Skip to main content

Galectin-3 Antibody (OTI1C7) - Azide and BSA Free

Novus Biologicals, part of Bio-Techne | Catalog # NBP2-71124

Novus Biologicals, part of Bio-Techne

Key Product Details

Species Reactivity

Human, Mouse

Applications

Immunohistochemistry, Immunohistochemistry-Paraffin, Western Blot

Label

Unconjugated

Antibody Source

Monoclonal Mouse IgG Clone # OTI1C7

Format

Azide and BSA Free

Concentration

LYOPH mg/ml

Product Specifications

Immunogen

Full length human recombinant protein of human LGALS3 (NP_002297) produced in E.coli.

Reactivity Notes

Please note that this antibody is reactive to Mouse and derived from the same host, Mouse. Mouse-On-Mouse blocking reagent may be needed for IHC and ICC experiments to reduce high background signal. You can find these reagents under catalog numbers PK-2200-NB and MP-2400-NB. Please contact Technical Support if you have any questions.

Clonality

Monoclonal

Host

Mouse

Isotype

IgG

Description

Novus Biologicals Mouse Galectin-3 Antibody (OTI1C7) - Azide and BSA Free (NBP2-45618) is a monoclonal antibody validated for use in IHC and WB. All Novus Biologicals antibodies are covered by our 100% guarantee.

Scientific Data Images for Galectin-3 Antibody (OTI1C7) - Azide and BSA Free

Western Blot: Galectin-3 Antibody (OTI1C7)Azide and BSA Free [NBP2-71124]

Western Blot: Galectin-3 Antibody (OTI1C7)Azide and BSA Free [NBP2-71124]

Western Blot: Galectin-3 Antibody (OTI1C7) - Azide and BSA Free [NBP2-71124] - Analysis of HEK293T cells were transfected with the pCMV6-ENTRY control (Left lane) or pCMV6-ENTRY Galectin-3.
Immunohistochemistry: Galectin-3 Antibody (OTI1C7) - Azide and BSA Free [NBP2-71124]

Immunohistochemistry: Galectin-3 Antibody (OTI1C7) - Azide and BSA Free [NBP2-71124]

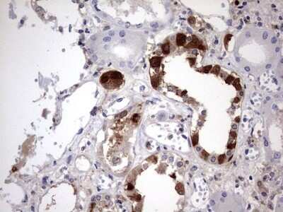
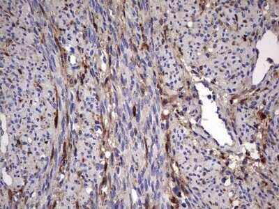
Immunohistochemistry: Galectin-3 Antibody (OTI1C7) - Azide and BSA Free [NBP2-71124] - Analysis of Human thyroid tissue. (Heat-induced epitope retrieval by 1 mM EDTA in 10mM Tris, pH8.5, 120C for 3min)
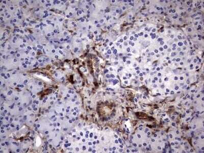
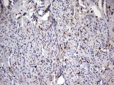
Immunohistochemistry: Galectin-3 Antibody (OTI1C7) - Azide and BSA Free [NBP2-71124]

Immunohistochemistry: Galectin-3 Antibody (OTI1C7) - Azide and BSA Free [NBP2-71124]

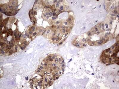
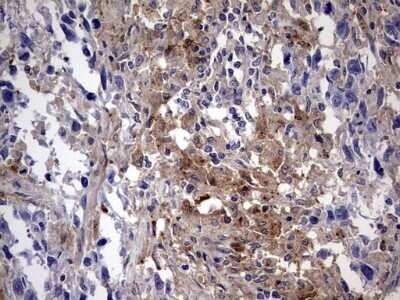
Immunohistochemistry: Galectin-3 Antibody (OTI1C7) - Azide and BSA Free [NBP2-71124] - Analysis of Adenocarcinoma of Human breast tissue. (Heat-induced epitope retrieval by 1 mM EDTA in 10mM Tris, pH8.5, 120C for 3min)

Applications for Galectin-3 Antibody (OTI1C7) - Azide and BSA Free

Application
Recommended Usage

Immunohistochemistry

1:150

Western Blot

1:2000

Formulation, Preparation, and Storage

Purification

Immunogen affinity purified

Reconstitution

we recommend adding 100uL distilled water to a final antibody concentration of about 1 mg/mL. To use this carrier-free antibody for conjugation experiment, we strongly recommend performing another round of desalting process.

Formulation

Lyophilized from PBS (pH 7.3) with 8% Trehalose

Format

Azide and BSA Free

Preservative

No Preservative

Concentration

LYOPH mg/ml

Shipping

The product is shipped with polar packs. Upon receipt, store it immediately at the temperature recommended below.

Stability & Storage

Store at -20C. Avoid freeze-thaw cycles.

Background: Galectin-3

Galactose-specific lectin which binds IgE. May mediate with the alpha-3, beta-1 integrin the stimulation by CSPG4 of endothelial cells migration. Together with DMBT1, required for terminal differentiation of columnar epithelial cells during early embryogenesis

Alternate Names

AGE-R3, CBP35, GAL3, Galectin3, L29, LGALS3, Mac-2

Gene Symbol

LGALS3

Additional Galectin-3 Products

Product Documents for Galectin-3 Antibody (OTI1C7) - Azide and BSA Free

Certificate of Analysis

To download a Certificate of Analysis, please enter a lot number in the search box below.

Product Specific Notices for Galectin-3 Antibody (OTI1C7) - Azide and BSA Free

This product is for research use only and is not approved for use in humans or in clinical diagnosis. Primary Antibodies are guaranteed for 1 year from date of receipt.

Loading...
Loading...
Loading...
Loading...
Loading...