Glutathione S Transferase kappa 1 Antibody - BSA Free
Novus Biologicals, part of Bio-Techne | Catalog # NBP1-89726
Key Product Details
Species Reactivity
Human
Applications
Immunohistochemistry, Immunohistochemistry-Paraffin, Immunocytochemistry/ Immunofluorescence
Label
Unconjugated
Antibody Source
Polyclonal Rabbit IgG
Format
BSA Free
Concentration
Concentrations vary lot to lot. See vial label for concentration. If unlisted please contact technical services.
Product Specifications
Immunogen
This antibody was developed against Recombinant Protein corresponding to amino acids: PYSWLGFEILCRYQNIWNINLQLRPSLITGIMKDSGNKPPGLLPRKGLYMANDLKLLRHHLQIPIHFPKDFLSVMLEKGSLSAMRFLTAVNLEHPEMLEKASRELWMRVWSRNE
Clonality
Polyclonal
Host
Rabbit
Isotype
IgG
Theoretical MW
25 kDa.
Disclaimer note: The observed molecular weight of the protein may vary from the listed predicted molecular weight due to post translational modifications, post translation cleavages, relative charges, and other experimental factors.
Disclaimer note: The observed molecular weight of the protein may vary from the listed predicted molecular weight due to post translational modifications, post translation cleavages, relative charges, and other experimental factors.
Description
Novus Biologicals Rabbit Glutathione S Transferase kappa 1 Antibody - BSA Free (NBP1-89726) is a polyclonal antibody validated for use in IHC and ICC/IF. All Novus Biologicals antibodies are covered by our 100% guarantee.
Scientific Data Images for Glutathione S Transferase kappa 1 Antibody - BSA Free
Immunocytochemistry/ Immunofluorescence: Glutathione S Transferase kappa 1 Antibody [NBP1-89726]
Immunocytochemistry/Immunofluorescence: Glutathione S Transferase kappa 1 Antibody [NBP1-89726] - Staining of human cell line A-431 shows localization to peroxisomes.Immunohistochemistry-Paraffin: Glutathione S Transferase kappa 1 Antibody - BSA Free [NBP1-89726]
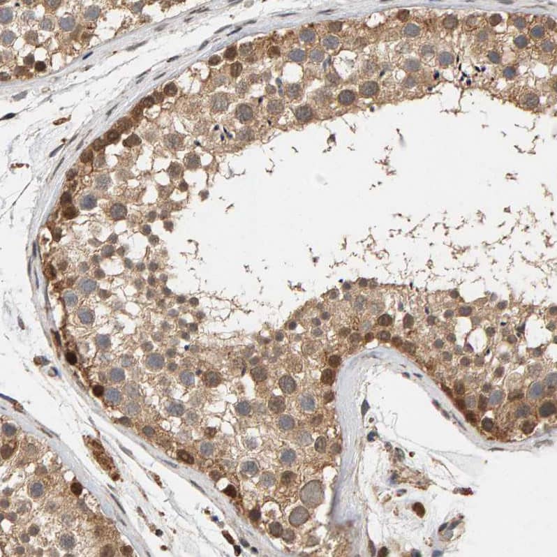
Staining of human testis shows moderate granular cytoplasmic positivity in cells in seminiferous ducts.Immunohistochemistry-Paraffin: Glutathione S Transferase kappa 1 Antibody - BSA Free [NBP1-89726]
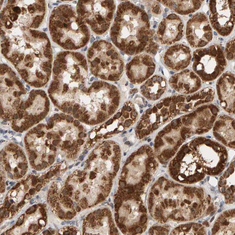
Staining of human kidney shows strong granular cytoplasmic positivity in cells in tubules.Applications for Glutathione S Transferase kappa 1 Antibody - BSA Free
Application
Recommended Usage
Immunocytochemistry/ Immunofluorescence
0.25-2 ug/ml
Immunohistochemistry
1:20 - 1:50
Immunohistochemistry-Paraffin
1:20 - 1:50
Application Notes
For IHC-Paraffin, HIER pH 6 retrieval is recommended. ICC/IF, Fixation Permeabilization: Use PFA/Triton X-100.
Formulation, Preparation, and Storage
Purification
Affinity purified
Formulation
PBS (pH 7.2) and 40% Glycerol
Format
BSA Free
Preservative
0.02% Sodium Azide
Concentration
Concentrations vary lot to lot. See vial label for concentration. If unlisted please contact technical services.
Shipping
The product is shipped with polar packs. Upon receipt, store it immediately at the temperature recommended below.
Stability & Storage
Store at 4C short term. Aliquot and store at -20C long term. Avoid freeze-thaw cycles.
Background: Glutathione S Transferase kappa 1
Alternate Names
EC 2.5.1.18, glutathione S-transferase k1, glutathione S-transferase kappa 1, Glutathione S-transferase subunit 13, glutathione S-transferase subunit 13 homolog, GST, GST 13-13, GST class-kappa, GST13, GST13-13, GSTK1-1, hGSTK1
Entrez Gene IDs
373156 (Human)
Gene Symbol
GSTK1
UniProt
Additional Glutathione S Transferase kappa 1 Products
Product Documents for Glutathione S Transferase kappa 1 Antibody - BSA Free
Product Specific Notices for Glutathione S Transferase kappa 1 Antibody - BSA Free
This product is for research use only and is not approved for use in humans or in clinical diagnosis. Primary Antibodies are guaranteed for 1 year from date of receipt.
Loading...
Loading...
Loading...
Loading...