Heparan Sulfate 3-O-Sulfotransferase 1/HS3ST1 Antibody - BSA Free
Novus Biologicals, part of Bio-Techne | Catalog # NBP1-89375
Key Product Details
Species Reactivity
Validated:
Human
Predicted:
Mouse (91%), Rat (92%). Backed by our 100% Guarantee.
Applications
Immunohistochemistry, Immunohistochemistry-Paraffin, Western Blot
Label
Unconjugated
Antibody Source
Polyclonal Rabbit IgG
Format
BSA Free
Concentration
Concentrations vary lot to lot. See vial label for concentration. If unlisted please contact technical services.
Product Specifications
Immunogen
This antibody was developed against Recombinant Protein corresponding to amino acids: TQVFYNHMQKHKPYPSIEEFLVRDGRLNVDYKALNRSLYHVHMQNWLRFFPLRHIHIVDGDRLIRDPFPEIQKVERFLKLSPQINASNFYFNKTKGFYCLRDSGRDRCLHESKGRAHPQVDPKLLNKLHEYFHEPNKKFFELVGR
Clonality
Polyclonal
Host
Rabbit
Isotype
IgG
Description
Novus Biologicals Rabbit Heparan Sulfate 3-O-Sulfotransferase 1/HS3ST1 Antibody - BSA Free (NBP1-89375) is a polyclonal antibody validated for use in IHC and WB. All Novus Biologicals antibodies are covered by our 100% guarantee.
Scientific Data Images for Heparan Sulfate 3-O-Sulfotransferase 1/HS3ST1 Antibody - BSA Free
Western Blot: Heparan Sulfate 3-O-Sulfotransferase 1/HS3ST1 Antibody - BSA Free [NBP1-89375]
Analysis in human brain tissue.Immunohistochemistry-Paraffin: Heparan Sulfate 3-O-Sulfotransferase 1/HS3ST1 Antibody - BSA Free [NBP1-89375]
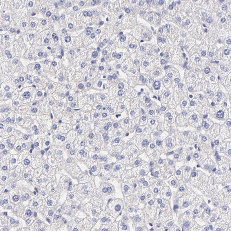
Staining of human liver shows no positivity in hepatocytes as expected.Immunohistochemistry-Paraffin: Heparan Sulfate 3-O-Sulfotransferase 1/HS3ST1 Antibody - BSA Free [NBP1-89375]
Staining of human cerebral cortex shows strong cytoplasmic positivity in neurons.Applications for Heparan Sulfate 3-O-Sulfotransferase 1/HS3ST1 Antibody - BSA Free
Application
Recommended Usage
Immunohistochemistry
1:20 - 1:50
Immunohistochemistry-Paraffin
1:20 - 1:50
Western Blot
0.04-0.4 ug/ml
Application Notes
For IHC-Paraffin, HIER pH 6 retrieval is recommended.
Formulation, Preparation, and Storage
Purification
Immunogen affinity purified
Formulation
PBS (pH 7.2) and 40% Glycerol
Format
BSA Free
Preservative
0.02% Sodium Azide
Concentration
Concentrations vary lot to lot. See vial label for concentration. If unlisted please contact technical services.
Shipping
The product is shipped with polar packs. Upon receipt, store it immediately at the temperature recommended below.
Stability & Storage
Store at 4C short term. Aliquot and store at -20C long term. Avoid freeze-thaw cycles.
Background: Heparan Sulfate 3-O-Sulfotransferase 1/HS3ST1
Alternate Names
3OST1, h3-OST-1
Gene Symbol
HS3ST1
Additional Heparan Sulfate 3-O-Sulfotransferase 1/HS3ST1 Products
Product Documents for Heparan Sulfate 3-O-Sulfotransferase 1/HS3ST1 Antibody - BSA Free
Product Specific Notices for Heparan Sulfate 3-O-Sulfotransferase 1/HS3ST1 Antibody - BSA Free
This product is for research use only and is not approved for use in humans or in clinical diagnosis. Primary Antibodies are guaranteed for 1 year from date of receipt.
Loading...
Loading...
Loading...
Loading...