Skip to main content

FoxJ1/HFH4 Antibody (CL3991) - Azide and BSA Free

Novus Biologicals, part of Bio-Techne | Catalog # NBP3-44121

Novus Biologicals, part of Bio-Techne

Key Product Details

Validated by

Orthogonal Validation

Species Reactivity

Human

Applications

Immunohistochemistry-Paraffin

Label

Unconjugated

Antibody Source

Monoclonal Mouse IgG1 Clone # CL3991

Format

Azide and BSA Free

Concentration

LYOPH mg/ml

Product Specifications

Immunogen

This antibody was generated using a recombinant protein sequence of Q92949, with the exact immunogen sequence remaining proprietary.

Clonality

Monoclonal

Host

Mouse

Isotype

IgG1

Scientific Data Images for FoxJ1/HFH4 Antibody (CL3991) - Azide and BSA Free

FoxJ1/HFH4 Antibody (CL3991) - Azide and BSA Free Immunohistochemistry-Paraffin: FoxJ1/HFH4 Antibody [NBP3-44121]

Immunohistochemistry-Paraffin: FoxJ1/HFH4 Antibody [NBP3-44121]

Analysis in human fallopian tube and skeletal muscle tissues using NBP3-44121 antibody. Corresponding FoxJ1/HFH4 RNA-seq data are presented for the same tissues.
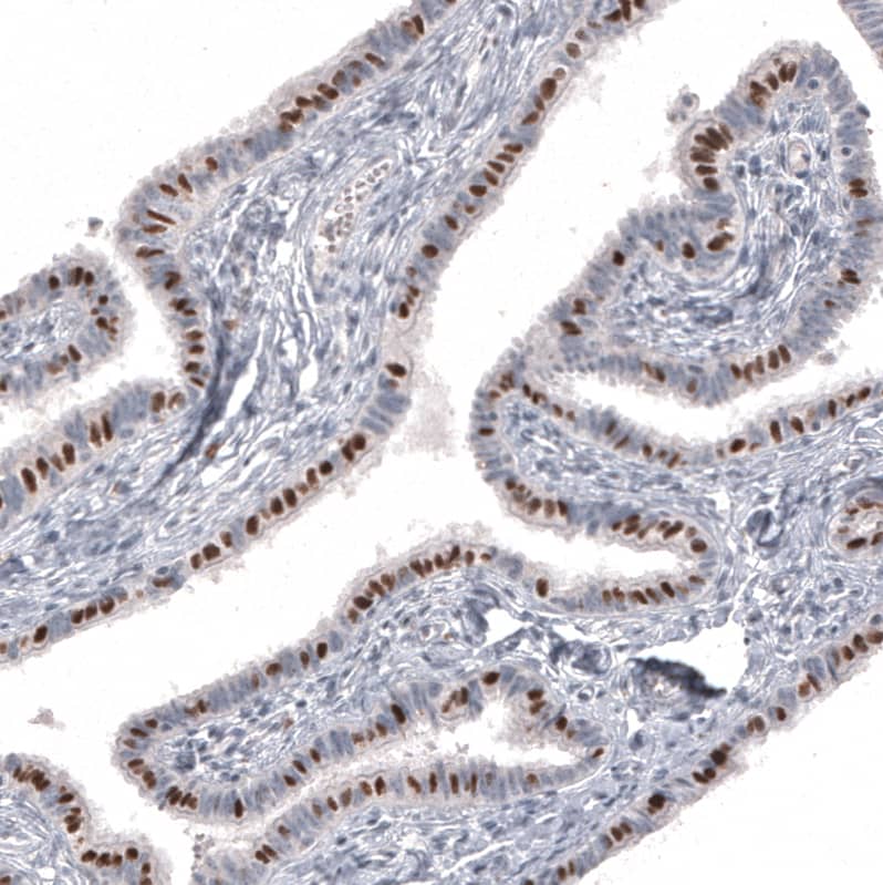
FoxJ1/HFH4 Antibody (CL3991) - Azide and BSA Free Immunohistochemistry-Paraffin: FoxJ1/HFH4 Antibody [NBP3-44121]

Immunohistochemistry-Paraffin: FoxJ1/HFH4 Antibody [NBP3-44121]

Staining of human fallopian tube shows moderate to strong nuclear positivity in glandular cells.
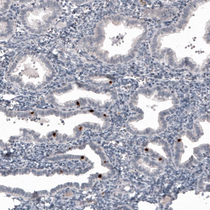
FoxJ1/HFH4 Antibody (CL3991) - Azide and BSA Free Immunohistochemistry-Paraffin: FoxJ1/HFH4 Antibody [NBP3-44121]

Immunohistochemistry-Paraffin: FoxJ1/HFH4 Antibody [NBP3-44121]

Staining of human endometrium shows strong nuclear positivity in a subset of glandular cells.

Applications for FoxJ1/HFH4 Antibody (CL3991) - Azide and BSA Free

Application
Recommended Usage

Immunohistochemistry-Paraffin

1:200 - 1:500
Application Notes
For IHC-Paraffin, HIER pH 6 retrieval is recommended.

Formulation, Preparation, and Storage

Purification

Protein A purified

Reconstitution

Centrifuge the vial of lyophilized antibody at 12,000 x g for 20 seconds. Reconstitute by adding sterile, distilled water to achieve a final antibody concentration of 1mg/ml.

Formulation

Lyophilized from a 0.2 um filtered solution in PBS with Trehalose

Format

Azide and BSA Free

Preservative

No Preservative

Concentration

LYOPH mg/ml

Shipping

The product is shipped at ambient temperature. Upon receipt, store it immediately at the temperature recommended below.

Stability & Storage

Store at 4C short term. Aliquot and store at -20C long term. Avoid freeze-thaw cycles.

Background: FoxJ1

FOXJ1 is a member of the forkhead gene family, which was originally identified in Drosophila. The forkhead family is composed of transcription factors with a conserved 100-amino acid DNA-binding motif.[supplied by OMIM]

Long Name

Forkhead Box J1

Alternate Names

FKHL13, HFH-4

Gene Symbol

FOXJ1

Additional FoxJ1 Products

Product Documents for FoxJ1/HFH4 Antibody (CL3991) - Azide and BSA Free

Certificate of Analysis

To download a Certificate of Analysis, please enter a lot number in the search box below.

Product Specific Notices for FoxJ1/HFH4 Antibody (CL3991) - Azide and BSA Free

This product is for research use only and is not approved for use in humans or in clinical diagnosis. Primary Antibodies are guaranteed for 1 year from date of receipt.

Loading...
Loading...
Loading...
Loading...
Loading...