Skip to main content

Gigaxonin Antibody - BSA Free

Novus Biologicals, part of Bio-Techne | Catalog # NBP2-33569

Novus Biologicals, part of Bio-Techne
Catalog #
Availability
Size / Price
Qty
Loading...
NBP2-33569
NBP2-33569-25ul

Key Product Details

Species Reactivity

Validated:

Human

Predicted:

Mouse (99%), Rat (99%). Backed by our 100% Guarantee.

Applications

Immunohistochemistry, Immunohistochemistry-Paraffin, Immunocytochemistry/ Immunofluorescence

Label

Unconjugated

Antibody Source

Polyclonal Rabbit IgG

Format

BSA Free

Concentration

Concentrations vary lot to lot. See vial label for concentration. If unlisted please contact technical services.

Product Specifications

Immunogen

This antibody was developed against a recombinant protein corresponding to amino acids: ACGVAMELYVFGGVRSREDAQGSEMVTCKSEFYHDEFKRWIYLNDQNLCIPASSSFVYGAVPIGASIYVIGDLDTGTNYDYVREFKRSTG

Clonality

Polyclonal

Host

Rabbit

Isotype

IgG

Description

Novus Biologicals Rabbit Gigaxonin Antibody - BSA Free (NBP2-33569) is a polyclonal antibody validated for use in IHC and ICC/IF. All Novus Biologicals antibodies are covered by our 100% guarantee.

Scientific Data Images for Gigaxonin Antibody - BSA Free

Immunocytochemistry/ Immunofluorescence: Gigaxonin Antibody [NBP2-33569]

Immunocytochemistry/ Immunofluorescence: Gigaxonin Antibody [NBP2-33569]

Immunocytochemistry/Immunofluorescence: Gigaxonin Antibody [NBP2-33569] - Immunofluorescent staining of human cell line RT4 shows localization to microtubules.

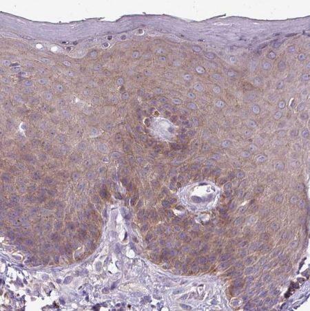
Staining of human skin shows weak cytoplasmic positivity in squamous epithelial cells.

Staining of human skin shows weak cytoplasmic positivity in squamous epithelial cells.

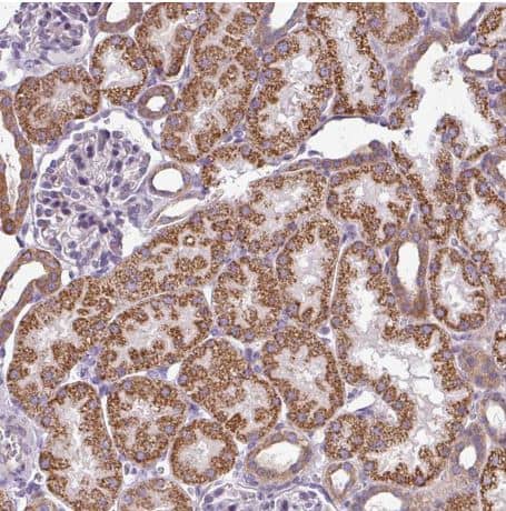
Staining of human kidney shows strong granular cytoplasmic positivity in cells in tubules.

Staining of human kidney shows strong granular cytoplasmic positivity in cells in tubules.

Applications for Gigaxonin Antibody - BSA Free

Application
Recommended Usage

Immunocytochemistry/ Immunofluorescence

0.25-2 ug/ml

Immunohistochemistry

1:50 - 1:200

Immunohistochemistry-Paraffin

1:50 - 1:200
Application Notes
For IHC-Paraffin, HIER pH 6 retrieval is recommended. ICC/IF, Fixation Permeabilization: Use PFA/Triton X-100.

Formulation, Preparation, and Storage

Purification

Affinity purified

Formulation

PBS (pH 7.2) and 40% Glycerol

Format

BSA Free

Preservative

0.02% Sodium Azide

Concentration

Concentrations vary lot to lot. See vial label for concentration. If unlisted please contact technical services.

Shipping

The product is shipped with polar packs. Upon receipt, store it immediately at the temperature recommended below.

Stability & Storage

Store at 4C short term. Aliquot and store at -20C long term. Avoid freeze-thaw cycles.

Background: Gigaxonin

Gigaxonin encodes a member of the cytoskeletal BTB/kelch (Broad-Complex, Tramtrack and Bric a brac) repeat family. The encoded protein plays a role in neurofilament architecture and is involved in mediating the ubiquitination and degradation of some proteins. Defects in this gene are a cause of giant axonal neuropathy (GAN). [provided by RefSeq]

Alternate Names

FLJ38059, GAN1KLHL16Kelch-like protein 16, giant axonal neuropathy (gigaxonin), gigaxonin

Gene Symbol

GAN

UniProt

Additional Gigaxonin Products

Product Documents for Gigaxonin Antibody - BSA Free

Certificate of Analysis

To download a Certificate of Analysis, please enter a lot number in the search box below.

Product Specific Notices for Gigaxonin Antibody - BSA Free

This product is for research use only and is not approved for use in humans or in clinical diagnosis. Primary Antibodies are guaranteed for 1 year from date of receipt.

Loading...
Loading...
Loading...
Loading...