Skip to main content

GPT Antibody - BSA Free

Novus Biologicals, part of Bio-Techne | Catalog # NBP1-89110

Novus Biologicals, part of Bio-Techne
Catalog #
Availability
Size / Price
Qty
Loading...
NBP1-89110
NBP1-89110-25ul

Key Product Details

Validated by

Orthogonal Validation, Independent Antibodies

Species Reactivity

Human

Applications

Immunohistochemistry, Immunohistochemistry-Paraffin

Label

Unconjugated

Antibody Source

Polyclonal Rabbit IgG

Format

BSA Free

Concentration

Concentrations vary lot to lot. See vial label for concentration. If unlisted please contact technical services.

Product Specifications

Immunogen

This antibody was developed against Recombinant Protein corresponding to amino acids: FRGGYVEVVNMDAAVQQQMLKLMSVRLCPPVPGQALLDLVVSPPAPTDPSFAQFQAEKQAVLAE

Reactivity Notes

Immunogen displays the following percentage of sequence identity for non-tested species: Mouse (81%), Rat (83%)

Clonality

Polyclonal

Host

Rabbit

Isotype

IgG

Description

Novus Biologicals Rabbit GPT Antibody - BSA Free (NBP1-89110) is a polyclonal antibody validated for use in IHC. All Novus Biologicals antibodies are covered by our 100% guarantee.

Scientific Data Images for GPT Antibody - BSA Free

Immunohistochemistry-Paraffin: GPT Antibody [NBP1-89110]

Immunohistochemistry-Paraffin: GPT Antibody [NBP1-89110]

Immunohistochemistry-Paraffin: GPT Antibody [NBP1-89110] - Analysis in human liver and lymph node tissues using NBP1-89110 antibody. Corresponding GPT RNA-seq data are presented for the same tissues.
Immunohistochemistry-Paraffin: GPT Antibody [NBP1-89110]

Immunohistochemistry-Paraffin: GPT Antibody [NBP1-89110]

Immunohistochemistry-Paraffin: GPT Antibody [NBP1-89110] - Staining of human colon shows moderate cytoplasmic positivity in glandular cells.
Immunohistochemistry-Paraffin: GPT Antibody [NBP1-89110]

Immunohistochemistry-Paraffin: GPT Antibody [NBP1-89110]

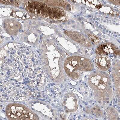
Immunohistochemistry-Paraffin: GPT Antibody [NBP1-89110] - Staining of human colon, kidney, liver and lymph node using Anti-GPT antibody NBP1-89110 (A) shows similar protein distribution across tissues to independent antibody NBP1-89111 (B).

Applications for GPT Antibody - BSA Free

Application
Recommended Usage

Immunohistochemistry

1:50 - 1:200

Immunohistochemistry-Paraffin

1:50 - 1:200
Application Notes
For IHC-Paraffin, HIER pH 6 retrieval is recommended.

Formulation, Preparation, and Storage

Purification

Immunogen affinity purified

Formulation

PBS (pH 7.2) and 40% Glycerol

Format

BSA Free

Preservative

0.02% Sodium Azide

Concentration

Concentrations vary lot to lot. See vial label for concentration. If unlisted please contact technical services.

Shipping

The product is shipped with polar packs. Upon receipt, store it immediately at the temperature recommended below.

Stability & Storage

Store at 4C short term. Aliquot and store at -20C long term. Avoid freeze-thaw cycles.

Background: GPT

GPT, also known as Alanine aminotransferase 1, is a 496 amino acid that is 55 kDa, cytoplasm located, most commonly found in liver, kidney, heart, and skeletal muscles; acts as a catalyzer of the reversible transamination between alanine and 2-oxoglutarate to compose pyruvate and glutamate, is involved in cellular nitrogen metabolism, and also in liver gluconeogenesis starting with precursors transported from skeletal muscles. Current research is being performed on several diseases and disorders including vitelliform macular dystrophy, liver disease, epidemic typhus, pyomyositis, kidney cortex necrosis, scrub typhus, hepatitis e, hepatitis c, iron overload hepatitis b, glucose intolerance, biliary atresia, alcohol abuse, cholangitis, cholecystitis, hellp syndrome, viral hepatitis, siderosis, choledocholithiasis, hepatitis a, kawasaki disease, wilson disease, and hepatic encephalopathy. This protein has shown to have interactions with CAPN1, CAPN3, HSPD1, THNSL2, GPT2, AND PSAT1 in pathways such as alanine, aspartate and glutamate metabolism, amino acid synthesis and interconversion (transamination), and metabolism of amino acids and derivatives.

Alternate Names

AAT1alanine aminotransferase 1, ALT1, ALT1EC 2.6.1.2, Glutamate pyruvate transaminase 1, glutamic-alanine transaminase 1, Glutamic--alanine transaminase 1, glutamic-pyruvate transaminase (alanine aminotransferase), Glutamic--pyruvic transaminase 1, GPT1GPT 1

Gene Symbol

GPT

Additional GPT Products

Product Documents for GPT Antibody - BSA Free

Certificate of Analysis

To download a Certificate of Analysis, please enter a lot number in the search box below.

Product Specific Notices for GPT Antibody - BSA Free

This product is for research use only and is not approved for use in humans or in clinical diagnosis. Primary Antibodies are guaranteed for 1 year from date of receipt.

Loading...
Loading...
Loading...
Loading...