Skip to main content

Gemin 4 Antibody

Novus Biologicals, part of Bio-Techne | Catalog # NB110-40591

Novus Biologicals, part of Bio-Techne
Catalog #
Availability
Size / Price
Qty
Loading...
NB110-40591

Key Product Details

Species Reactivity

Validated:

Human

Cited:

Human

Applications

Validated:

Immunohistochemistry, Immunohistochemistry-Paraffin, Western Blot, Immunocytochemistry/ Immunofluorescence, Immunoprecipitation

Cited:

Immunocytochemistry/ Immunofluorescence

Label

Unconjugated

Antibody Source

Polyclonal Rabbit IgG

Concentration

0.2 mg/ml

Product Specifications

Immunogen

The immunogen recognized by this antibody maps to a region between residue 1010 and the C-terminus (residue 1058) fo human Gem (nuclear organelle) Associated Protein 4 using the numbering given in entry NP_056536.1 (GeneID 50628).

Clonality

Polyclonal

Host

Rabbit

Isotype

IgG

Theoretical MW

120 kDa.
Disclaimer note: The observed molecular weight of the protein may vary from the listed predicted molecular weight due to post translational modifications, post translation cleavages, relative charges, and other experimental factors.

Description

Novus Biologicals Rabbit Gemin 4 Antibody (NB110-40591) is a polyclonal antibody validated for use in IHC, WB, ICC/IF and IP. Anti-Gemin 4 Antibody: Cited in 1 publication. All Novus Biologicals antibodies are covered by our 100% guarantee.

Scientific Data Images for Gemin 4 Antibody

Western Blot: Gemin 4 Antibody [NB110-40591]

Western Blot: Gemin 4 Antibody [NB110-40591]

Western Blot: Gemin 4 Antibody [NB110-40591] - Whole cell lysate from HeLa (5, 15 and 50 mcg for WB; 1 mg for IP, 20% of IP loaded) and 293T (T; 50 mcg) cells. NB110-40591 used for WB at 0.04 mcg/ml (A) and 1 mcg/ml (B) and used for IP at 3 mcg/mg lysate (B).
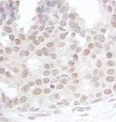
Immunohistochemistry-Paraffin: Gemin 4 Antibody [NB110-40591]

Immunohistochemistry-Paraffin: Gemin 4 Antibody [NB110-40591]

Immunohistochemistry-Paraffin: Gemin 4 Antibody [NB110-40591] - Human breast carcinoma. Antibody used at a dilution of 1:200.

Applications for Gemin 4 Antibody

Application
Recommended Usage

Immunohistochemistry

1:100-1:500

Immunohistochemistry-Paraffin

1:100-1:500

Immunoprecipitation

2-5 ug/mg lysate

Western Blot

1:2000-1:10000
Application Notes
Use in ICC/IF reported in scientific literature (PMID:10.1038/s41467-021-22627-w) Epitope retrieval with Tris-EDTA pH9.0 is recommended for FFPE tissue sections.

Formulation, Preparation, and Storage

Purification

Immunogen affinity purified

Formulation

TBS and 0.1% BSA

Preservative

0.09% Sodium Azide

Concentration

0.2 mg/ml

Shipping

The product is shipped with polar packs. Upon receipt, store it immediately at the temperature recommended below.

Stability & Storage

Store at 4C. Do not freeze.

Background: Gemin 4

The product of this gene is part of a large complex localized to the cytoplasm, nucleoli, and to discrete nuclear bodies called Gemini bodies (gems). The complex functions in spliceosomal snRNP assembly in the cytoplasm, and regenerates spliceosomes required for pre-mRNA splicing in the nucleus. The encoded protein directly interacts with a DEAD box protein and several spliceosome core proteins. Alternatively spliced transcript variants have been described, but their biological validity has not been determined.

Alternate Names

component of gems 4, DKFZp434B131, DKFZP434D174, gem (nuclear organelle) associated protein 4, gemin-4, HC56, HCAP1, HCC-associated protein 1, HHRF-1, p97DKFZp434D174

Entrez Gene IDs

50628 (Human)

Gene Symbol

GEMIN4

UniProt

Additional Gemin 4 Products

Product Documents for Gemin 4 Antibody

Certificate of Analysis

To download a Certificate of Analysis, please enter a lot number in the search box below.

Product Specific Notices for Gemin 4 Antibody

This product is for research use only and is not approved for use in humans or in clinical diagnosis. Primary Antibodies are guaranteed for 1 year from date of receipt.

Loading...
Loading...
Loading...
Loading...