Skip to main content

GLI-1 Antibody - BSA Free

Novus Biologicals, part of Bio-Techne | Catalog # NB600-600

Novus Biologicals, part of Bio-Techne

Key Product Details

Validated by

Knockout/Knockdown, Biological Validation

Species Reactivity

Validated:

Human, Mouse, Canine

Cited:

Human, Mouse, Porcine, Canine

Applications

Validated:

Immunohistochemistry, Immunohistochemistry-Paraffin, Western Blot, Immunoblotting, ELISA, Flow (Intracellular), Immunocytochemistry/ Immunofluorescence, Chromatin Immunoprecipitation (ChIP), Knockdown Validated

Cited:

Immunohistochemistry-Paraffin, Western Blot, Flow Cytometry, Immunocytochemistry/ Immunofluorescence, Chromatin Immunoprecipitation (ChIP), Chemotaxis, IF/IHC

Label

Unconjugated

Antibody Source

Polyclonal Rabbit IgG

Format

BSA Free

Concentration

1 mg/ml

Product Specifications

Immunogen

A synthetic peptide made toward the C-terminus portion of the human GLI-1 protein (between residues 800-850)

Reactivity Notes

Canine reactivity reported from a verified customer review.

Localization

Cytoplasmic and Nuclear

Specificity

No reaction occurs with human or mouse Gli2 or Gli3.

Clonality

Polyclonal

Host

Rabbit

Isotype

IgG

Description

Novus Biologicals Rabbit GLI-1 Antibody - BSA Free (NB600-600) is a polyclonal antibody validated for use in IHC, WB, ELISA, Flow, ICC/IF and ChIP. Anti-GLI-1 Antibody: Cited in 55 publications. All Novus Biologicals antibodies are covered by our 100% guarantee.

Scientific Data Images for GLI-1 Antibody - BSA Free

Knockdown Validated: GLI-1 Antibody - BSA Free [NB600-600]

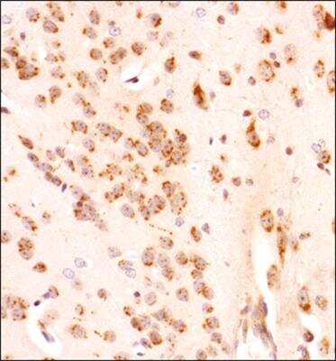
Immunohistochemistry: GLI-1 Antibody - BSA Free [NB600-600]

GLI-1-Antibody-Immunohistochemistry-Paraffin-NB600-600-img0005.jpg
Immunohistochemistry-Paraffin: GLI-1 Antibody - BSA Free [NB600-600]

Immunohistochemistry-Paraffin: GLI-1 Antibody - BSA Free [NB600-600]

Immunohistochemistry-Paraffin: GLI-1 Antibody [NB600-600] - Analysis of a FFPE mouse brain section using GLI-1 antibody at 1:600 dilution.
Immunohistochemistry-Paraffin: GLI-1 Antibody - BSA Free [NB600-600]

Immunohistochemistry-Paraffin: GLI-1 Antibody - BSA Free [NB600-600]

Immunohistochemistry-Paraffin: GLI-1 Antibody [NB600-600] - Staining in canine hair follicle. Image from a verified customer review.

Applications for GLI-1 Antibody - BSA Free

Application
Recommended Usage

Chromatin Immunoprecipitation (ChIP)

1:10-1:500

ELISA

1:500 - 1:2000

Flow (Intracellular)

1-2 ug/million cells

Immunoblotting

1 - 2 ug/ml

Immunocytochemistry/ Immunofluorescence

1 ug/ml

Immunohistochemistry

1:200

Immunohistochemistry-Paraffin

1:200

Western Blot

1 - 2 ug/ml
Application Notes
Use in ICC/IF reported in scientific literature (PMID:35226587) Prior to immunostaining paraffin tissues, antigen retrieval with sodium citrate buffer (pH 6.0) is recommended. Flow was reported in a customer review. IHC-P reported from a verified customer review. Use in immunoblotting reported in scientific literature (PMID: 28167297). Use in FLOW reported in scientific literature (PMID: 26238488)..

Reviewed Applications

Read 1 review rated 5 using NB600-600 in the following applications:

Formulation, Preparation, and Storage

Purification

Immunogen affinity purified

Formulation

PBS

Format

BSA Free

Preservative

0.02% Sodium Azide

Concentration

1 mg/ml

Shipping

The product is shipped with polar packs. Upon receipt, store it immediately at the temperature recommended below.

Stability & Storage

Store at 4C short term. Aliquot and store at -20C long term. Avoid freeze-thaw cycles.

Background: GLI-1

Gli1 is a transcription factor involved in development, patterning and the regulation of cell fate-determination. A down-stream effector of the Hedgehog (HH) signaling pathway, Gli proteins work with other transcriptional activators to up-regulate the expression of Gli-response genes. In addition to its role in embryogenesis, the aberrant activation of the HH/Gli pathway has been identified in numerous forms of cancer, implicating the Gli family of proteins as potential therapeutic targets. In the absence of a stimulus, Gli1 is anchored to the cytoplasm via Cos-2, which is then released and translocates to the nucleus upon activation of the HH pathway. In the nucleus, Gli1 binds DNA via a highly conserved C2-H2 zinc finger domain and acts exclusively as an activator increasing transcription of GLI1, PTCH1, PTCH2, HHIP1, MYCN, CCND1, CCND2, BCL2, CFLAR, FOXF1, FOXL1, PRDM1 (BLIMP1), JAG2, GREM1, and Follistatin.

Long Name

Glioma-Associated Oncogene Homolog 1 [Zinc Finger Protein]

Alternate Names

GLI1

Entrez Gene IDs

2735 (Human); 14632 (Mouse)

Gene Symbol

GLI1

UniProt

Additional GLI-1 Products

Product Documents for GLI-1 Antibody - BSA Free

Certificate of Analysis

To download a Certificate of Analysis, please enter a lot number in the search box below.

Product Specific Notices for GLI-1 Antibody - BSA Free

This product is for research use only and is not approved for use in humans or in clinical diagnosis. Primary Antibodies are guaranteed for 1 year from date of receipt.

Loading...
Loading...
Loading...
Loading...
Loading...