Skip to main content

Galanin R3/GALR3 Antibody - BSA Free

Novus Biologicals, part of Bio-Techne | Catalog # NBP3-14329

Novus Biologicals, part of Bio-Techne
Catalog #
Availability
Size / Price
Qty
Loading...
NBP3-14329

Key Product Details

Species Reactivity

Validated:

Human

Predicted:

Primate (100%), Rat (100%). Backed by our 100% Guarantee.

Applications

Immunohistochemistry, Immunohistochemistry-Paraffin

Label

Unconjugated

Antibody Source

Polyclonal Rabbit

Format

BSA Free

Concentration

0.3 mg/ml

Product Specifications

Immunogen

Synthetic 17 amino acid peptide from 1st cytoplasmic domain of human Galanin R3/GALR3.

Epitope

Cytoplasmic Domain

Reactivity Notes

Expected reactivity based on percent sequence identity: Monkey (88%), Marmoset, Porcine, Bloom alga (82%)

Specificity

Human Galanin R3/GALR3. BLAST analysis of the peptide immunogen showed no homology with other human proteins.

Clonality

Polyclonal

Host

Rabbit

Description

Product can be stored undiluted at 4C for up to 1 month.

Scientific Data Images for Galanin R3/GALR3 Antibody - BSA Free

Immunohistochemistry-Paraffin: Galanin R3/GALR3 Antibody [NBP3-14329]

Immunohistochemistry-Paraffin: Galanin R3/GALR3 Antibody [NBP3-14329]

Immunohistochemistry-Paraffin: Galanin R3/GALR3 Antibody [NBP3-14329] - Immunohistochemistry of formalin-fixed, paraffin-embedded rat hippocampus after heat-induced antigen retrieval.
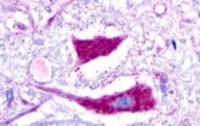
Immunohistochemistry: Galanin R3/GALR3 Antibody [NBP3-14329]

Immunohistochemistry: Galanin R3/GALR3 Antibody [NBP3-14329]

Immunohistochemistry: Galanin R3/GALR3 Antibody [NBP3-14329] - Immunohistochemistry of brain, medulla,
Galanin R3/GALR3 Antibody

Immunohistochemistry: Galanin R3/GALR3 Antibody [NBP3-14329] -

Immunohistochemistry: Galanin R3/GALR3 Antibody [NBP3-14329] - Immunohistochemistry of Lung, adenocarcinoma

Applications for Galanin R3/GALR3 Antibody - BSA Free

Application
Recommended Usage

Immunohistochemistry

Optimal dilutions of this antibody should be experimentally determined.

Immunohistochemistry-Paraffin

Optimal dilutions of this antibody should be experimentally determined.
Application Notes
.

Formulation, Preparation, and Storage

Purification

Immunogen affinity purified

Formulation

PBS

Format

BSA Free

Preservative

0.1% Sodium Azide

Concentration

0.3 mg/ml

Shipping

The product is shipped with polar packs. Upon receipt, store it immediately at the temperature recommended below.

Stability & Storage

Keep as concentrated solution. Aliquot and store at -20C or below. Avoid multiple freeze-thaw cycles.

Background: Galanin R3/GALR3

GalR3 is a Galanin Receptor that is similar, but distinct from the other galanin receptors, and it mediates the effects of the galanin peptide in a wide variety of tissues. Like GalR1, the signaling mechanism is predominantly through inhibition of adenylate cyclase. GalR3 has been reported in brain, testis, adrenal gland, and pancreas. An EST has been isolated from an ovarian thecoma fibroma library.

Long Name

Galanin Receptor Type 3

Alternate Names

GalaninR3, GALR3

Gene Symbol

GALR3

Additional Galanin R3/GALR3 Products

Product Documents for Galanin R3/GALR3 Antibody - BSA Free

Certificate of Analysis

To download a Certificate of Analysis, please enter a lot number in the search box below.

Product Specific Notices for Galanin R3/GALR3 Antibody - BSA Free

This product is for research use only and is not approved for use in humans or in clinical diagnosis. Primary Antibodies are guaranteed for 1 year from date of receipt.

Loading...
Loading...
Loading...
Loading...