Skip to main content

Glutathione Peroxidase 1/GPX1 Antibody (A6-C0-B9-R)

Novus Biologicals, part of Bio-Techne | Catalog # NBP3-32388

Recombinant Monoclonal Antibody
Novus Biologicals, part of Bio-Techne
Catalog #
Availability
Size / Price
Qty
Loading...
NBP3-32388

Key Product Details

Species Reactivity

Human

Applications

Flow Cytometry, Immunocytochemistry/ Immunofluorescence, Immunohistochemistry, Immunohistochemistry-Paraffin, Western Blot

Label

Unconjugated

Antibody Source

Recombinant Monoclonal Mouse IgG1 Clone # A6-C0-B9-R expressed in HEK293

Concentration

1 mg/ml

Product Specifications

Immunogen

Recombinant protein within Human Glutathione Peroxidase 1 aa 20-203 / 203. (Uniprot: P07203)

Localization

Cytoplasm.

Clonality

Monoclonal

Host

Mouse

Isotype

IgG1

Theoretical MW

22 kDa.
Disclaimer note: The observed molecular weight of the protein may vary from the listed predicted molecular weight due to post translational modifications, post translation cleavages, relative charges, and other experimental factors.

Description

Novus Biologicals Mouse Glutathione Peroxidase 1/GPX1 Antibody (A6-C0-B9-R) (NBP3-32388) is a recombinant monoclonal antibody validated for use in IHC, WB, Flow and ICC/IF. All Novus Biologicals antibodies are covered by our 100% guarantee.

Scientific Data Images for Glutathione Peroxidase 1/GPX1 Antibody (A6-C0-B9-R)

Glutathione Peroxidase 1/GPX1 Antibody (A6-C0-B9-R)

Western Blot: Glutathione Peroxidase 1/GPX1 Antibody (A6-C0-B9-R) [NBP3-32388]

Western Blot: Glutathione Peroxidase 1/GPX1 Antibody (A6-C0-B9-R) [NBP3-32388] - Western blot analysis of Glutathione Peroxidase 1/GPX1 on different lysates with Mouse anti-Glutathione Peroxidase 1/GPX1 antibody (NBP3-32388) at 1/1,000 dilution.

Lane 1: THP-1 cell lysate (20 ug/Lane)
Lane 2: HEK-293 cell lysate (20 ug/Lane)
Lane 3: HepG2 cell lysate (20 ug/Lane)
Lane 4: HT-29 cell lysate (20 ug/Lane)
Lane 5: Human liver tissue lysate (40 ug/Lane)
Lane 6: Human kidney tissue lysate (40 ug/Lane)

Predicted band size: 22 kDa
Observed band size: 22 kDa

Exposure time: 3 minutes;

4-20% SDS-PAGE gel.

Proteins were transferred to a PVDF membrane and blocked with 5% NFDM/TBST for 1 hour at room temperature. The primary antibody (NBP3-32388) at 1/1,000 dilution was used in 5% NFDM/TBST at 4 overnight. Goat Anti-Mouse IgG - HRP Secondary Antibody at 1/50,000 dilution was used for 1 hour at room temperature.
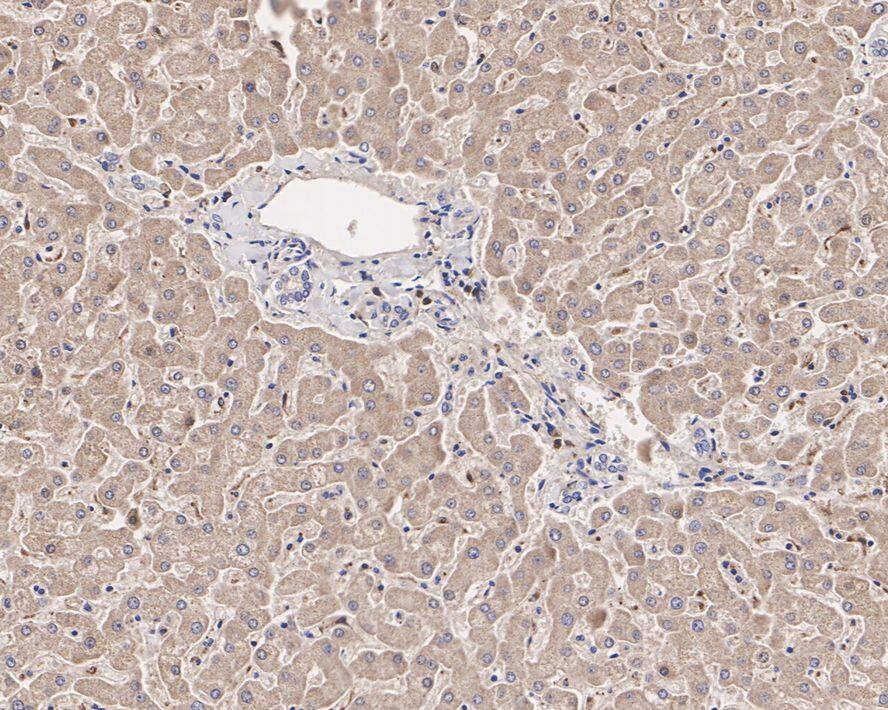
Glutathione Peroxidase 1/GPX1 Antibody (A6-C0-B9-R)

Immunohistochemistry: Glutathione Peroxidase 1/GPX1 Antibody (A6-C0-B9-R) [NBP3-32388]

Immunohistochemistry: Glutathione Peroxidase 1/GPX1 Antibody (A6-C0-B9-R) [NBP3-32388] - Immunohistochemical analysis of paraffin-embedded human liver tissue with Mouse anti-Glutathione Peroxidase 1/GPX1 antibody (NBP3-32388) at 1/200 dilution.

The section was pre-treated using heat mediated antigen retrieval with Tris-EDTA buffer (pH 9.0) for 20 minutes. The tissues were blocked in 1% BSA for 20 minutes at room temperature, washed with ddH2O and PBS, and then probed with the primary antibody (NBP3-32388) at 1/200 dilution for 1 hour at room temperature. The detection was performed using an HRP conjugated compact polymer system. DAB was used as the chromogen. Tissues were counterstained with hematoxylin and mounted with DPX.
Glutathione Peroxidase 1/GPX1 Antibody (A6-C0-B9-R)

Immunocytochemistry/ Immunofluorescence: Glutathione Peroxidase 1/GPX1 Antibody (A6-C0-B9-R) [NBP3-32388]

Immunocytochemistry/ Immunofluorescence: Glutathione Peroxidase 1/GPX1 Antibody (A6-C0-B9-R) [NBP3-32388] - Immunocytochemistry analysis of THP-1 cells labeling Glutathione Peroxidase 1/GPX1 with Mouse anti-Glutathione Peroxidase 1/GPX1 antibody (NBP3-32388) at 1/100 dilution.

Cells were fixed in 80% precooled methanol for 5 minutes at room temperature, then blocked with 1% BSA in 10% negative goat serum for 1 hour at room temperature. Cells were then incubated with Mouse anti-Glutathione Peroxidase 1/GPX1 antibody (NBP3-32388) at 1/100 dilution in 1% BSA in PBST overnight at 4 ℃. Goat Anti-Mouse IgG H&L (iFluor™ 488) was used as the secondary antibody at 1/1,000 dilution. PBS instead of the primary antibody was used as the secondary antibody only control. Nuclear DNA was labelled in blue with DAPI.

beta Tubulin (red) was stained at 1/100 dilution overnight at +4℃. Goat Anti-Rabbit IgG H&L (iFluor™ 594) were used as the secondary antibody at 1/1,000 dilution.

Applications for Glutathione Peroxidase 1/GPX1 Antibody (A6-C0-B9-R)

Application
Recommended Usage

Flow Cytometry

1:1000

Immunocytochemistry/ Immunofluorescence

1:100

Immunohistochemistry-Paraffin

1:200

Western Blot

1:1000

Formulation, Preparation, and Storage

Purification

Protein A purified

Formulation

PBS (pH7.4), 0.1% BSA and 40% Glycerol

Preservative

0.05% Sodium Azide

Concentration

1 mg/ml

Shipping

The product is shipped with polar packs. Upon receipt, store it immediately at the temperature recommended below.

Stability & Storage

Store at 4C short term. Aliquot and store at -20C long term. Avoid freeze-thaw cycles.

Background: Glutathione Peroxidase 1/GPX1

FUNCTION: Protects the hemoglobin in erythrocytes from oxidative breakdown. CATALYTIC ACTIVITY: 2 glutathione + H2O2 = glutathione disulfide + 2 H2O. SUBUNIT: Homotetramer. SUBCELLULAR LOCATION: Cytoplasm. SIMILARITY: Belongs to the glutathione peroxidase family.

Alternate Names

CGPx, GPX1, GSHPX1

Gene Symbol

GPX1

Additional Glutathione Peroxidase 1/GPX1 Products

Product Documents for Glutathione Peroxidase 1/GPX1 Antibody (A6-C0-B9-R)

Certificate of Analysis

To download a Certificate of Analysis, please enter a lot number in the search box below.

Product Specific Notices for Glutathione Peroxidase 1/GPX1 Antibody (A6-C0-B9-R)

This product is for research use only and is not approved for use in humans or in clinical diagnosis. Primary Antibodies are guaranteed for 1 year from date of receipt.

Loading...
Loading...
Loading...
Loading...
Loading...