FoxP2 Antibody (CL5312) - Azide and BSA Free
Novus Biologicals, part of Bio-Techne | Catalog # NBP3-43878
Conjugate
Catalog #
Forumulation
Catalog #
Key Product Details
Species Reactivity
Human, Mouse, Rat
Applications
Immunohistochemistry-Paraffin, Immunocytochemistry/ Immunofluorescence
Label
Unconjugated
Antibody Source
Monoclonal Mouse IgG1 Clone # CL5312
Format
Azide and BSA Free
Concentration
LYOPH mg/ml
Product Specifications
Immunogen
This antibody was generated using a recombinant protein sequence of O15409, with the exact immunogen sequence remaining proprietary.
Clonality
Monoclonal
Host
Mouse
Isotype
IgG1
Description
Novus Biologicals Mouse FoxP2 Antibody (CL5312) - Azide and BSA Free (NBP2-61413) is a monoclonal antibody validated for use in IHC and ICC/IF. All Novus Biologicals antibodies are covered by our 100% guarantee.
Scientific Data Images for FoxP2 Antibody (CL5312) - Azide and BSA Free
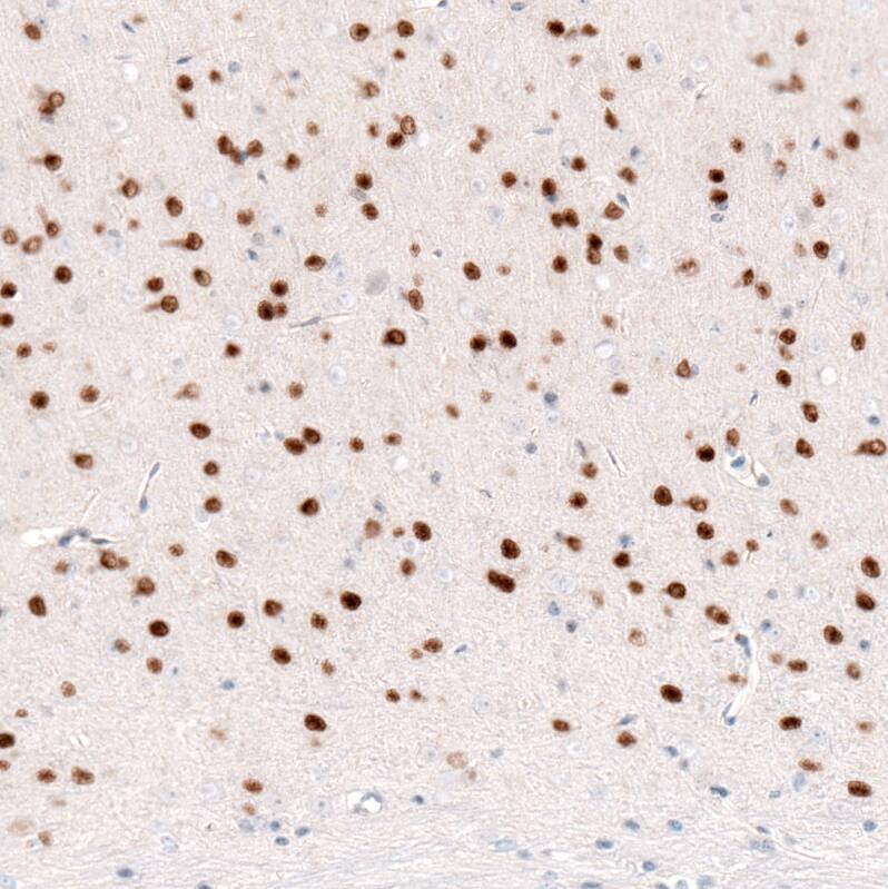
Immunohistochemistry-Paraffin: FoxP2 Antibody [NBP3-43878]
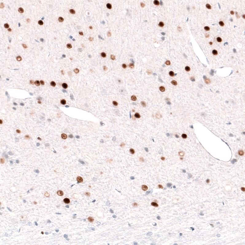
Staining of human cerebral cortex shows strong nuclear positivity in layer 6 neurons.Immunohistochemistry-Paraffin: FoxP2 Antibody [NBP3-43878]
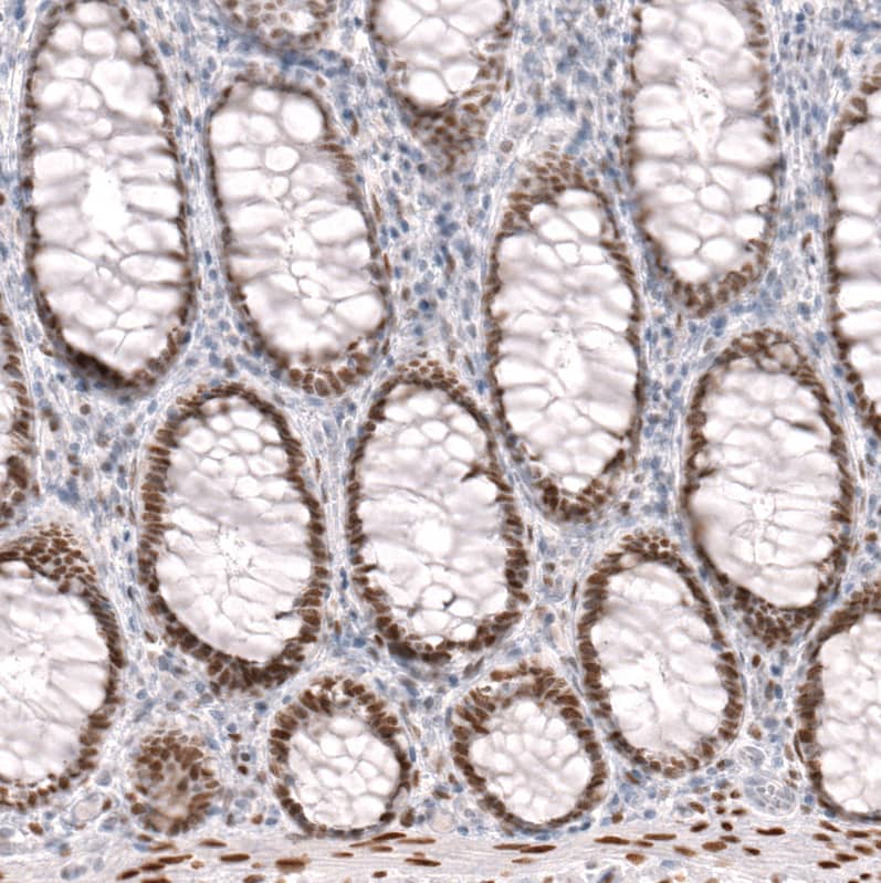
Staining of human rectum shows moderate to strong nuclear positivity in glandular cells.Immunohistochemistry-Paraffin: FoxP2 Antibody [NBP3-43878]
Staining of human lymph node shows no positivity in non-germinal center cells as expected.Applications for FoxP2 Antibody (CL5312) - Azide and BSA Free
Application
Recommended Usage
Immunocytochemistry/ Immunofluorescence
2-10 ug/ml
Immunohistochemistry-Paraffin
1:200 - 1:500
Application Notes
For IHC-Paraffin, HIER pH 6 retrieval is recommended. Immunocytochemistry/ Immunofluorescence/IF Fixation Permeabilization: PFA/Triton X-100
Formulation, Preparation, and Storage
Purification
Protein A purified
Reconstitution
Centrifuge the vial of lyophilized antibody at 12,000 x g for 20 seconds. Reconstitute by adding sterile, distilled water to achieve a final antibody concentration of 1mg/ml.
Formulation
Lyophilized from a 0.2 um filtered solution in PBS with Trehalose
Format
Azide and BSA Free
Preservative
No Preservative
Concentration
LYOPH mg/ml
Shipping
The product is shipped at ambient temperature. Upon receipt, store it immediately at the temperature recommended below.
Stability & Storage
Store at 4C short term. Aliquot and store at -20C long term. Avoid freeze-thaw cycles.
Background: FoxP2
Long Name
Forkhead Box P2
Alternate Names
CAGH44, SPCH1, TNRC10
Gene Symbol
FOXP2
Additional FoxP2 Products
Product Documents for FoxP2 Antibody (CL5312) - Azide and BSA Free
Product Specific Notices for FoxP2 Antibody (CL5312) - Azide and BSA Free
This product is for research use only and is not approved for use in humans or in clinical diagnosis. Primary Antibodies are guaranteed for 1 year from date of receipt.
Loading...
Loading...
Loading...
Loading...
Loading...