Skip to main content

HGS Antibody - BSA Free

Novus Biologicals, part of Bio-Techne | Catalog # NBP1-83202

Novus Biologicals, part of Bio-Techne
Catalog #
Availability
Size / Price
Qty
Loading...
NBP1-83202
NBP1-83202-25ul

Key Product Details

Species Reactivity

Human

Applications

Immunohistochemistry, Immunohistochemistry-Paraffin, Western Blot, Immunocytochemistry/ Immunofluorescence

Label

Unconjugated

Antibody Source

Polyclonal Rabbit IgG

Format

BSA Free

Concentration

Concentrations vary lot to lot. See vial label for concentration. If unlisted please contact technical services.

Product Specifications

Immunogen

This antibody was developed against Recombinant Protein corresponding to amino acids: LAEDIDPELARYLNRNYWEKKQEEARKSPTPSAPVPLTEPAAQPGEGHAAPTNVVENPLPETDSQPIPPSGGPFSEPQFHNGESEESHEQFLKALQNAVTTFVNRMKSNHMRGRSITNDS

Reactivity Notes

Immunogen displays the following percentage of sequence identity for non-tested species: Mouse (89%), Rat (89%).

Clonality

Polyclonal

Host

Rabbit

Isotype

IgG

Scientific Data Images for HGS Antibody - BSA Free

Immunocytochemistry/ Immunofluorescence: HGS Antibody [NBP1-83202]

Immunocytochemistry/ Immunofluorescence: HGS Antibody [NBP1-83202]

Immunocytochemistry/Immunofluorescence: HGS Antibody [NBP1-83202] - Staining of human cell line U-2 OS shows localization to cytosol & vesicles. Antibody staining is shown in green.
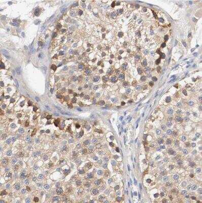
Immunohistochemistry-Paraffin: HGS Antibody [NBP1-83202]

Immunohistochemistry-Paraffin: HGS Antibody [NBP1-83202]

Immunohistochemistry-Paraffin: HGS Antibody [NBP1-83202] - Staining of human testis shows moderate cytoplasmic positivity in cells in seminiferous ducts.
Immunohistochemistry-Paraffin: HGS Antibody [NBP1-83202]

Immunohistochemistry-Paraffin: HGS Antibody [NBP1-83202]

Immunohistochemistry-Paraffin: HGS Antibody [NBP1-83202] - Staining of human skeletal muscle shows no positivity in myocytes as expected.

Applications for HGS Antibody - BSA Free

Application
Recommended Usage

Immunocytochemistry/ Immunofluorescence

0.25-2 ug/ml

Immunohistochemistry

1:200 - 1:500

Immunohistochemistry-Paraffin

1:200 - 1:500

Western Blot

0.04-0.4 ug/ml
Application Notes
For IHC-Paraffin, HIER pH 6 retrieval is recommended. ICC/IF,Fixation Permeabilization: Use PFA/Triton X-100.

Formulation, Preparation, and Storage

Purification

Affinity purified

Formulation

PBS (pH 7.2) and 40% Glycerol

Format

BSA Free

Preservative

0.02% Sodium Azide

Concentration

Concentrations vary lot to lot. See vial label for concentration. If unlisted please contact technical services.

Shipping

The product is shipped with polar packs. Upon receipt, store it immediately at the temperature recommended below.

Stability & Storage

Store at 4C short term. Aliquot and store at -20C long term. Avoid freeze-thaw cycles.

Background: HGS

HGS is involved in intracellular signal transduction mediated by cytokines and growth factors. When associated with STAM, it suppresses DNA signaling upon stimulation by IL-2 and GM-CSF. Could be a direct effector of PI3-kinase in vesicular pathway via early end

Alternate Names

FLJ39878, hepatocyte growth factor-regulated tyrosine kinase substrate, Hrs, HRSFLJ11421, human growth factor-regulated tyrosine kinase substrate, Protein pp110, Vps27, ZFYVE8

Gene Symbol

HGS

Additional HGS Products

Product Documents for HGS Antibody - BSA Free

Certificate of Analysis

To download a Certificate of Analysis, please enter a lot number in the search box below.

Product Specific Notices for HGS Antibody - BSA Free

This product is for research use only and is not approved for use in humans or in clinical diagnosis. Primary Antibodies are guaranteed for 1 year from date of receipt.

Loading...
Loading...
Loading...
Loading...