF-1 alpha protein in human tissues. The nature of the tissue is indicated on top of each figure. Original magnifications are as follows: A, ×400; B, ×400; C, ×100; D, ×100; E, ×100; F, ×100; G, ×40; H, ×40. Image collected & cropped by CiteAb from the following publication (http://bmcgenet.biomedcentral.com/articles/10.1186/1471-2156-5-27), licensed under a CC-BY license. Not internally tested by Novus Biologicals.
Immunohistochemistry: HIF-1 alpha Antibody (H1alpha67) [NB100-123] -
Immunohistochemistry: HIF-1 alpha Antibody (H1alpha67) [NB100-123] - Immunohistochemical detection of HIF-1 alpha protein in human tissues. The nature of the tissue is indicated on top of each figure. Original magnifications are as follows: A, ×400; B, ×400; C, ×100; D, ×100; E, ×100; F, ×100; G, ×40; H, ×40. Image collected & cropped by CiteAb from the following publication (http://bmcgenet.biomedcentral.com/articles/10.1186/1471-2156-5-27), licensed under a CC-BY license. Not internally tested by Novus Biologicals.
Western Blot: HIF-1 alpha Antibody (H1alpha67) [NB100-123] -
Western Blot: HIF-1 alpha Antibody (H1alpha67) [NB100-123] - Immunohistological & western blot analyses of HIF-1 alpha.(A) PAB liver stained by HIF-1 alpha (original magnification, ×20). (B) Sham-operated control liver stained by HIF-1 alpha (original magnification, ×20). (C) Enlarged view of the boxed area in the Image (A) (original magnification, ×100). (D) Western blot analysis of HIF-1 alpha (mean ± SEM), * P<0.05. HIF-1 alpha: hypoxia-inducible factor-1 alpha; PAB: pulmonary artery banding. Image collected & cropped by CiteAb from the following publication (https://pubmed.ncbi.nlm.nih.gov/26863419), licensed under a CC-BY license. Not internally tested by Novus Biologicals.
Immunocytochemistry/ Immunofluorescence: HIF-1 alpha Antibody (H1alpha67) [NB100-123] -
Immunocytochemistry/ Immunofluorescence: HIF-1 alpha Antibody (H1alpha67) [NB100-123] - Analysis of CBF treatment in HCT116 implanted mouse models & tumour tissue samples. (a) Tumour size versus CBF treatment. The lowest tumour growth rate was found in i.p. group during CBF treatment. (b) Analysis of HIF-1 alpha mRNA level in tumour tissues. There was a significant upregulated HIF-1 alpha level in i.p. group. Results are means with standard errors from 4 replicates. (c) Inhibition of HIF-1 alpha nuclear translocation in the i.t. sample. CBF strongly inhibited HIF-1 alpha nuclear accumulation in the tumour of xenografts implanted with HCT116 cells. Scale bars equal 10 μm. White arrows: HIF-1 alpha in the cytosol. Image collected & cropped by CiteAb from the following publication (https://pubmed.ncbi.nlm.nih.gov/23818933), licensed under a CC-BY license. Not internally tested by Novus Biologicals.
Immunohistochemistry: HIF-1 alpha Antibody (H1alpha67) [NB100-123] -
Immunohistochemistry: HIF-1 alpha Antibody (H1alpha67) [NB100-123] - Immunohistochemical detection of HIF-1 alpha protein in human tissues. The nature of the tissue is indicated on top of each figure. Original magnifications are as follows: A, ×400; B, ×400; C, ×100; D, ×100; E, ×100; F, ×100; G, ×40; H, ×40. Image collected & cropped by CiteAb from the following publication (http://bmcgenet.biomedcentral.com/articles/10.1186/1471-2156-5-27), licensed under a CC-BY license. Not internally tested by Novus Biologicals.
Immunohistochemistry: HIF-1 alpha Antibody (H1alpha67) [NB100-123] -
Immunohistochemistry: HIF-1 alpha Antibody (H1alpha67) [NB100-123] - CycT alleviates tumor hypoxia. The effects of CycT on the levels of exogenous hypoxia-marker pimonidazole labeling (A), the levels of hypoxia-inducible CA9 enzyme (B), & the levels of hypoxia-inducible factor HIF1 alpha (C) in orthotopic tumor xenografts. Scale bar: Montage, 1 mm; 10X, 20 μm. Data are plotted as mean ± SEM. For statistical analysis, the levels in treated tumors were compared to the levels in control tumors with a Welch 2-sample t-test. **p-value < 0.005. IHC images are representative of 3 independent experiments. Image collected & cropped by CiteAb from the following publication (https://pubmed.ncbi.nlm.nih.gov/30723259), licensed under a CC-BY license. Not internally tested by Novus Biologicals.
Immunohistochemistry: HIF-1 alpha Antibody (H1alpha67) [NB100-123] -
Immunohistochemistry: HIF-1 alpha Antibody (H1alpha67) [NB100-123] - Immunohistochemical detection of HIF-1 alpha protein in human tissues. The nature of the tissue is indicated on top of each figure. Original magnifications are as follows: A, ×400; B, ×400; C, ×100; D, ×100; E, ×100; F, ×100; G, ×40; H, ×40. Image collected & cropped by CiteAb from the following publication (http://bmcgenet.biomedcentral.com/articles/10.1186/1471-2156-5-27), licensed under a CC-BY license. Not internally tested by Novus Biologicals.
Immunohistochemistry: HIF-1 alpha Antibody (H1alpha67) [NB100-123] -
Immunohistochemistry: HIF-1 alpha Antibody (H1alpha67) [NB100-123] - Schematic demonstration of the three HIF1 alpha antibodies used in this study & their epitopes (Figs. 2a & b). Ab1 is a polyclonal antibody raised against N-domain of wild type HIF1 alpha & does not recognize HIF1 alpha1.2 due to it's different N-terminal part (Fig. 2a). Ab2 & Ab3 are monoclonal & polyclonal antibodies, respectively, with epitopes in the common parts of HIF1 alpha & HIF1 alpha1.2 (Fig.2a & b). Immunohistochemical analysis performed on thin adjacent sections of NE-differentiated prostate cancer using the HIF1 alpha antibodies Ab1 (Fig. 2c), Ab 2 (Fig. 2d), Ab 3 (Fig. 2e) & HIF1 beta antibody (Fig. 2f). Immunopositivity was detected for HIF1 alpha with Ab2 & Ab3 while HIF1 alpha Ab1 produced no detectable staining. HIF1 beta was also positive in adjacent section (Fig. 2f). Double staining of chromogranin A & androgen receptor antigens on adjacent sections (Fig. 2g) showed immunopositivity for chromogranin A (Fast red). Androgen receptor antibody (DAB, brown) produced no staining. Immunostaining of benign prostate tissue with HIF1 alpha Ab3 showed immunopositivity in NE-like cells of benign prostate tissue (Fig. 2h). In addition, HIF1 beta antibody recognized benign NE-like cells in benign prostate hyperplasia (Fig. 2i). Double staining with HIF1 alpha Ab3 & HIF1 beta (Fig. 2j) shows co-localization of the two proteins in NE-like cells of benign prostate hyperplasia (HIF1 alpha Ab3 red stain, HIF1 beta brown stain). Panels a, b, c, d, e, f & g: 40× objective. Panels h, i & j: 60× objective. Image collected & cropped by CiteAb from the following publication (https://pubmed.ncbi.nlm.nih.gov/20663134), licensed under a CC-BY license. Not internally tested by Novus Biologicals.
Immunocytochemistry/ Immunofluorescence: HIF-1 alpha Antibody (H1alpha67) [NB100-123] -
Immunocytochemistry/ Immunofluorescence: HIF-1 alpha Antibody (H1alpha67) [NB100-123] - GAD65/67-positive neurons expressed HIF-1 alpha under hypoxic conditions. A) HIF-1 alpha expression co-localized with GAD65/67-ir in neurons exposed to hypoxia when compared to normoxia (upper panel) or GAD65/67-negative neurons in hypoxia (bottom panel, open arrow). B) Quantification shows the percentage of HIF-1 alpha-expressing GAD65/67-positive neurons after hypoxia in vitro (mean ± SD; from n = 6 cultures). C)In vivo immunostaining illustrates HIF-1 alpha-positive (bottom panel, solid arrow) & HIF-1 alpha-negative (bottom panel, open arrow) in GAD65/67-ir neurons in the ipsilateral region, whereas the contralateral region shows no HIF-1 alpha staining in GAD65/67-ir neurons (see Figure 1 for region selection). Scale bars, 10 μm (A); 20 μm (B). Image collected & cropped by CiteAb from the following publication (https://actaneurocomms.biomedcentral.com/articles/10.1186/2051-5960-2-51), licensed under a CC-BY license. Not internally tested by Novus Biologicals.
Immunocytochemistry/ Immunofluorescence: HIF-1 alpha Antibody (H1alpha67) [NB100-123] -
Immunocytochemistry/ Immunofluorescence: HIF-1 alpha Antibody (H1alpha67) [NB100-123] - GAD65/67-positive neurons expressed HIF-1 alpha under hypoxic conditions. A) HIF-1 alpha expression co-localized with GAD65/67-ir in neurons exposed to hypoxia when compared to normoxia (upper panel) or GAD65/67-negative neurons in hypoxia (bottom panel, open arrow). B) Quantification shows the percentage of HIF-1 alpha-expressing GAD65/67-positive neurons after hypoxia in vitro (mean ± SD; from n = 6 cultures). C)In vivo immunostaining illustrates HIF-1 alpha-positive (bottom panel, solid arrow) & HIF-1 alpha-negative (bottom panel, open arrow) in GAD65/67-ir neurons in the ipsilateral region, whereas the contralateral region shows no HIF-1 alpha staining in GAD65/67-ir neurons (see Figure 1 for region selection). Scale bars, 10 μm (A); 20 μm (B). Image collected & cropped by CiteAb from the following publication (https://actaneurocomms.biomedcentral.com/articles/10.1186/2051-5960-2-51), licensed under a CC-BY license. Not internally tested by Novus Biologicals.
Immunocytochemistry/ Immunofluorescence: HIF-1 alpha Antibody (H1alpha67) [NB100-123] -
Immunocytochemistry/ Immunofluorescence: HIF-1 alpha Antibody (H1alpha67) [NB100-123] - Levels of GSH in cortical neurons exposed to hypoxia. A) During hypoxia, GSH increased in MAP2-ir neurons with round somata (bottom panel, open arrow) & decreased in neurons with pyramidal-like morphology (upper panel, solid arrow). B) GSH increased in a subset of GAD65/67–ir neurons exposed to hypoxia (bottom panel, open arrow). C) Elevated HIF-1 alpha expression in GAD65/67–ir neurons containing high levels of GSH when exposed to hypoxia (middle panel). BSO treatment decreased HIF-1 alpha expression in GAD65/67-positive neurons during hypoxia. D) Percentages of HIF-1 alpha-expressing GAD65/67-ir neurons expressing a high level of GSH & GAD65/67-ir neurons expressing a low levels of GSH & HIF-1 alpha (mean ± SD; n = 3). The “low” level referred to the level of GSH in normoxic GAD65/67 neurons that was normalized to 1. The “high” level referred to the elevated GSH level in GAD65/67 neurons with a mean of 1.40 ± 0.10. E) Total MCB-GSH intensity in GAD65/67-positive neurons with & without BSO after hypoxia (mean ± SD; 8-10 neurons quantified from each experiment, n = 3 independent cultures). Scale bars, 20 μm. Image collected & cropped by CiteAb from the following publication (https://actaneurocomms.biomedcentral.com/articles/10.1186/2051-5960-2-51), licensed under a CC-BY license. Not internally tested by Novus Biologicals.
Immunohistochemistry: HIF-1 alpha Antibody (H1alpha67) [NB100-123] -
Immunohistochemistry: HIF-1 alpha Antibody (H1alpha67) [NB100-123] - Results of in situ hybridization & immunohistochemistry on thin adjacent section to detect expression of HIF-1 alpha1.2 mRNA & HIF1 alpha protein in malignant & benign prostate tissue. In situ hybridization (antisense probe, Fig. 3a) & immunostaining with HIF1 alpha Ab2 (Fig. 3c) on thin adjacent sections of NE-differentiated prostate adenocarcinoma showed co-localization of HIF1 alpha1.2 transcript & HIF-1 alpha protein. Incubation with sense probe did not generate any detectable hybridization signals (Fig. 3b). Both In situ hybridization (Fig. 3d antisense) & HIF-1 alpha Ab2 immunostaining (Fig. 3f) were negative in non-NE-differentiated prostate adenocarcinoma. In situ hybridization with sense probe performed on non-NE-differentiated prostate cancer (Fig. 3e) was negative. In situ hybridizering on benign prostate tissue showed HIF1 alpha1.2 transcript in NE-like cells of benign prostate tissue (Fig. 3g, ↗). The sense probe on thin adjacent section generated no signals (Fig. 3h,↗). Furthermore, co-localization of HIF1 alpha1.2 transcript (Fig. 3i,↗,◢,↖) & HIF1 alpha protein, detected with HIF1 alphaAb3 (Fig. 3j,↗,◢,↖) was also shown in NE-like cells of benign prostate tissue. Panels a, b, c, d, e, f, g, h, i, j: 40× objective. Image collected & cropped by CiteAb from the following publication (https://pubmed.ncbi.nlm.nih.gov/20663134), licensed under a CC-BY license. Not internally tested by Novus Biologicals.
Western Blot: HIF-1 alpha Antibody (H1alpha67) [NB100-123] -
Western Blot: HIF-1 alpha Antibody (H1alpha67) [NB100-123] - HX-induced Sirt1 expression in white matter OPCs requires HIF1 alpha.(a) HIF1 alpha stabilization of Sirt1 transcript expression in OPCs as revealed by representative RT–PCR represents higher level of Sirt1 mRNA in VHL cKO mice. GDPDH mRNA serves as a control. Mean±s.e.m., n=3 brains for each group. (b,c) Representative western blot demonstrates a transient increase of HIF1 alpha expression in HX white matter at P18 with no significant effect at P11 (P=0.7955) & P45 (P=0.7333). Histograms show mean±s.e.m. (d,e) Graphs represent the percentages of Sirt1+Ki67+ & NG2+Ki67+ cells after HX white matter in WT & HIF1 alpha KO mice. Number in parentheses within bar indicates number of samples (n=4 brains per group & per genotype; ****P<0.0001, one-way analysis of variance, Bonferroni post hoc test, mean±s.e.m.). (f,g) Western blot demonstrates no increase (P=0.8231) in Sirt1 & HIF1 alpha expression in white matter of Hif1 alpha KO mice. Actin was used as loading control (mean±s.e.m.; n=3 brains for each experiment, group & genotype). Image collected & cropped by CiteAb from the following publication (https://www.nature.com/articles/ncomms13866), licensed under a CC-BY license. Not internally tested by Novus Biologicals.
Immunohistochemistry: HIF-1 alpha Antibody (H1alpha67) [NB100-123] -
Immunohistochemistry: HIF-1 alpha Antibody (H1alpha67) [NB100-123] - Results of in situ hybridization & immunohistochemistry on thin adjacent section to detect expression of HIF-1 alpha1.2 mRNA & HIF1 alpha protein in malignant & benign prostate tissue. In situ hybridization (antisense probe, Fig. 3a) & immunostaining with HIF1 alpha Ab2 (Fig. 3c) on thin adjacent sections of NE-differentiated prostate adenocarcinoma showed co-localization of HIF1 alpha1.2 transcript & HIF-1 alpha protein. Incubation with sense probe did not generate any detectable hybridization signals (Fig. 3b). Both In situ hybridization (Fig. 3d antisense) & HIF-1 alpha Ab2 immunostaining (Fig. 3f) were negative in non-NE-differentiated prostate adenocarcinoma. In situ hybridization with sense probe performed on non-NE-differentiated prostate cancer (Fig. 3e) was negative. In situ hybridizering on benign prostate tissue showed HIF1 alpha1.2 transcript in NE-like cells of benign prostate tissue (Fig. 3g, ↗). The sense probe on thin adjacent section generated no signals (Fig. 3h,↗). Furthermore, co-localization of HIF1 alpha1.2 transcript (Fig. 3i,↗,◢,↖) & HIF1 alpha protein, detected with HIF1 alphaAb3 (Fig. 3j,↗,◢,↖) was also shown in NE-like cells of benign prostate tissue. Panels a, b, c, d, e, f, g, h, i, j: 40× objective. Image collected & cropped by CiteAb from the following publication (https://pubmed.ncbi.nlm.nih.gov/20663134), licensed under a CC-BY license. Not internally tested by Novus Biologicals.
Immunocytochemistry/ Immunofluorescence: HIF-1 alpha Antibody (H1alpha67) [NB100-123] -
Immunocytochemistry/ Immunofluorescence: HIF-1 alpha Antibody (H1alpha67) [NB100-123] - HIF-1 alpha expression in primary cortical neurons exposed to hypoxia/ischemia. A & A’) Neurons were double-stained for HIF-1 alpha & MAP2 in the presence of 5 & 25 mM glucose with & without hypoxia. HIF-1 alpha expression in the somata was observed in cells with interneuron-like morphology after hypoxia. B) CoCl2 (0.3 mM) induced HIF-1 alpha expression in cells with interneuron-like morphology. C) Quantification represents the increase in HIF-1 alpha–ir staining (mean ± SD; 5-10 neurons quantified from each experiment, n = 3 experiments). D)In vivo brain slice shows a similar pattern of positive HIF-1 alpha -ir in round soma (open arrow) & negative in neurons with pyramidal-like morphology (solid arrow) in the ipsilateral side. *p < 0.05, compared with normoxia (25 mM glucose), #p < 0.05, compared with hypoxia (25 mM glucose). Scale bars, 20 μm (A, A’, B); 10 μm (D). Image collected & cropped by CiteAb from the following publication (https://actaneurocomms.biomedcentral.com/articles/10.1186/2051-5960-2-51), licensed under a CC-BY license. Not internally tested by Novus Biologicals.
Western Blot: HIF-1 alpha Antibody (H1alpha67) [NB100-123] -
Western Blot: HIF-1 alpha Antibody (H1alpha67) [NB100-123] - HX-induced Sirt1 expression in white matter OPCs requires HIF1 alpha.(a) HIF1 alpha stabilization of Sirt1 transcript expression in OPCs as revealed by representative RT–PCR represents higher level of Sirt1 mRNA in VHL cKO mice. GDPDH mRNA serves as a control. Mean±s.e.m., n=3 brains for each group. (b,c) Representative western blot demonstrates a transient increase of HIF1 alpha expression in HX white matter at P18 with no significant effect at P11 (P=0.7955) & P45 (P=0.7333). Histograms show mean±s.e.m. (d,e) Graphs represent the percentages of Sirt1+Ki67+ & NG2+Ki67+ cells after HX white matter in WT & HIF1 alpha KO mice. Number in parentheses within bar indicates number of samples (n=4 brains per group & per genotype; ****P<0.0001, one-way analysis of variance, Bonferroni post hoc test, mean±s.e.m.). (f,g) Western blot demonstrates no increase (P=0.8231) in Sirt1 & HIF1 alpha expression in white matter of Hif1 alpha KO mice. Actin was used as loading control (mean±s.e.m.; n=3 brains for each experiment, group & genotype). Image collected & cropped by CiteAb from the following publication (https://www.nature.com/articles/ncomms13866), licensed under a CC-BY license. Not internally tested by Novus Biologicals.