Skip to main content

GPR109B/HM74 Antibody - BSA Free

Novus Biologicals, part of Bio-Techne | Catalog # NBP3-35830

Novus Biologicals, part of Bio-Techne
Catalog #
Availability
Size / Price
Qty
Loading...
NBP3-35830-100ul
NBP3-35830-20ul

Key Product Details

Species Reactivity

Human, Mouse, Rat

Applications

Immunohistochemistry, Immunohistochemistry-Paraffin, Western Blot, ELISA

Label

Unconjugated

Antibody Source

Polyclonal Rabbit IgG

Format

BSA Free

Concentration

Please see the vial label for concentration. If unlisted please contact technical services.

Product Specifications

Immunogen

A synthetic peptide corresponding to a sequence within amino acids 300-392 of human GPR109B/HM74 (NP_006009.2).

Sequence:
SFPNFFSTLINRCLQRKITGEPDNNRSTSVELTGDPNKTRGAPEALIANSGEPWSPSYLGPTSNNHSKKGHCHQEPASLEKQLGCCIE

Clonality

Polyclonal

Host

Rabbit

Isotype

IgG

Theoretical MW

44 kDa.
Disclaimer note: The observed molecular weight of the protein may vary from the listed predicted molecular weight due to post translational modifications, post translation cleavages, relative charges, and other experimental factors.

Description

Novus Biologicals Rabbit GPR109B/HM74 Antibody - BSA Free (NBP3-35830) is a polyclonal antibody validated for use in IHC, WB and ELISA. All Novus Biologicals antibodies are covered by our 100% guarantee.

Scientific Data Images for GPR109B/HM74 Antibody - BSA Free

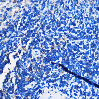
GPR109B/HM74 Antibody

Immunohistochemistry: GPR109B/HM74 Antibody [NBP3-35830] -

Immunohistochemistry: GPR109B/HM74 Antibody [NBP3-35830] - Immunohistochemistry analysis of paraffin-embedded Mouse spleen using GPR109B/HM74 Rabbit pAb at dilution of 1:100 (40x lens). Microwave antigen retrieval performed with 0.01M PBS Buffer (pH 7.2) prior to IHC staining.
GPR109B/HM74 Antibody

Immunohistochemistry: GPR109B/HM74 Antibody [NBP3-35830] -

Immunohistochemistry: GPR109B/HM74 Antibody [NBP3-35830] - Immunohistochemistry analysis of paraffin-embedded Rat spleen using GPR109B/HM74 Rabbit pAb at dilution of 1:100 (40x lens). Microwave antigen retrieval performed with 0.01M PBS Buffer (pH 7.2) prior to IHC staining.
GPR109B/HM74 Antibody

Western Blot: GPR109B/HM74 Antibody [NBP3-35830] -

Western Blot: GPR109B/HM74 Antibody [NBP3-35830] - Western blot analysis of lysates from Rat pancreas, using GPR109B/HM74 Rabbit pAb at 1:1000 dilution.
Secondary antibody: HRP-conjugated Goat anti-Rabbit IgG (H+L) at 1:10000 dilution.
Lysates/proteins: 25ug per lane.
Blocking buffer: 3% nonfat dry milk in TBST.
Detection: ECL Basic Kit.
Exposure time: 120s.

Applications for GPR109B/HM74 Antibody - BSA Free

Application
Recommended Usage

Immunohistochemistry-Paraffin

1:50 - 1:200

Western Blot

1:500 - 1:2000

Formulation, Preparation, and Storage

Purification

Affinity purified

Formulation

PBS (pH 7.3), 50% glycerol

Format

BSA Free

Preservative

0.01% Thimerosal

Concentration

Please see the vial label for concentration. If unlisted please contact technical services.

Shipping

The product is shipped with polar packs. Upon receipt, store it immediately at the temperature recommended below.

Stability & Storage

Store at -20C. Avoid freeze-thaw cycles.

Background: GPR109B/HM74

HM74 is a Nicotinic Acid GPCR. HM74 expression has been reported in adipose and spleen, as well as lymphocytes and monocytes. ESTs have been isolated from adipose, blood, liver, liver/spleen, placenta, prostate, and testis libraries.

Long Name

G Protein-coupled Receptor HM74 Protein-coupled Receptor 109B

Alternate Names

HCA3, HCAR3, HM74, NIACR2

Gene Symbol

HCAR3

Additional GPR109B/HM74 Products

Product Documents for GPR109B/HM74 Antibody - BSA Free

Certificate of Analysis

To download a Certificate of Analysis, please enter a lot number in the search box below.

Product Specific Notices for GPR109B/HM74 Antibody - BSA Free

This product is for research use only and is not approved for use in humans or in clinical diagnosis. Primary Antibodies are guaranteed for 1 year from date of receipt.

Loading...
Loading...
Loading...
Loading...