Skip to main content

Glucagon Antibody - BSA Free

Novus Biologicals, part of Bio-Techne | Catalog # NBP2-38330

Novus Biologicals, part of Bio-Techne
Catalog #
Availability
Size / Price
Qty
Loading...
NBP2-38330
NBP2-38330-25ul

Key Product Details

Validated by

Orthogonal Validation, Independent Antibodies

Species Reactivity

Validated:

Human

Predicted:

Mouse (96%), Rat (97%). Backed by our 100% Guarantee.

Applications

Immunohistochemistry, Immunohistochemistry-Paraffin

Label

Unconjugated

Antibody Source

Polyclonal Rabbit IgG

Format

BSA Free

Concentration

Concentrations vary lot to lot. See vial label for concentration. If unlisted please contact technical services.

Product Specifications

Immunogen

This antibody was developed against a recombinant protein corresponding to amino acids: ERHAEGTFTSDVSSYLEGQAAKEFIAWLVKGRGRRDFPEEVAIVEELGRRHADGSFSDEMNTILDNLAARDFINWLIQ

Clonality

Polyclonal

Host

Rabbit

Isotype

IgG

Scientific Data Images for Glucagon Antibody - BSA Free

Immunohistochemistry-Paraffin: Glucagon Antibody [NBP2-38330]

Immunohistochemistry-Paraffin: Glucagon Antibody [NBP2-38330]

Immunohistochemistry-Paraffin: Glucagon Antibody [NBP2-38330] - Analysis in human pancreas and skeletal muscle tissues. Corresponding GCG RNA-seq data are presented for the same tissues.
Immunohistochemistry-Paraffin: Glucagon Antibody [NBP2-38330]

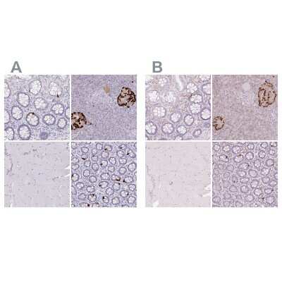
Immunohistochemistry-Paraffin: Glucagon Antibody [NBP2-38330]

Immunohistochemistry-Paraffin: Glucagon Antibody [NBP2-38330] - Staining of human colon, pancreas, skeletal muscle and small intestine using Anti-GCG antibody NBP2-38330 (A) shows similar protein distribution across tissues to independent antibody NBP2-38329 (B).
Immunohistochemistry-Paraffin: Glucagon Antibody [NBP2-38330]

Immunohistochemistry-Paraffin: Glucagon Antibody [NBP2-38330]

Immunohistochemistry-Paraffin: Glucagon Antibody [NBP2-38330] - Staining of human pancreas shows strong cytoplasmic positivity in endocrine glandular cells.

Applications for Glucagon Antibody - BSA Free

Application
Recommended Usage

Immunohistochemistry

1:1000 - 1:2500

Immunohistochemistry-Paraffin

1:1000 - 1:2500
Application Notes
For IHC-Paraffin, HIER pH 6 retrieval is recommended.

Formulation, Preparation, and Storage

Purification

Affinity purified

Formulation

PBS (pH 7.2) and 40% Glycerol

Format

BSA Free

Preservative

0.02% Sodium Azide

Concentration

Concentrations vary lot to lot. See vial label for concentration. If unlisted please contact technical services.

Shipping

The product is shipped with polar packs. Upon receipt, store it immediately at the temperature recommended below.

Stability & Storage

Store at 4C short term. Aliquot and store at -20C long term. Avoid freeze-thaw cycles.

Background: Glucagon

The protein encoded by the Glucagon gene is actually a preproprotein that is cleaved into four distinct mature peptides. One ofthese, glucagon, is a pancreatic hormone that counteracts the glucose-lowering action of insulin by stimulatingglycogenolysis and gluconeogenesis. Glucagon is a ligand for a specific G-protein linked receptor whose signallingpathway controls cell proliferation. Two of the other peptides are secreted from gut endocrine cells and promotenutrient absorption through distinct mechanisms. Finally, the fourth peptide is similar to glicentin, an activeenteroglucagon. (provided by RefSeq)

Alternate Names

GCG, GRPP

Gene Symbol

GCG

UniProt

Additional Glucagon Products

Product Documents for Glucagon Antibody - BSA Free

Certificate of Analysis

To download a Certificate of Analysis, please enter a lot number in the search box below.

Product Specific Notices for Glucagon Antibody - BSA Free

This product is for research use only and is not approved for use in humans or in clinical diagnosis. Primary Antibodies are guaranteed for 1 year from date of receipt.

Loading...
Loading...
Loading...
Loading...