Skip to main content

Follistatin-related Gene Protein/FLRG/Fstl3 Antibody - Azide and BSA Free

Novus Biologicals, part of Bio-Techne | Catalog # NBP2-98212

Novus Biologicals, part of Bio-Techne

Key Product Details

Species Reactivity

Mouse

Applications

Immunohistochemistry, Immunohistochemistry-Paraffin, ELISA

Label

Unconjugated

Antibody Source

Polyclonal Rabbit IgG

Format

Azide and BSA Free

Concentration

Please see the vial label for concentration. If unlisted please contact technical services.

Product Specifications

Immunogen

Produced in rabbits immunized with purified, recombinant Mouse Follistatin-related Gene Protein/FLRG/Fstl3 (Accession#: NP_113557.1; Met 1-Val 256)

Clonality

Polyclonal

Host

Rabbit

Isotype

IgG

Description

This antibody can be stored at 2C to 8C for one month without detectable loss of activity. Antibody products are stable for twelve months from date of receipt when stored at -20C to -80C. Avoid repeated freeze-thaw cycles.

Scientific Data Images

Immunohistochemistry-Paraffin: Follistatin-related Gene Protein/FLRG/Fstl3 Antibody [NBP2-98212]

Immunohistochemistry-Paraffin: Follistatin-related Gene Protein/FLRG/Fstl3 Antibody [NBP2-98212]

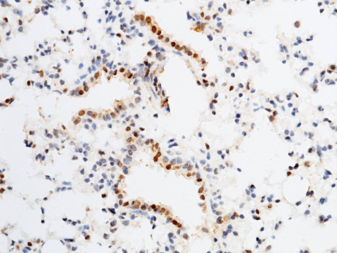
Immunohistochemistry-Paraffin: Follistatin-related Gene Protein/FLRG/Fstl3 Antibody [NBP2-98212] - Immunochemical staining of mouse Follistatin-related Gene Protein/FLRG/Fstl3 in mouse lung with rabbit polyclonal antibody (1:1000, formalin-fixed paraffin embedded sections).
Follistatin-related Gene Protein/FLRG/Fstl3 Antibody - Azide and BSA Free

Immunohistochemistry-Paraffin: Follistatin-related Gene Protein/FLRG/Fstl3 Antibody [NBP2-98212] -

Immunohistochemistry-Paraffin: Follistatin-related Gene Protein/FLRG/Fstl3 Antibody [NBP2-98212] - Immunochemical staining of Follistatin-related Gene Protein/FLRG/Fstl3 in mouse lung with NBP2-98212 (1:1000, formalin-fixed paraffin embedded sections).

Applications

Application
Recommended Usage

ELISA

1:1000-1:2000

Immunohistochemistry-Paraffin

1:500-1:2000

Formulation, Preparation, and Storage

Purification

Antigen and protein A Affinity-purified

Formulation

0.2 um filtered solution in PBS

Format

Azide and BSA Free

Preservative

No Preservative

Concentration

Please see the vial label for concentration. If unlisted please contact technical services.

Shipping

The product is shipped with polar packs. Upon receipt, store it immediately at the temperature recommended below.

Stability & Storage

Store at 4C short term. Aliquot and store at -20C long term. Avoid freeze-thaw cycles.

Background: Follistatin-related Gene Protein/FLRG

Follistatin-like 3 is a secreted glycoprotein of the follistatin-module-protein family. It may have a role in leukemogenesis. [provided by RefSeq]

Alternate Names

Follistatin-like 3, FSTL3

Gene Symbol

FSTL3

Additional Follistatin-related Gene Protein/FLRG Products

Product Documents

Certificate of Analysis

To download a Certificate of Analysis, please enter a lot number in the search box below.

Product Specific Notices

This product is for research use only and is not approved for use in humans or in clinical diagnosis. Primary Antibodies are guaranteed for 1 year from date of receipt.

Loading...
Loading...
Loading...
Loading...