Skip to main content

GluR5/GRIK1 Antibody - BSA Free

Novus Biologicals, part of Bio-Techne | Catalog # NBP1-76850

Novus Biologicals, part of Bio-Techne

Key Product Details

Species Reactivity

Human, Mouse, Rat

Applications

Immunohistochemistry, Immunohistochemistry-Paraffin, Western Blot, ELISA, Immunocytochemistry/ Immunofluorescence

Label

Unconjugated

Antibody Source

Polyclonal Rabbit IgG

Format

BSA Free

Concentration

1 mg/ml

Product Specifications

Immunogen

Antibody was raised against a 16 amino acid synthetic peptide near the center of the human Grik1. The immunogen is located within amino acids 380 - 430 of Grik1. Amino Acid Squence: EGTEKAAGEVSKHLYK

Clonality

Polyclonal

Host

Rabbit

Isotype

IgG

Description

Novus Biologicals Rabbit GluR5/GRIK1 Antibody - BSA Free (NBP1-76850) is a polyclonal antibody validated for use in IHC, WB, ELISA and ICC/IF. All Novus Biologicals antibodies are covered by our 100% guarantee.

Scientific Data Images for GluR5/GRIK1 Antibody - BSA Free

Western Blot: GluR5/GRIK1 AntibodyBSA Free [NBP1-76850]

Western Blot: GluR5/GRIK1 AntibodyBSA Free [NBP1-76850]

Western Blot: GluR5/GRIK1 Antibody [NBP1-76850] - Rt brain tissue lysate with Glutamate receptor 5 antibody at (A) 0.5 and (B) 1 ug/ml.
GluR5/GRIK1 Antibody - BSA Free

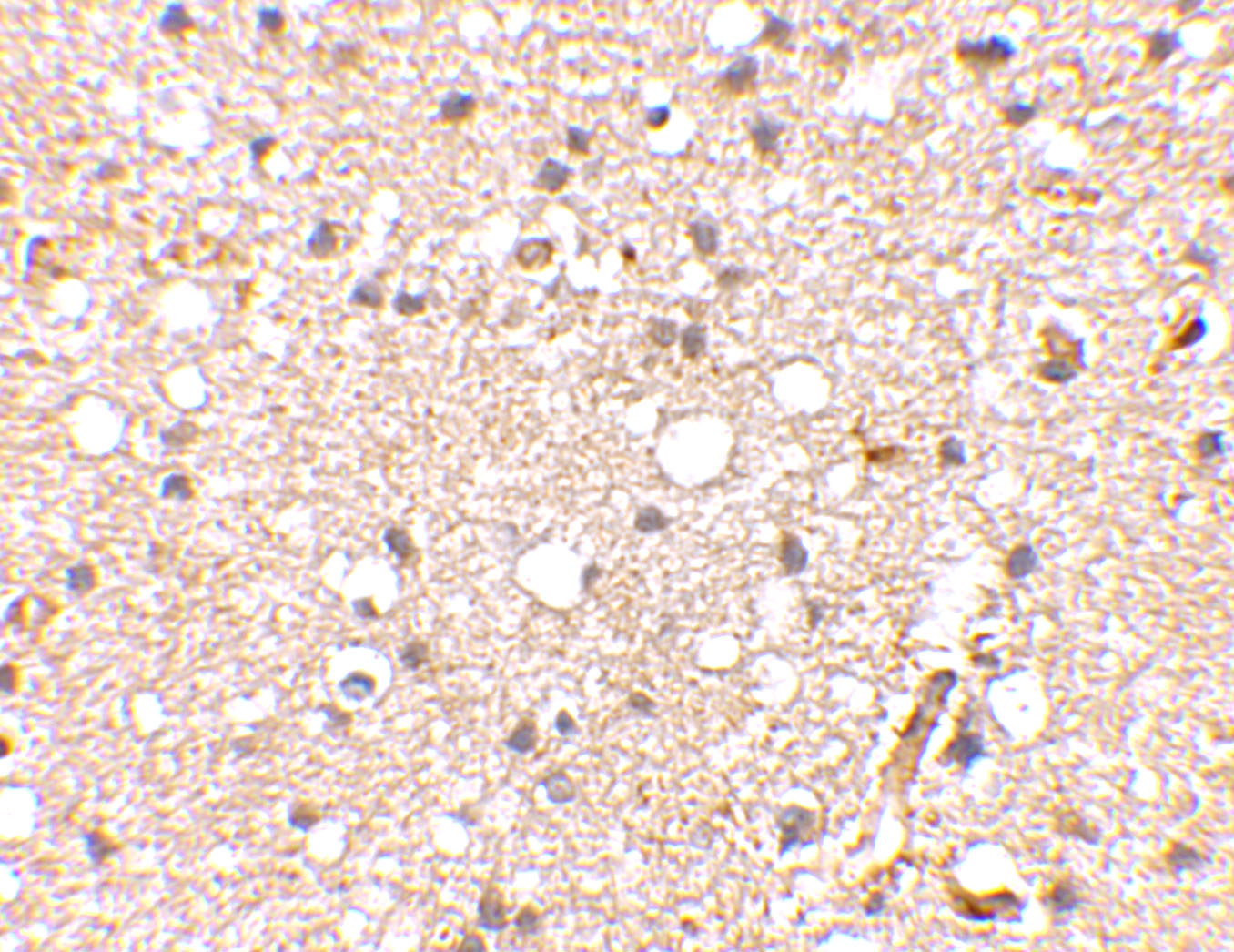
Immunohistochemistry: GluR5/GRIK1 Antibody - BSA Free [NBP1-76850] -

Immunohistochemistry: GluR5/GRIK1 Antibody - BSA Free [NBP1-76850] - Immunohistochemical staining of human brain tissue using GluR5/GRIK1 antibody at 2.5 ug/mL.
GluR5/GRIK1 Antibody - BSA Free

Immunocytochemistry/ Immunofluorescence: GluR5/GRIK1 Antibody - BSA Free [NBP1-76850] -

Immunocytochemistry/ Immunofluorescence: GluR5/GRIK1 Antibody - BSA Free [NBP1-76850] - Immunofluorescence of GluR5/GRIK1 in Human Brain cells with GluR5/GRIK1 antibody at 20 ug/mL.

Applications for GluR5/GRIK1 Antibody - BSA Free

Application
Recommended Usage

ELISA

1:100-1:2000

Immunocytochemistry/ Immunofluorescence

20 ug/ml

Immunohistochemistry

2.5 ug/ml

Immunohistochemistry-Paraffin

2.5 ug/ml

Western Blot

0.5-1 ug/ml

Formulation, Preparation, and Storage

Purification

Peptide affinity purified

Formulation

PBS

Format

BSA Free

Preservative

0.02% Sodium Azide

Concentration

1 mg/ml

Shipping

The product is shipped with polar packs. Upon receipt, store it immediately at the temperature recommended below.

Stability & Storage

Store at 4C short term. Aliquot and store at -20C long term. Avoid freeze-thaw cycles.

Background: GluR5/GRIK1

Glutamate receptors are the predominant excitatory neurotransmitter receptors in the mammalian brain and are activated in a variety of normal neurophysiologic processes. Grik1, also known as glutamate receptor 5, belongs to the kainate family of glutamate receptors, which are composed of four subunits and function as ligand-activated ion channels. Grik1 is expressed in GABAergic interneurons of the hippocampus and are thought to participate in the formation of various subtypes of kainate receptors with Grik2 and KA2. Stimulation of Grik1 leads to intracellular calcium release and activation of protein kinase C. Excessive activation has been associated with psychiatric, neurological and neurodegenerative diseases. Numerous isoforms of Grik1 are known to exist and may be subject to RNA editing within the second transmembrane domain, which is thought to alter the properties of ion flow.

Long Name

Glutamate Receptor 5

Alternate Names

EAA3, EEA3, GluK1, GRIK1

Gene Symbol

GRIK1

UniProt

Additional GluR5/GRIK1 Products

Product Documents for GluR5/GRIK1 Antibody - BSA Free

Certificate of Analysis

To download a Certificate of Analysis, please enter a lot number in the search box below.

Product Specific Notices for GluR5/GRIK1 Antibody - BSA Free

This product is for research use only and is not approved for use in humans or in clinical diagnosis. Primary Antibodies are guaranteed for 1 year from date of receipt.

Loading...
Loading...
Loading...
Loading...