Skip to main content

GTP-binding protein 1 Antibody - BSA Free

Novus Biologicals, part of Bio-Techne | Catalog # NBP2-56040

Novus Biologicals, part of Bio-Techne
Catalog #
Availability
Size / Price
Qty
Loading...
NBP2-56040
NBP2-56040-25ul

Key Product Details

Species Reactivity

Validated:

Human

Predicted:

Mouse (100%), Rat (100%). Backed by our 100% Guarantee.

Applications

Immunocytochemistry/ Immunofluorescence, Immunohistochemistry, Immunohistochemistry-Paraffin

Label

Unconjugated

Antibody Source

Polyclonal Rabbit IgG

Format

BSA Free

Concentration

Concentrations vary lot to lot. See vial label for concentration. If unlisted please contact technical services.

Product Specifications

Immunogen

This antibody was developed against a recombinant protein corresponding to the following amino acid sequence: SKLVLVSPTSEQYDSLLRQMWERMDEGCGETIYVIGQGSDGTEYGLSEADMEASYATVKSMAEQIEADVILLRERQ

Clonality

Polyclonal

Host

Rabbit

Isotype

IgG

Description

Novus Biologicals Rabbit GTP-binding protein 1 Antibody - BSA Free (NBP2-56040) is a polyclonal antibody validated for use in IHC and ICC/IF. All Novus Biologicals antibodies are covered by our 100% guarantee.

Scientific Data Images for GTP-binding protein 1 Antibody - BSA Free

Immunocytochemistry/ Immunofluorescence: GTP-binding protein 1 Antibody [NBP2-56040]

Immunocytochemistry/ Immunofluorescence: GTP-binding protein 1 Antibody [NBP2-56040]

Immunocytochemistry/Immunofluorescence: GTP-binding protein 1 Antibody [NBP2-56040] - Staining of human cell line HEK 293 shows localization to nuclear bodies, cytosol & the Golgi apparatus.
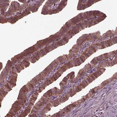
Immunohistochemistry-Paraffin: GTP-binding protein 1 Antibody [NBP2-56040]

Immunohistochemistry-Paraffin: GTP-binding protein 1 Antibody [NBP2-56040]

Immunohistochemistry-Paraffin: GTP-binding protein 1 Antibody [NBP2-56040] - Staining of human fallopian tube shows moderate cytoplasmic positivity in glandular cells.

Applications for GTP-binding protein 1 Antibody - BSA Free

Application
Recommended Usage

Immunocytochemistry/ Immunofluorescence

0.25-2 ug/ml

Immunohistochemistry

1:1000 - 1:2500

Immunohistochemistry-Paraffin

1:1000 - 1:2500
Application Notes
ICC/IF, Fixation Permeabilization: Use PFA/Triton X-100. IHC-P, Retrieval method: HIER pH6.

Formulation, Preparation, and Storage

Purification

Affinity purified

Formulation

PBS (pH 7.2) and 40% Glycerol

Format

BSA Free

Preservative

0.02% Sodium Azide

Concentration

Concentrations vary lot to lot. See vial label for concentration. If unlisted please contact technical services.

Shipping

The product is shipped with polar packs. Upon receipt, store it immediately at the temperature recommended below.

Stability & Storage

Store at 4C short term. Aliquot and store at -20C long term. Avoid freeze-thaw cycles.

Background: GTP-binding protein 1

GTPBP1, also known as GTP-binding protein 1, is a 669 amino acid that is approx. 72 kDa, stimulates degradation of target mRNA species, binds GTP, is important for the regulation of circadian mRNA stability, and has GTPase activity. Studies on this protein have shown a relationship with the following disorders and diseases: lassa fever, fragile x syndrome, lymphocytic choriomeningitis, antiphospholipid syndrome, lupus erythematosus, adenoma, and interferon. This protein interacts with EXOSC2/RRP4, EXOSC3/RRP40, EXOSC5/RRP46, HNRNPD, HNRNPR, SYNCRIP, LRP1, SQSTM1, ABCF1, and MAP1LC3B in GTP catabolic process, positive regulation of mRNA catabolic process, signal transduction, and immune response pathways.

Alternate Names

GP1GTP-binding protein 1, GP-1MGC20069, G-protein 1, GTP binding protein 1, HSPC018

Gene Symbol

GTPBP1

Additional GTP-binding protein 1 Products

Product Documents for GTP-binding protein 1 Antibody - BSA Free

Certificate of Analysis

To download a Certificate of Analysis, please enter a lot number in the search box below.

Product Specific Notices for GTP-binding protein 1 Antibody - BSA Free

This product is for research use only and is not approved for use in humans or in clinical diagnosis. Primary Antibodies are guaranteed for 1 year from date of receipt.

Loading...
Loading...
Loading...
Loading...