Skip to main content

Glut5 Antibody - BSA Free

Novus Biologicals, part of Bio-Techne | Catalog # NBP1-89761

Novus Biologicals, part of Bio-Techne
Catalog #
Availability
Size / Price
Qty
Loading...
NBP1-89761
NBP1-89761-25ul

Key Product Details

Validated by

Orthogonal Validation

Species Reactivity

Human

Applications

Immunohistochemistry, Immunohistochemistry-Paraffin, Western Blot

Label

Unconjugated

Antibody Source

Polyclonal Rabbit IgG

Format

BSA Free

Concentration

Concentrations vary lot to lot. See vial label for concentration. If unlisted please contact technical services.

Product Specifications

Immunogen

This antibody was developed against Recombinant Protein corresponding to amino acids: KALQTLRGWDSVDREVAEIRQEDEAEKAAGFISVLKLFRMRSLRWQ

Reactivity Notes

Immunogen displays the following percentage of sequence identity for non-tested species: Rat (83%)

Clonality

Polyclonal

Host

Rabbit

Isotype

IgG

Description

Novus Biologicals Rabbit Glut5 Antibody - BSA Free (NBP1-89761) is a polyclonal antibody validated for use in IHC and WB. All Novus Biologicals antibodies are covered by our 100% guarantee.

Scientific Data Images for Glut5 Antibody - BSA Free

Glut5 Antibody - BSA Free Immunohistochemistry-Paraffin: Glut5 Antibody - BSA Free [NBP1-89761]

Immunohistochemistry-Paraffin: Glut5 Antibody - BSA Free [NBP1-89761]

Analysis in human testis and pancreas tissues using NBP1-89761 antibody. Corresponding SLC2A5 RNA-seq data are presented for the same tissues.
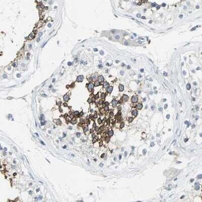
Immunohistochemistry-Paraffin: Glut5 Antibody [NBP1-89761]

Immunohistochemistry-Paraffin: Glut5 Antibody [NBP1-89761]

Immunohistochemistry-Paraffin: Glut5 Antibody [NBP1-89761] - Staining of human pancreas shows no positivity in exocrine glandular cells as expected.
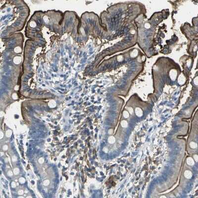
Immunohistochemistry-Paraffin: Glut5 Antibody [NBP1-89761]

Immunohistochemistry-Paraffin: Glut5 Antibody [NBP1-89761]

Immunohistochemistry-Paraffin: Glut5 Antibody [NBP1-89761] - Staining of human duodenum shows strong positivity in apical membrane in glandular cells.

Applications for Glut5 Antibody - BSA Free

Application
Recommended Usage

Immunohistochemistry

1:200 - 1:500

Immunohistochemistry-Paraffin

1:200 - 1:500

Western Blot

0.04-0.4 ug/ml
Application Notes
For IHC-Paraffin, HIER pH 6 retrieval is recommended.

Formulation, Preparation, and Storage

Purification

Immunogen affinity purified

Formulation

PBS (pH 7.2) and 40% Glycerol

Format

BSA Free

Preservative

0.02% Sodium Azide

Concentration

Concentrations vary lot to lot. See vial label for concentration. If unlisted please contact technical services.

Shipping

The product is shipped with polar packs. Upon receipt, store it immediately at the temperature recommended below.

Stability & Storage

Store at 4C short term. Aliquot and store at -20C long term. Avoid freeze-thaw cycles.

Background: Glut5

Facilitative simple sugar uptake by mammalian cells is mediated by a family of glucose transporters. Gluts are predicted to contain 12 transmembrane domains with both amino- and carboxyl-termini located within the cytosol. The individual Gluts differ in their tissue distribution, substrate specificity, kinetic properties, and intracellular localization. These functional differences allow members of the Glut family to finely regulate whole-body glucose homeostasis.

Long Name

Glucose Transporter Type 5

Alternate Names

SLC2A5

Gene Symbol

SLC2A5

Additional Glut5 Products

Product Documents for Glut5 Antibody - BSA Free

Certificate of Analysis

To download a Certificate of Analysis, please enter a lot number in the search box below.

Product Specific Notices for Glut5 Antibody - BSA Free

This product is for research use only and is not approved for use in humans or in clinical diagnosis. Primary Antibodies are guaranteed for 1 year from date of receipt.

Loading...
Loading...
Loading...
Loading...