Skip to main content

GluR1 [p Ser845] Antibody (RM296)

Novus Biologicals, part of Bio-Techne | Catalog # NBP2-61472

Recombinant Monoclonal Antibody.
Novus Biologicals, part of Bio-Techne
Catalog #
Availability
Size / Price
Qty
Loading...
NBP2-61472

Key Product Details

Validated by

Biological Validation

Species Reactivity

Human

Applications

Immunohistochemistry, Immunohistochemistry-Paraffin, Western Blot

Label

Unconjugated

Antibody Source

Recombinant Monoclonal Rabbit IgG Clone # RM296 expressed in HEK293

Concentration

Please see the vial label for concentration. If unlisted please contact technical services.

Product Specifications

Immunogen

A phospho-peptide corresponding to Human GluR1 [p Ser845]

Reactivity Notes

This antibody may also react to mouse or rat phospho-GluR1 [Ser845] as predicted by immunogen homology.

Modification

p Ser845

Specificity

This antibody reacts to GluR1 only when phosphorylated at Ser845. There is no cross-reactivity to GluR1 that is not phosphorylated at Ser845.

Clonality

Monoclonal

Host

Rabbit

Isotype

IgG

Description

Novus Biologicals Rabbit GluR1 [p Ser845] Antibody (RM296) (NBP2-61472) is a recombinant monoclonal antibody validated for use in IHC and WB. Anti-GluR1 Antibody: Cited in 1 publication. All Novus Biologicals antibodies are covered by our 100% guarantee.

Scientific Data Images for GluR1 [p Ser845] Antibody (RM296)

Western Blot: GluR1 [p Ser845] Antibody (RM296) [NBP2-61472] -

Western Blot: GluR1 [p Ser845] Antibody (RM296) [NBP2-61472] - Western Blot of mouse brain tissue lysate, non-treated (-) or dephosphorylated (+) with Lambda Protein Phosphatase (lPP), using NBP2-61472 at a 1:200 dilution.
GluR1 [p Ser845] Antibody (RM296)

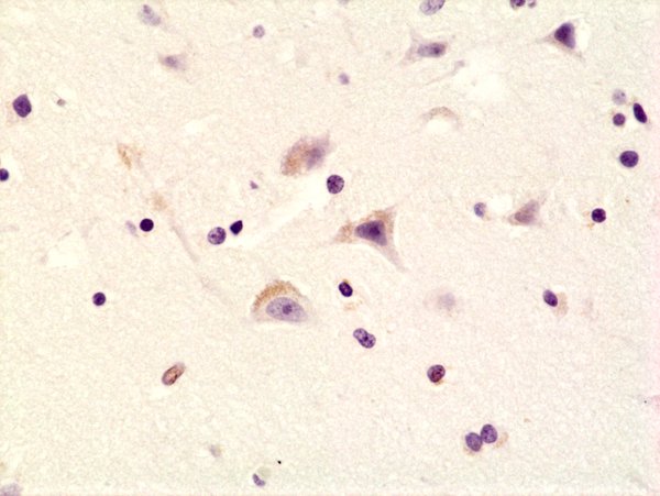
Immunohistochemistry-Paraffin: GluR1 [p Ser845] Antibody (RM296) [NBP2-61472] -

Immunohistochemistry-Paraffin: GluR1 [p Ser845] Antibody (RM296) [NBP2-61472] - Immunohistochemical staining of formalin fixed and paraffin embedded human brain tissue section using NBP2-61472 at a 1:200 dilution.

Applications for GluR1 [p Ser845] Antibody (RM296)

Application
Recommended Usage

Immunohistochemistry

1:500 - 1:1000

Western Blot

1:1000-1:2000

Formulation, Preparation, and Storage

Purification

Protein A purified

Formulation

50% Glycerol/PBS, 1% BSA

Preservative

0.09% Sodium Azide

Concentration

Please see the vial label for concentration. If unlisted please contact technical services.

Shipping

The product is shipped with polar packs. Upon receipt, store it immediately at the temperature recommended below.

Stability & Storage

Store at -20C. Avoid freeze-thaw cycles.

Background: GluR1

Glutamate Receptor 1 belongs to a family of alpha-amino-3-hydroxy-5-methyl-4-isoxazole propionate (AMPA) receptors. Alternatively spliced transcript variants encoding different isoforms have been found for Glutamate Receptor 1. Glutamate receptors are the predominant excitatory neurotransmitter receptors in the mammalian brain and are activated in a variety of normal neurophysiologic processes. These receptors are heteromeric protein complexes with multiple subunits, each possessing transmembrane regions, and all arranged to form a ligand-gated ion channel. The classification of glutamate receptors is based on their activation by different pharmacologic agonists.

Long Name

Glutamate Receptor 1

Alternate Names

GluA1, GLURA, GRIA1

Gene Symbol

GRIA1

Additional GluR1 Products

Product Documents for GluR1 [p Ser845] Antibody (RM296)

Certificate of Analysis

To download a Certificate of Analysis, please enter a lot number in the search box below.

Product Specific Notices for GluR1 [p Ser845] Antibody (RM296)

This product is for research use only and is not approved for use in humans or in clinical diagnosis. Primary Antibodies are guaranteed for 1 year from date of receipt.

Loading...
Loading...
Loading...
Loading...