Skip to main content

FoxP2 Antibody (CL5312)

Novus Biologicals, part of Bio-Techne | Catalog # NBP3-52082

Recombinant Monoclonal Antibody
Novus Biologicals, part of Bio-Techne
Catalog #
Availability
Size / Price
Qty
Loading...
NBP3-52082-100ul
NBP3-52082-25ul

Key Product Details

Species Reactivity

Human

Applications

Immunohistochemistry, Immunohistochemistry-Paraffin, Immunocytochemistry/ Immunofluorescence

Label

Unconjugated

Antibody Source

Recombinant Monoclonal Mouse IgG1 Clone # CL5312

Concentration

1 mg/ml

Product Specifications

Immunogen

This antibody was developed using a recombinant protein derived from O15409, with the exact immunogen sequence remaining proprietary.

Clonality

Monoclonal

Host

Mouse

Isotype

IgG1

Scientific Data Images for FoxP2 Antibody (CL5312)

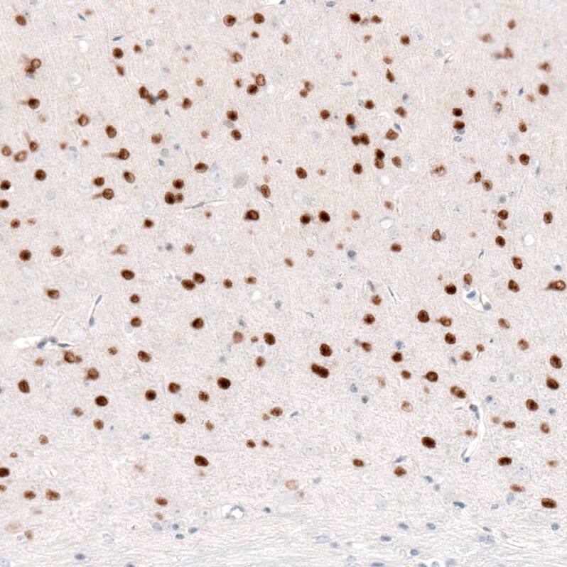
FoxP2 Antibody (CL5312) Immunohistochemistry: FoxP2 Antibody (CL5312) [NBP3-52082]

Immunohistochemistry: FoxP2 Antibody (CL5312) [NBP3-52082]

Staining of mouse brain shows strong nuclear positivity in layer 6 cortical neurons, as well as in neurons in caudato-putamen.
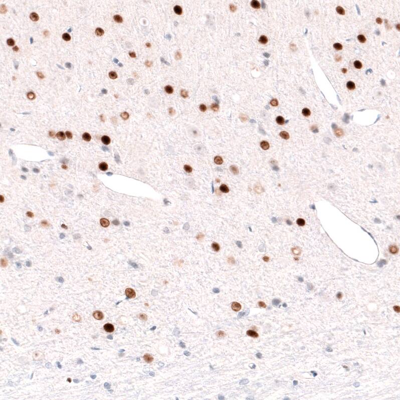
FoxP2 Antibody (CL5312) Immunohistochemistry: FoxP2 Antibody (CL5312) [NBP3-52082]

Immunohistochemistry: FoxP2 Antibody (CL5312) [NBP3-52082]

Staining of human lymph node shows no positivity in non-germinal center cells as expected.
FoxP2 Antibody (CL5312) Immunohistochemistry: FoxP2 Antibody (CL5312) [NBP3-52082]

Immunohistochemistry: FoxP2 Antibody (CL5312) [NBP3-52082]

Staining of human rectum shows moderate to strong nuclear positivity in glandular cells.

Applications for FoxP2 Antibody (CL5312)

Application
Recommended Usage

Immunocytochemistry/ Immunofluorescence

2-10 ug/ml

Immunohistochemistry

1:50-1:200

Immunohistochemistry-Paraffin

1:50-1:200
Application Notes
For IHC-Paraffin, HIER pH 6 retrieval is recommended. ICC/IF Fixation Permeabilization: Use PFA/Triton X-100.

Formulation, Preparation, and Storage

Purification

Protein A purified

Formulation

PBS, pH 7.2, 40% glycerol

Preservative

0.02% Sodium Azide

Concentration

1 mg/ml

Shipping

The product is shipped with polar packs. Upon receipt, store it immediately at the temperature recommended below.

Stability & Storage

Store at 4C short term. Aliquot and store at -20C long term. Avoid freeze-thaw cycles.

Background: FoxP2

FOXP2 encodes an evolutionarily conserved transcription factor expressed in fetal and adult brain. This transcription factor is a member of the forkhead/winged-helix (FOX) family of transcription factors, and contains a FOX DNA-binding domain and a large polyglutamine tract. Members of the FOX family of transcription factors are regulators of embryogenesis. The product of this gene is thought to be required for proper development of speech and language regions of the brain during embryogenesis. Although a point mutation in this gene has been associated with the KE pedigree segregating developmental verbal dyspraxia, no association between mutations in this gene and another speech disorder, autism, has been found. Four alternative transcripts encoding three different isoforms have been identified.

Long Name

Forkhead Box P2

Alternate Names

CAGH44, SPCH1, TNRC10

Gene Symbol

FOXP2

Additional FoxP2 Products

Product Documents for FoxP2 Antibody (CL5312)

Certificate of Analysis

To download a Certificate of Analysis, please enter a lot number in the search box below.

Product Specific Notices for FoxP2 Antibody (CL5312)

This product is for research use only and is not approved for use in humans or in clinical diagnosis. Primary Antibodies are guaranteed for 1 year from date of receipt.

Loading...
Loading...
Loading...
Loading...