Skip to main content

Hematopoietic Prostaglandin D Synthase/HPGDS Antibody - BSA Free

Novus Biologicals, part of Bio-Techne | Catalog # NBP1-83322

Novus Biologicals, part of Bio-Techne
Catalog #
Availability
Size / Price
Qty
Loading...
NBP1-83322
NBP1-83322-25ul

Key Product Details

Species Reactivity

Human

Applications

Immunohistochemistry, Immunohistochemistry-Paraffin

Label

Unconjugated

Antibody Source

Polyclonal Rabbit IgG

Format

BSA Free

Concentration

Concentrations vary lot to lot. See vial label for concentration. If unlisted please contact technical services.

Product Specifications

Immunogen

This antibody was developed against Recombinant Protein corresponding to amino acids: KQDVKEQMFNELLTYNAPHLMQDLDTYLGGREWLIGNSVTWADFYWEICSTTLLVFKPDLLDNHPRLVTLRKKVQAIPAVANWI

Clonality

Polyclonal

Host

Rabbit

Isotype

IgG

Description

Novus Biologicals Rabbit Hematopoietic Prostaglandin D Synthase/HPGDS Antibody - BSA Free (NBP1-83322) is a polyclonal antibody validated for use in IHC. All Novus Biologicals antibodies are covered by our 100% guarantee.

Scientific Data Images for Hematopoietic Prostaglandin D Synthase/HPGDS Antibody - BSA Free

Immunohistochemistry: Hematopoietic Prostaglandin D Synthase/HPGDS Antibody [NBP1-83322]

Immunohistochemistry: Hematopoietic Prostaglandin D Synthase/HPGDS Antibody [NBP1-83322]

Immunohistochemistry: Hematopoietic Prostaglandin D Synthase/HPGDS Antibody [NBP1-83322] - Staining of human liver shows no positivity in hepatocytes as expected.
Immunohistochemistry-Paraffin: Hematopoietic Prostaglandin D Synthase/HPGDS Antibody [NBP1-83322]

Immunohistochemistry-Paraffin: Hematopoietic Prostaglandin D Synthase/HPGDS Antibody [NBP1-83322]

Immunohistochemistry-Paraffin: Hematopoietic Prostaglandin D Synthase/HPGDS Antibody [NBP1-83322] - Staining of human bone marrow shows moderate cytoplasmic positivity in megakaryocytes.
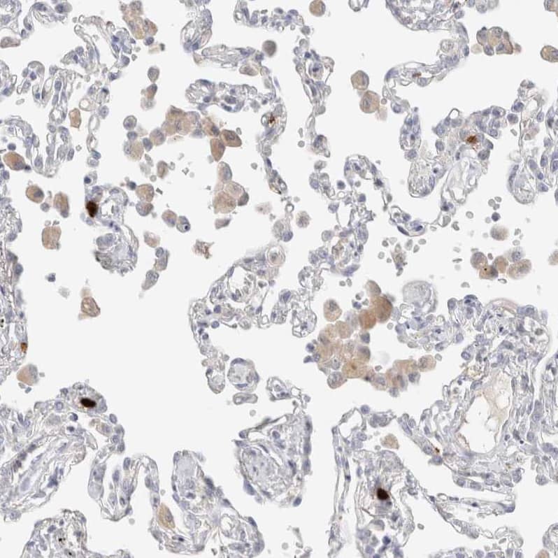
Hematopoietic Prostaglandin D Synthase/HPGDS Antibody - BSA Free Immunohistochemistry-Paraffin: Hematopoietic Prostaglandin D Synthase/HPGDS Antibody - BSA Free [NBP1-83322]

Immunohistochemistry-Paraffin: Hematopoietic Prostaglandin D Synthase/HPGDS Antibody - BSA Free [NBP1-83322]

Staining of human lung shows weak to moderate cytoplasmic positivity in macrophages.

Applications for Hematopoietic Prostaglandin D Synthase/HPGDS Antibody - BSA Free

Application
Recommended Usage

Immunohistochemistry

1:50 - 1:200

Immunohistochemistry-Paraffin

1:50-1:200
Application Notes
For IHC-Paraffin, HIER pH 6 retrieval is recommended.

Formulation, Preparation, and Storage

Purification

Immunogen affinity purified

Formulation

PBS (pH 7.2) and 40% Glycerol

Format

BSA Free

Preservative

0.02% Sodium Azide

Concentration

Concentrations vary lot to lot. See vial label for concentration. If unlisted please contact technical services.

Shipping

The product is shipped with polar packs. Upon receipt, store it immediately at the temperature recommended below.

Stability & Storage

Store at 4C short term. Aliquot and store at -20C long term. Avoid freeze-thaw cycles.

Background: Hematopoietic Prostaglandin D Synthase/HPGDS

Prostaglandin D synthase catalyzes the isomerization of PGH2 to produce PGD2. Prostaglandin D synthase induces sleep, regulates nociception, inhibits platelet aggregation, and acts as an allergic mediator. Two distinct types of PGD synthase have been identified, namely the lipocalin type enzyme (b-trace) and the hematopoietic enzyme. Lipocalin type prostaglandin D synthase is localized in the central nervous system and male genital organs of various mammals and the human heart. This enzyme has been identified as b-trace, which is a major protein in human cerebrospinal fluid. Hematopoietic prostaglandin D synthase is widely distributed in the peripheral tissues and is localized in the antigen-presenting cells, mast cells, and megakaryocytes. This enzyme, which requires glutathione for activity, belongs to the sigma-class of glutathione-S-transferases.

Alternate Names

GSTS, PGDS, PTGDS2

Gene Symbol

HPGDS

Additional Hematopoietic Prostaglandin D Synthase/HPGDS Products

Product Documents for Hematopoietic Prostaglandin D Synthase/HPGDS Antibody - BSA Free

Certificate of Analysis

To download a Certificate of Analysis, please enter a lot number in the search box below.

Product Specific Notices for Hematopoietic Prostaglandin D Synthase/HPGDS Antibody - BSA Free

This product is for research use only and is not approved for use in humans or in clinical diagnosis. Primary Antibodies are guaranteed for 1 year from date of receipt.

Loading...
Loading...
Loading...
Loading...