Skip to main content

Galanin R3/GALR3 Antibody - BSA Free

Novus Biologicals, part of Bio-Techne | Catalog # NBP2-16577

Novus Biologicals, part of Bio-Techne
Catalog #
Availability
Size / Price
Qty
Loading...
NBP2-16577

Key Product Details

Species Reactivity

Human, Mouse, Rat

Applications

Immunohistochemistry, Immunohistochemistry-Paraffin, Western Blot

Label

Unconjugated

Antibody Source

Polyclonal Rabbit IgG

Format

BSA Free

Concentration

Concentrations vary lot to lot. See vial label for concentration. If unlisted please contact technical services.

Product Specifications

Immunogen

Carrier-protein conjugated synthetic peptide encompassing a sequence within the N-terminus region of human Galanin R3/GALR3. The exact sequence is proprietary.

Clonality

Polyclonal

Host

Rabbit

Isotype

IgG

Theoretical MW

40 kDa.
Disclaimer note: The observed molecular weight of the protein may vary from the listed predicted molecular weight due to post translational modifications, post translation cleavages, relative charges, and other experimental factors.

Description

Novus Biologicals Rabbit Galanin R3/GALR3 Antibody - BSA Free (NBP2-16577) is a polyclonal antibody validated for use in IHC and WB. All Novus Biologicals antibodies are covered by our 100% guarantee.

Scientific Data Images for Galanin R3/GALR3 Antibody - BSA Free

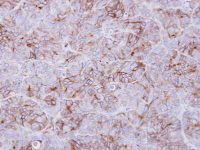
Immunohistochemistry-Paraffin: Galanin R3/GALR3 Antibody [NBP2-16577]

Immunohistochemistry-Paraffin: Galanin R3/GALR3 Antibody [NBP2-16577]

Immunohistochemistry-Paraffin: Galanin Receptor 3 Antibody [NBP2-16577] - Immunohistochemical analysis of paraffin-embedded SW480 xenograft, using antibody at 1:500 dilution.
Western Blot: Galanin R3/GALR3 Antibody [NBP2-16577]

Western Blot: Galanin R3/GALR3 Antibody [NBP2-16577]

Western Blot: Galanin R3/GALR3 Antibody [NBP2-16577] - Various tissue extracts (50 ug) were separated by 10% SDS-PAGE, and the membrane was blotted with GALR3 antibody diluted at 1:500. The HRP-conjugated anti-rabbit IgG antibody (NBP2-19301) was used to detect the primary antibody.

Applications for Galanin R3/GALR3 Antibody - BSA Free

Application
Recommended Usage

Immunohistochemistry

1:100-1:1000

Immunohistochemistry-Paraffin

1:100-1:1000

Western Blot

1:500-1:3000

Formulation, Preparation, and Storage

Purification

Antigen Affinity-purified

Formulation

0.1M Tris, 0.1M Glycine, 10% Glycerol

Format

BSA Free

Preservative

0.01% Thimerosal

Concentration

Concentrations vary lot to lot. See vial label for concentration. If unlisted please contact technical services.

Shipping

The product is shipped with polar packs. Upon receipt, store it immediately at the temperature recommended below.

Stability & Storage

Aliquot and store at -20C or -80C. Avoid freeze-thaw cycles.

Background: Galanin R3/GALR3

The neuropeptide galanin modulates a variety of physiologic processes including cognition/memory, sensory/pain processing, hormone secretion, and feeding behavior. The human galanin receptors are G protein-coupled receptors that functionally couple to their intracellular effector through distinct signaling pathways. GALR3 is found in many tissues and may be expressed as 1.4-, 2.4-, and 5-kb transcripts [provided by RefSeq]

Long Name

Galanin Receptor Type 3

Alternate Names

GalaninR3, GALR3

Gene Symbol

GALR3

UniProt

Additional Galanin R3/GALR3 Products

Product Documents for Galanin R3/GALR3 Antibody - BSA Free

Certificate of Analysis

To download a Certificate of Analysis, please enter a lot number in the search box below.

Product Specific Notices for Galanin R3/GALR3 Antibody - BSA Free

This product is for research use only and is not approved for use in humans or in clinical diagnosis. Primary Antibodies are guaranteed for 1 year from date of receipt.

Loading...
Loading...
Loading...
Loading...

⚠ WARNING: This product can expose you to chemicals including mercury, which is known to the State of California to cause reproductive toxicity with developmental effects.  For more information go to www.P65Warnings.ca.gov.