Skip to main content

GTP-binding protein 1 Antibody - BSA Free

Novus Biologicals, part of Bio-Techne | Catalog # NBP1-89746

Novus Biologicals, part of Bio-Techne
Catalog #
Availability
Size / Price
Qty
Loading...
NBP1-89746
NBP1-89746-25ul

Key Product Details

Species Reactivity

Validated:

Human

Predicted:

Mouse (100%), Rat (100%). Backed by our 100% Guarantee.

Applications

Immunohistochemistry, Immunohistochemistry-Paraffin

Label

Unconjugated

Antibody Source

Polyclonal Rabbit IgG

Format

BSA Free

Concentration

Concentrations vary lot to lot. See vial label for concentration. If unlisted please contact technical services.

Product Specifications

Immunogen

This antibody was developed against Recombinant Protein corresponding to amino acids: LMVGSNAGIVGMTKEHLGLALALNVPVFVVVTKIDMCPANILQETLKLLQRLLKSPGCRKIPVLVQSKDDVIVTASNFSSERMCPIFQISNVTGENLDLLKMFLNLLSPRTSYREEEPAEFQIDDTYSVPGVGTVVSGTTL

Clonality

Polyclonal

Host

Rabbit

Isotype

IgG

Scientific Data Images for GTP-binding protein 1 Antibody - BSA Free

GTP-binding protein 1 Antibody - BSA Free Immunohistochemistry-Paraffin: GTP-binding protein 1 Antibody - BSA Free [NBP1-89746]

Immunohistochemistry-Paraffin: GTP-binding protein 1 Antibody - BSA Free [NBP1-89746]

Staining of human lung shows strong cytoplasmic positivity in macrophages.
GTP-binding protein 1 Antibody - BSA Free Immunohistochemistry-Paraffin: GTP-binding protein 1 Antibody - BSA Free [NBP1-89746]

Immunohistochemistry-Paraffin: GTP-binding protein 1 Antibody - BSA Free [NBP1-89746]

Staining of human lung shows strong cytoplasmic positivity in macrophages.
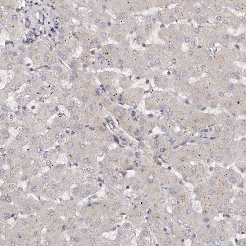
GTP-binding protein 1 Antibody - BSA Free Immunohistochemistry-Paraffin: GTP-binding protein 1 Antibody - BSA Free [NBP1-89746]

Immunohistochemistry-Paraffin: GTP-binding protein 1 Antibody - BSA Free [NBP1-89746]

Staining of human liver shows very weak positivity in hepatocytes.

Applications for GTP-binding protein 1 Antibody - BSA Free

Application
Recommended Usage

Immunohistochemistry

1:200 - 1:500

Immunohistochemistry-Paraffin

1:200 - 1:500
Application Notes
For IHC-Paraffin, HIER pH 6 retrieval is recommended.

Formulation, Preparation, and Storage

Purification

Affinity purified

Formulation

PBS (pH 7.2) and 40% Glycerol

Format

BSA Free

Preservative

0.02% Sodium Azide

Concentration

Concentrations vary lot to lot. See vial label for concentration. If unlisted please contact technical services.

Shipping

The product is shipped with polar packs. Upon receipt, store it immediately at the temperature recommended below.

Stability & Storage

Store at 4C short term. Aliquot and store at -20C long term. Avoid freeze-thaw cycles.

Background: GTP-binding protein 1

GTPBP1, also known as GTP-binding protein 1, is a 669 amino acid that is approx. 72 kDa, stimulates degradation of target mRNA species, binds GTP, is important for the regulation of circadian mRNA stability, and has GTPase activity. Studies on this protein have shown a relationship with the following disorders and diseases: lassa fever, fragile x syndrome, lymphocytic choriomeningitis, antiphospholipid syndrome, lupus erythematosus, adenoma, and interferon. This protein interacts with EXOSC2/RRP4, EXOSC3/RRP40, EXOSC5/RRP46, HNRNPD, HNRNPR, SYNCRIP, LRP1, SQSTM1, ABCF1, and MAP1LC3B in GTP catabolic process, positive regulation of mRNA catabolic process, signal transduction, and immune response pathways.

Alternate Names

GP1GTP-binding protein 1, GP-1MGC20069, G-protein 1, GTP binding protein 1, HSPC018

Gene Symbol

GTPBP1

Additional GTP-binding protein 1 Products

Product Documents for GTP-binding protein 1 Antibody - BSA Free

Certificate of Analysis

To download a Certificate of Analysis, please enter a lot number in the search box below.

Product Specific Notices for GTP-binding protein 1 Antibody - BSA Free

This product is for research use only and is not approved for use in humans or in clinical diagnosis. Primary Antibodies are guaranteed for 1 year from date of receipt.

Loading...
Loading...
Loading...
Loading...