Skip to main content

GRK2 Antibody (HL1562) - Azide and BSA Free

Novus Biologicals, part of Bio-Techne | Catalog # NBP3-25491

Recombinant Monoclonal Antibody
Novus Biologicals, part of Bio-Techne
Catalog #
Availability
Size / Price
Qty
Loading...
NBP3-25491

Key Product Details

Species Reactivity

Human, Mouse, Rat

Applications

Immunohistochemistry, Immunohistochemistry-Paraffin, Western Blot, Immunocytochemistry/ Immunofluorescence

Label

Unconjugated

Antibody Source

Recombinant Monoclonal Rabbit IgG Clone # HL1562 expressed in HEK293

Format

Azide and BSA Free

Concentration

Concentrations vary lot to lot. See vial label for concentration. If unlisted please contact technical services.

Product Specifications

Immunogen

Recombinant protein encompassing a sequence within the C-terminus region of human GRK2. The exact sequence is proprietary.

Clonality

Monoclonal

Host

Rabbit

Isotype

IgG

Scientific Data Images for GRK2 Antibody (HL1562) - Azide and BSA Free

GRK2 Antibody (HL1562) - Azide and BSA Free

Immunohistochemistry-Paraffin: GRK2 Antibody (HL1562) - Azide and BSA Free [NBP3-25491] -

Immunohistochemistry-Paraffin: GRK2 Antibody (HL1562) - Azide and BSA Free [NBP3-25491] - GRK2 antibody [HL1562] detects GRK2 protein at cell membrane by immunohistochemical analysis. Sample: Paraffin-embedded mouse lymph node. GRK2 stained by GRK2 antibody [HL1562] (NBP3-25491) diluted at 1:100. Antigen Retrieval: Citrate buffer, pH 6.0, 15 min
GRK2 Antibody (HL1562) - Azide and BSA Free

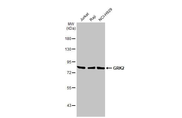
Western Blot: GRK2 Antibody (HL1562) - Azide and BSA Free [NBP3-25491] -

Western Blot: GRK2 Antibody (HL1562) - Azide and BSA Free [NBP3-25491] - Various whole cell extracts (30 ug) were separated by 7.5% SDS-PAGE, and the membrane was blotted with GRK2 antibody [HL1562] (NBP3-25491) diluted at 1:2000. The HRP-conjugated anti-rabbit IgG antibody was used to detect the primary antibody.
GRK2 Antibody (HL1562) - Azide and BSA Free

Western Blot: GRK2 Antibody (HL1562) - Azide and BSA Free [NBP3-25491] -

Western Blot: GRK2 Antibody (HL1562) - Azide and BSA Free [NBP3-25491] - Non-transfected (-) and transfected (+) 293T whole cell extracts (30 ug) were separated by 7.5% SDS-PAGE, and the membrane was blotted with GRK2 antibody [HL1562] (NBP3-25491) diluted at 1:10000. The HRP-conjugated anti-rabbit IgG antibody was used to detect the primary antibody.

Applications for GRK2 Antibody (HL1562) - Azide and BSA Free

Application
Recommended Usage

Western Blot

1:500-1:3000

Formulation, Preparation, and Storage

Purification

Protein A purified

Formulation

PBS

Format

Azide and BSA Free

Preservative

No Preservative

Concentration

Concentrations vary lot to lot. See vial label for concentration. If unlisted please contact technical services.

Shipping

The product is shipped with polar packs. Upon receipt, store it immediately at the temperature recommended below.

Stability & Storage

Store at 4C short term. Aliquot and store at -20C long term. Avoid freeze-thaw cycles.

Background: GRK2

Adrenergic Receptor beta Kinase 1 (ADRBK1), also known as GRK2, is a member of the G-protein receptor kinase family. A ubiquitous cytosolic enzyme, GRK-2 specifically phosphorylates the beta-2-adrenergic receptor and appears to mediate agonist-specific desensitization observed under high agonist concentrations. Defects in GRK2 coupling with G-protein receptors may lead to heart failure.

Long Name

G protein-coupled Receptor Kinase 2

Alternate Names

ADRBK1, BARK1, Beta-ARK1

Gene Symbol

GRK2

Additional GRK2 Products

Product Documents for GRK2 Antibody (HL1562) - Azide and BSA Free

Certificate of Analysis

To download a Certificate of Analysis, please enter a lot number in the search box below.

Product Specific Notices for GRK2 Antibody (HL1562) - Azide and BSA Free

This product is for research use only and is not approved for use in humans or in clinical diagnosis. Primary Antibodies are guaranteed for 1 year from date of receipt.

Loading...
Loading...
Loading...
Loading...