Skip to main content

Glutathione S Transferase kappa 1 Antibody - BSA Free

Novus Biologicals, part of Bio-Techne | Catalog # NBP1-89727

Novus Biologicals, part of Bio-Techne
Catalog #
Availability
Size / Price
Qty
Loading...
NBP1-89727
NBP1-89727-25ul

Key Product Details

Species Reactivity

Human

Applications

Immunohistochemistry, Immunohistochemistry-Paraffin

Label

Unconjugated

Antibody Source

Polyclonal Rabbit IgG

Format

BSA Free

Concentration

Concentrations vary lot to lot. See vial label for concentration. If unlisted please contact technical services.

Product Specifications

Immunogen

This antibody was developed against Recombinant Protein corresponding to amino acids: QAQGLLEKIATPKVKNQLKETTEAACRYGAFGLPITVAHVDGQTHMLFGSDRMELLAHLLGEKWMGPIPPAVN

Reactivity Notes

Reactivity reported in scientific literature (PMID: 23435261)

Clonality

Polyclonal

Host

Rabbit

Isotype

IgG

Description

Novus Biologicals Rabbit Glutathione S Transferase kappa 1 Antibody - BSA Free (NBP1-89727) is a polyclonal antibody validated for use in IHC. Anti-Glutathione S Transferase kappa 1 Antibody: Cited in 1 publication. All Novus Biologicals antibodies are covered by our 100% guarantee.

Scientific Data Images for Glutathione S Transferase kappa 1 Antibody - BSA Free

Immunohistochemistry-Paraffin: Glutathione S Transferase kappa 1 Antibody [NBP1-89727]

Immunohistochemistry-Paraffin: Glutathione S Transferase kappa 1 Antibody [NBP1-89727]

Immunohistochemistry-Paraffin: Glutathione S Transferase kappa 1 Antibody [NBP1-89727] - Analysis in human duodenum and pancreas tissues using NBP1-89727 antibody. Corresponding Glutathione S Transferase kappa 1 RNA-seq data are presented for the same tissues.
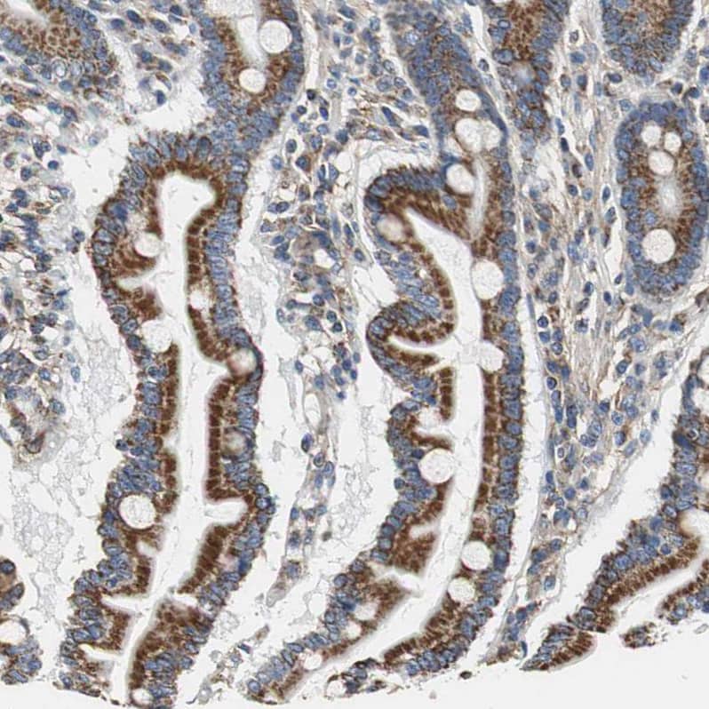
Glutathione S Transferase kappa 1 Antibody - BSA Free Immunohistochemistry-Paraffin: Glutathione S Transferase kappa 1 Antibody - BSA Free [NBP1-89727]

Immunohistochemistry-Paraffin: Glutathione S Transferase kappa 1 Antibody - BSA Free [NBP1-89727]

Staining of human duodenum shows strong granular cytoplasmic positivity in glandular cells.
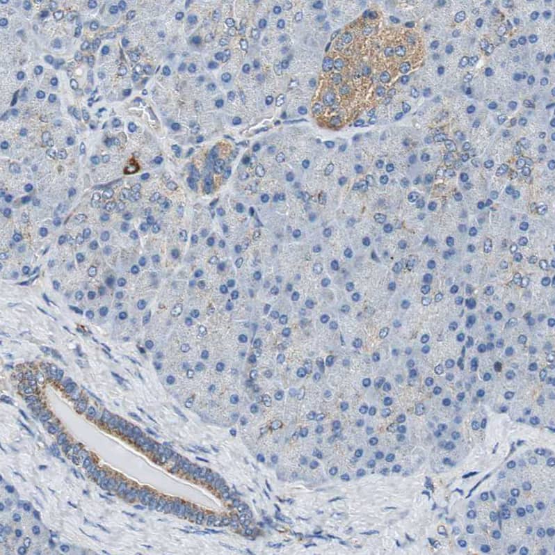
Glutathione S Transferase kappa 1 Antibody - BSA Free Immunohistochemistry-Paraffin: Glutathione S Transferase kappa 1 Antibody - BSA Free [NBP1-89727]

Immunohistochemistry-Paraffin: Glutathione S Transferase kappa 1 Antibody - BSA Free [NBP1-89727]

Staining of human pancreas shows weak granular cytoplasmic positivity in islets of Langerhans as ecxpected.

Applications for Glutathione S Transferase kappa 1 Antibody - BSA Free

Application
Recommended Usage

Immunohistochemistry

1:50 - 1:200

Immunohistochemistry-Paraffin

1:50 - 1:200
Application Notes
For IHC-Paraffin, HIER pH 6 retrieval is recommended.

Formulation, Preparation, and Storage

Purification

Affinity purified

Formulation

PBS (pH 7.2) and 40% Glycerol

Format

BSA Free

Preservative

0.02% Sodium Azide

Concentration

Concentrations vary lot to lot. See vial label for concentration. If unlisted please contact technical services.

Shipping

The product is shipped with polar packs. Upon receipt, store it immediately at the temperature recommended below.

Stability & Storage

Store at 4C short term. Aliquot and store at -20C long term. Avoid freeze-thaw cycles.

Background: Glutathione S Transferase kappa 1

Glutathione transferases (GSTs) are a superfamily of enzymes that play a vital functional role in the cellular detoxification process. They catalyze the conjugation of the thiol group of glutathione (GSH) to the electrophilic groups of a wide range of hydrophobic substrates, leading to an easier removal of the latter from the cells (1) The Kappa class of GSTs comprises soluble enzymes originally isolated from the mitochondrial matrix of rats. Gsk1 catalyses some typical GST reactions, it has been proposed that it is structurally distinct from other classes of cytosolic GSTs (2). Gsk1 has been identified in rat, mouse, and human. The C terminus of Gsk1 was essential for localization of the protein to peroxisomes, and the C-terminal sequence Ala-Arg-Leu represents a peroxisome targeting signal (3).

Alternate Names

EC 2.5.1.18, glutathione S-transferase k1, glutathione S-transferase kappa 1, Glutathione S-transferase subunit 13, glutathione S-transferase subunit 13 homolog, GST, GST 13-13, GST class-kappa, GST13, GST13-13, GSTK1-1, hGSTK1

Gene Symbol

GSTK1

Additional Glutathione S Transferase kappa 1 Products

Product Documents for Glutathione S Transferase kappa 1 Antibody - BSA Free

Certificate of Analysis

To download a Certificate of Analysis, please enter a lot number in the search box below.

Product Specific Notices for Glutathione S Transferase kappa 1 Antibody - BSA Free

This product is for research use only and is not approved for use in humans or in clinical diagnosis. Primary Antibodies are guaranteed for 1 year from date of receipt.

Loading...
Loading...
Loading...
Loading...
Loading...