Skip to main content

FZR1/CDH1 Antibody - BSA Free

Novus Biologicals, part of Bio-Techne | Catalog # NBP1-91774

Novus Biologicals, part of Bio-Techne
Catalog #
Availability
Size / Price
Qty
Loading...
NBP1-91774-25ul
NBP1-91774

Key Product Details

Species Reactivity

Validated:

Human

Predicted:

Mouse (100%), Rat (100%). Backed by our 100% Guarantee.

Applications

Immunohistochemistry, Immunohistochemistry-Paraffin, Immunocytochemistry/ Immunofluorescence

Label

Unconjugated

Antibody Source

Polyclonal Rabbit IgG

Format

BSA Free

Concentration

Concentrations vary lot to lot. See vial label for concentration. If unlisted please contact technical services.

Product Specifications

Immunogen

This antibody was developed against Recombinant Protein corresponding to amino acids: DHQLLASGGNDNKLLVWNHSSLSPVQQYTEHLAAVKAIAWSPHQHGLLASGGGTADRCIRFWNTLTGQPLQCIDTGSQVCNLA

Clonality

Polyclonal

Host

Rabbit

Isotype

IgG

Scientific Data Images for FZR1/CDH1 Antibody - BSA Free

Immunocytochemistry/ Immunofluorescence: FZR1/CDH1 Antibody [NBP1-91774]

Immunocytochemistry/ Immunofluorescence: FZR1/CDH1 Antibody [NBP1-91774]

Immunocytochemistry/Immunofluorescence: FZR1/CDH1 Antibody [NBP1-91774] - Staining of human cell line A-431 shows localization to nucleoplasm & nuclear membrane. Antibody staining is shown in green.
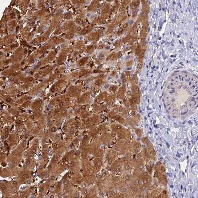
Immunohistochemistry-Paraffin: FZR1/CDH1 Antibody [NBP1-91774]

Immunohistochemistry-Paraffin: FZR1/CDH1 Antibody [NBP1-91774]

Immunohistochemistry-Paraffin: FZR1/CDH1 Antibody [NBP1-91774] - Staining of human liver shows strong cytoplasmic and nuclear positivity in hepatocytes.

Applications for FZR1/CDH1 Antibody - BSA Free

Application
Recommended Usage

Immunocytochemistry/ Immunofluorescence

0.25-2 ug/ml

Immunohistochemistry

1:50 - 1:200

Immunohistochemistry-Paraffin

1:50 - 1:200
Application Notes
For IHC-Paraffin, HIER pH 6 retrieval is recommended. ICC/IF, Fixation Permeabilization: Use PFA/Triton X-100.

Reviewed Applications

Read 1 review rated 5 using NBP1-91774 in the following applications:

Formulation, Preparation, and Storage

Purification

Affinity purified

Formulation

PBS (pH 7.2) and 40% Glycerol

Format

BSA Free

Preservative

0.02% Sodium Azide

Concentration

Concentrations vary lot to lot. See vial label for concentration. If unlisted please contact technical services.

Shipping

The product is shipped with polar packs. Upon receipt, store it immediately at the temperature recommended below.

Stability & Storage

Store at 4C short term. Aliquot and store at -20C long term. Avoid freeze-thaw cycles.

Background: FZR1/CDH1

FZR1( AAH13413, 1 a.a. - 494 a.a.) full-length recombinant protein with GST.

Alternate Names

CDC20C, CDH1, Cdh1/Hct1 homolog, CDH1CDC20-like 1b, fizzy/cell division cycle 20 related 1 (Drosophila), Fzr, FZR2, FZRCDC20-like protein 1, hCDH1, HCDHFYR, KIAA1242fizzy-related protein homolog

Gene Symbol

FZR1

Additional FZR1/CDH1 Products

Product Documents for FZR1/CDH1 Antibody - BSA Free

Certificate of Analysis

To download a Certificate of Analysis, please enter a lot number in the search box below.

Product Specific Notices for FZR1/CDH1 Antibody - BSA Free

This product is for research use only and is not approved for use in humans or in clinical diagnosis. Primary Antibodies are guaranteed for 1 year from date of receipt.

Loading...
Loading...
Loading...
Loading...