Skip to main content

GRHPR Antibody - BSA Free

Novus Biologicals, part of Bio-Techne | Catalog # NBP1-83359

Novus Biologicals, part of Bio-Techne
Catalog #
Availability
Size / Price
Qty
Loading...
NBP1-83359
NBP1-83359-25ul

Key Product Details

Species Reactivity

Human

Applications

Immunocytochemistry/ Immunofluorescence, Immunohistochemistry, Immunohistochemistry-Paraffin, Western Blot

Label

Unconjugated

Antibody Source

Polyclonal Rabbit IgG

Format

BSA Free

Concentration

Concentrations vary lot to lot. See vial label for concentration. If unlisted please contact technical services.

Product Specifications

Immunogen

This antibody was developed against Recombinant Protein corresponding to amino acids: GDVVNQDDLYQALASGKIAAAGLDVTSPEPLPTNHPLLTLKNCVILPHIGSATHRTRNTMSLLAANNLLAGLRGEPMPSELKL

Clonality

Polyclonal

Host

Rabbit

Isotype

IgG

Description

Novus Biologicals Rabbit GRHPR Antibody - BSA Free (NBP1-83359) is a polyclonal antibody validated for use in IHC, WB and ICC/IF. All Novus Biologicals antibodies are covered by our 100% guarantee.

Scientific Data Images for GRHPR Antibody - BSA Free

Immunocytochemistry/ Immunofluorescence: GRHPR Antibody [NBP1-83359]

Immunocytochemistry/ Immunofluorescence: GRHPR Antibody [NBP1-83359]

Immunocytochemistry/Immunofluorescence: GRHPR Antibody [NBP1-83359] - Staining of human cell line U-2 OS shows localization to cytosol. Antibody staining is shown in green.
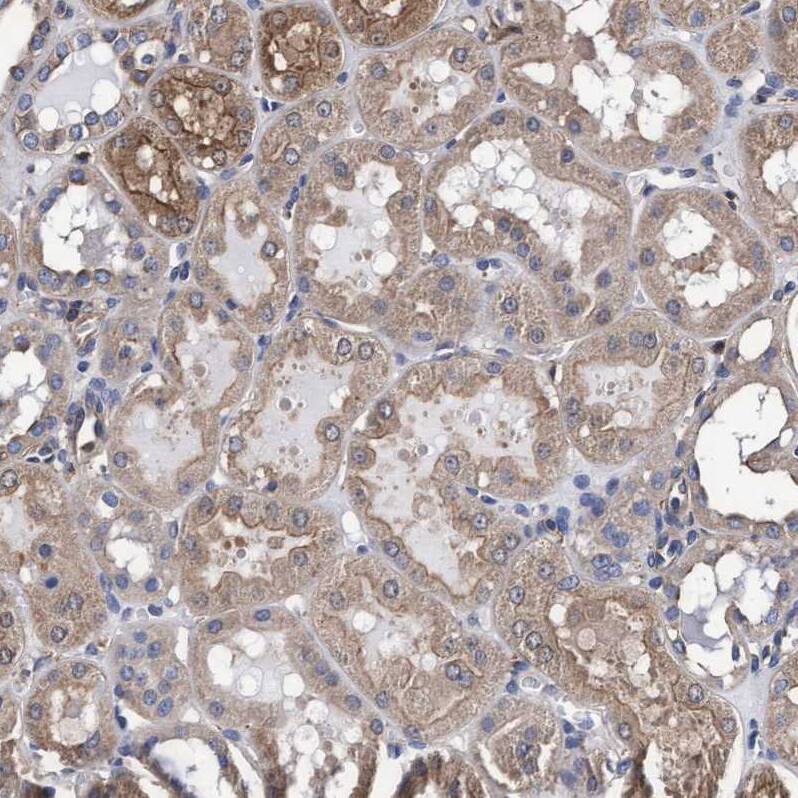
GRHPR Antibody - BSA Free Immunohistochemistry-Paraffin: GRHPR Antibody - BSA Free [NBP1-83359]

Immunohistochemistry-Paraffin: GRHPR Antibody - BSA Free [NBP1-83359]

Staining of human kidney shows weak granular cytoplasmic positivity in cells in tubules.
GRHPR Antibody - BSA Free Immunohistochemistry-Paraffin: GRHPR Antibody - BSA Free [NBP1-83359]

Immunohistochemistry-Paraffin: GRHPR Antibody - BSA Free [NBP1-83359]

Staining of human testis shows moderate cytoplasmic positivity in Leydig cells.

Applications for GRHPR Antibody - BSA Free

Application
Recommended Usage

Immunocytochemistry/ Immunofluorescence

0.25-2 ug/ml

Immunohistochemistry

1:1000 - 1:2500

Immunohistochemistry-Paraffin

1:1000 - 1:2500

Western Blot

0.04-0.4 ug/ml
Application Notes
For IHC-Paraffin, HIER pH 6 retrieval is recommended. ICC/IF Fixation Permeabilization: Use PFA/Triton X-100.

Formulation, Preparation, and Storage

Purification

Immunogen affinity purified

Formulation

PBS (pH 7.2) and 40% Glycerol

Format

BSA Free

Preservative

0.02% Sodium Azide

Concentration

Concentrations vary lot to lot. See vial label for concentration. If unlisted please contact technical services.

Shipping

The product is shipped with polar packs. Upon receipt, store it immediately at the temperature recommended below.

Stability & Storage

Store at 4C short term. Aliquot and store at -20C long term. Avoid freeze-thaw cycles.

Background: GRHPR

GRHPR encodes an enzyme with hydroxypyruvate reductase, glyoxylate reductase, and D-glycerate dehydrogenase enzymatic activities. The enzyme has widespread tissue expression and has a role in metabolism. Type II hyperoxaluria is caused by mutations in this gene.

Alternate Names

EC 1.1.1.81, GLXREC 1.1.1.79, glycerate-2-dehydrogenase, GLYD, glyoxylate reductase/hydroxypyruvate reductase, PH2

Gene Symbol

GRHPR

Additional GRHPR Products

Product Documents for GRHPR Antibody - BSA Free

Certificate of Analysis

To download a Certificate of Analysis, please enter a lot number in the search box below.

Product Specific Notices for GRHPR Antibody - BSA Free

This product is for research use only and is not approved for use in humans or in clinical diagnosis. Primary Antibodies are guaranteed for 1 year from date of receipt.

Loading...
Loading...
Loading...
Loading...