Skip to main content

GGCX Antibody - BSA Free

Novus Biologicals, part of Bio-Techne | Catalog # NBP3-46236

Novus Biologicals, part of Bio-Techne
Catalog #
Availability
Size / Price
Qty
Loading...
NBP3-46236

Key Product Details

Species Reactivity

Human, Mouse, Rat

Applications

Immunohistochemistry, Western Blot, ELISA, Immunoprecipitation

Label

Unconjugated

Antibody Source

Polyclonal Rabbit IgG

Format

BSA Free

Concentration

Please see the vial label for concentration. If unlisted please contact technical services.

Product Specifications

Immunogen

gamma-glutamyl carboxylase. (Uniprot# P38435)

Clonality

Polyclonal

Host

Rabbit

Isotype

IgG

Theoretical MW

88 kDa.
Disclaimer note: The observed molecular weight of the protein may vary from the listed predicted molecular weight due to post translational modifications, post translation cleavages, relative charges, and other experimental factors.

Description

Novus Biologicals Rabbit GGCX Antibody - BSA Free (NBP3-46236) is a polyclonal antibody validated for use in IHC, WB, ELISA and IP. All Novus Biologicals antibodies are covered by our 100% guarantee.

Scientific Data Images for GGCX Antibody - BSA Free

GGCX Antibody - BSA Free

Immunoprecipitation: GGCX Antibody - BSA Free [NBP3-46236] -

Immunoprecipitation: GGCX Antibody - BSA Free [NBP3-46236] - IP Result of anti-GGCX (IP:, 4ug; Detection: 1:2000) with mouse liver tissue lysate 4000ug.
GGCX Antibody - BSA Free

Western Blot: GGCX Antibody - BSA Free [NBP3-46236] -

Western Blot: GGCX Antibody - BSA Free [NBP3-46236] - MCF7 cells were subjected to SDS PAGE followed by western blot with (GGCX antibody) at dilution of 1:2000
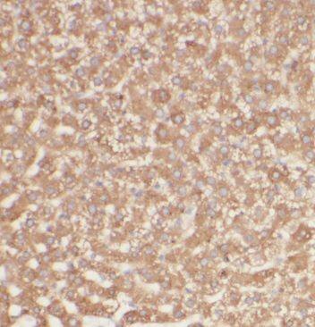
GGCX Antibody - BSA Free

Immunohistochemistry: GGCX Antibody - BSA Free [NBP3-46236] -

Immunohistochemistry: GGCX Antibody - BSA Free [NBP3-46236] - Immunohistochemistry of paraffin-embedded human liver using (GGCX antibody) at dilution of 1:100

Applications for GGCX Antibody - BSA Free

Application
Recommended Usage

Immunohistochemistry

1:20-1:200

Immunoprecipitation

1:200-1:1000

Western Blot

1:500-1:2000

Formulation, Preparation, and Storage

Purification

Immunogen affinity purified

Formulation

PBS, 50% Glycerol, pH (7.3)

Format

BSA Free

Preservative

0.02% Sodium Azide

Concentration

Please see the vial label for concentration. If unlisted please contact technical services.

Shipping

The product is shipped with polar packs. Upon receipt, store it immediately at the temperature recommended below.

Stability & Storage

Store at -20C. Avoid freeze-thaw cycles.

Background: GGCX

Gamma-glutamyl carboxylase (GGCX) mediates the vitamin K-dependent carboxylation of glutamate residues to calcium binding gamma-carboxyglutamate (Gla) residues with the concomitant conversion of the reduced hydroquinone form of vitamin K to vitamin K epoxide. GGCX accomplishes the posttranslational modification required for the activity of all of the vitamin K-dependent proteins. These include some of the blood coagulation and anticoagulation proteins as well as bone gamma-carboxyglutamic acid (Gla) protein (BGLAP) and bone matrix protein (MGP)

Long Name

Gamma-Glutamyl Carboxylase

Alternate Names

VKCFD1

Gene Symbol

GGCX

Additional GGCX Products

Product Documents for GGCX Antibody - BSA Free

Certificate of Analysis

To download a Certificate of Analysis, please enter a lot number in the search box below.

Product Specific Notices for GGCX Antibody - BSA Free

This product is for research use only and is not approved for use in humans or in clinical diagnosis. Primary Antibodies are guaranteed for 1 year from date of receipt.

Loading...
Loading...
Loading...
Loading...