Skip to main content

Gemin 3 Antibody - BSA Free

Novus Biologicals, part of Bio-Techne | Catalog # NBP1-84058

Novus Biologicals, part of Bio-Techne
Catalog #
Availability
Size / Price
Qty
Loading...
NBP1-84058
NBP1-84058-25ul

Key Product Details

Validated by

Orthogonal Validation

Species Reactivity

Human

Applications

Immunohistochemistry, Immunohistochemistry-Paraffin, Western Blot

Label

Unconjugated

Antibody Source

Polyclonal Rabbit IgG

Format

BSA Free

Concentration

Concentrations vary lot to lot. See vial label for concentration. If unlisted please contact technical services.

Product Specifications

Immunogen

This antibody was developed against Recombinant Protein corresponding to amino acids: MAKLKHFHCRVLISTDLTSRGIDAEKVNLVVNLDVPLDWETYMHRIGRAGRFGTLGLTVTYCCRGEEENMMMRIAQKCNINLLPLPDPIPSGLMEECVDWDVEVKAAVHTYGIASVPNQPLKKQIQKIERTLQIQKAHGDH

Reactivity Notes

Immunogen displays the following percentage of sequence identity for non-tested species: Mouse (83%), Rat (84%)

Clonality

Polyclonal

Host

Rabbit

Isotype

IgG

Description

Novus Biologicals Rabbit Gemin 3 Antibody - BSA Free (NBP1-84058) is a polyclonal antibody validated for use in IHC and WB. All Novus Biologicals antibodies are covered by our 100% guarantee.

Scientific Data Images for Gemin 3 Antibody - BSA Free

Immunohistochemistry-Paraffin: Gemin 3 Antibody [NBP1-84058]

Immunohistochemistry-Paraffin: Gemin 3 Antibody [NBP1-84058]

Immunohistochemistry-Paraffin: Gemin 3 Antibody [NBP1-84058] - Staining in human testis and skeletal muscle tissues using anti-DDX20 antibody. Corresponding DDX20 RNA-seq data are presented for the same tissues.
Immunohistochemistry-Paraffin: Gemin 3 Antibody [NBP1-84058]

Immunohistochemistry-Paraffin: Gemin 3 Antibody [NBP1-84058]

Immunohistochemistry-Paraffin: Gemin 3 Antibody [NBP1-84058] - Staining of human skeletal muscle shows low expression as expected.
Immunohistochemistry-Paraffin: Gemin 3 Antibody [NBP1-84058]

Immunohistochemistry-Paraffin: Gemin 3 Antibody [NBP1-84058]

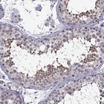
Immunohistochemistry-Paraffin: Gemin 3 Antibody [NBP1-84058] - Staining of human testis shows high expression.

Applications for Gemin 3 Antibody - BSA Free

Application
Recommended Usage

Immunohistochemistry

1:20 - 1:50

Immunohistochemistry-Paraffin

1:20 - 1:50

Western Blot

0.04-0.4 ug/ml
Application Notes
For IHC-Paraffin, HIER pH 6 retrieval is recommended. Immunocytochemistry/Immunofluorescence Fixation Permeabilization: Use PFA/Triton X-100.

Formulation, Preparation, and Storage

Purification

Immunogen affinity purified

Formulation

PBS (pH 7.2) and 40% Glycerol

Format

BSA Free

Preservative

0.02% Sodium Azide

Concentration

Concentrations vary lot to lot. See vial label for concentration. If unlisted please contact technical services.

Shipping

The product is shipped with polar packs. Upon receipt, store it immediately at the temperature recommended below.

Stability & Storage

Store at 4C short term. Aliquot and store at -20C long term. Avoid freeze-thaw cycles.

Background: Gemin 3

The survival of motor neurons (SMN) gene is the disease gene of spinal muscular atrophy (SMA), a common motor neuron degenerative disease. The SMN protein is part of a complex containing several proteins, of which one, SIP1 (SMN interacting protein 1), has been characterized so far. The SMN complex is found in both the cytoplasm and in the nucleus, where it is concentrated in bodies called gems. In the cytoplasm, SMN and SIP1 interact with the Sm core proteins of spliceosomal small nuclear ribonucleoproteins (snRNPs), and they play a critical role in snRNP assembly. In the nucleus, SMN is required for pre-mRNA splicing, likely by serving in the regeneration of snRNPs. A DEAD box putative RNA helicase, named Gemin 3 which is another component of the SMN complex, has been identified. Gemin 3 interacts directly with SMN, as well as with SmB, SmD2 and SmD3. Immunolocalization studies using mAbs to Gemin 3 show that it colocalizes with SMN in gems. Gemin 3 binds SMN via its unique COOH-terminal domain, and SMN mutations found in some SMA patients strongly reduce this interaction. The presence of a DEAD box motif in Gemin 3 suggests that it may provide the catalytic activity that plays a critical role in the function of the SMN complex on RNPs.

Alternate Names

Component of gems 3, DEAD (Asp-Glu-Ala-Asp) box polypeptide 20, DEAD box protein 20, DEAD box protein DP 103, DEAD/H (Asp-Glu-Ala-Asp/His) box polypeptide 20, 103kD, DKFZp434H052, DP103DEAD-box protein DP103, EC 3.6.4.13, Gemin-3, GEMIN3gemin-3, probable ATP-dependent RNA helicase DDX20, SMN-interacting protein

Gene Symbol

DDX20

Additional Gemin 3 Products

Product Documents for Gemin 3 Antibody - BSA Free

Certificate of Analysis

To download a Certificate of Analysis, please enter a lot number in the search box below.

Product Specific Notices for Gemin 3 Antibody - BSA Free

This product is for research use only and is not approved for use in humans or in clinical diagnosis. Primary Antibodies are guaranteed for 1 year from date of receipt.

Loading...
Loading...
Loading...
Loading...