Skip to main content

FBXW7/Cdc4 Antibody (OTI6F5) - Azide and BSA Free

Novus Biologicals, part of Bio-Techne | Catalog # NBP2-71995

Novus Biologicals, part of Bio-Techne

Key Product Details

Species Reactivity

Human, Mouse, Rat

Applications

Immunohistochemistry, Immunohistochemistry-Paraffin, Western Blot

Label

Unconjugated

Antibody Source

Monoclonal Mouse IgG2A Clone # OTI6F5

Format

Azide and BSA Free

Concentration

LYOPH mg/ml

Product Specifications

Immunogen

Human recombinant protein fragment corresponding to amino acids 1-354 of human FBXW7 (NP_361014) produced in E.coli.

Reactivity Notes

Please note that this antibody is reactive to Mouse and derived from the same host, Mouse. Mouse-On-Mouse blocking reagent may be needed for IHC and ICC experiments to reduce high background signal. You can find these reagents under catalog numbers PK-2200-NB and MP-2400-NB. Please contact Technical Support if you have any questions.

Clonality

Monoclonal

Host

Mouse

Isotype

IgG2A

Theoretical MW

79.5 kDa.
Disclaimer note: The observed molecular weight of the protein may vary from the listed predicted molecular weight due to post translational modifications, post translation cleavages, relative charges, and other experimental factors.

Description

Novus Biologicals Mouse FBXW7/Cdc4 Antibody (OTI6F5) - Azide and BSA Free (NBP2-45623) is a monoclonal antibody validated for use in IHC and WB. All Novus Biologicals antibodies are covered by our 100% guarantee.

Scientific Data Images for FBXW7/Cdc4 Antibody (OTI6F5) - Azide and BSA Free

Western Blot: FBXW7/Cdc4 Antibody (OTI6F5)Azide and BSA Free [NBP2-71995]

Western Blot: FBXW7/Cdc4 Antibody (OTI6F5)Azide and BSA Free [NBP2-71995]

Western Blot: FBXW7/Cdc4 Antibody (OTI6F5) - Azide and BSA Free [NBP2-71995] - Analysis of HEK293T cells were transfected with the pCMV6-ENTRY control (Left lane) or pCMV6-ENTRY FBXW7.
Immunohistochemistry: FBXW7/Cdc4 Antibody (OTI6F5) - Azide and BSA Free [NBP2-71995]

Immunohistochemistry: FBXW7/Cdc4 Antibody (OTI6F5) - Azide and BSA Free [NBP2-71995]

Immunohistochemistry: FBXW7/Cdc4 Antibody (OTI6F5) - Azide and BSA Free [NBP2-71995] - Analysis of Human Kidney tissue. (Heat-induced epitope retrieval by 10mM citric buffer, pH6.0, 120C for 3min)
Immunohistochemistry: FBXW7/Cdc4 Antibody (OTI6F5) - Azide and BSA Free [NBP2-71995]

Immunohistochemistry: FBXW7/Cdc4 Antibody (OTI6F5) - Azide and BSA Free [NBP2-71995]

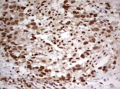
Immunohistochemistry: FBXW7/Cdc4 Antibody (OTI6F5) - Azide and BSA Free [NBP2-71995] - Analysis of Adenocarcinoma of Human breast tissue. (Heat-induced epitope retrieval by 10mM citric buffer, pH6.0, 120C for 3min)

Applications for FBXW7/Cdc4 Antibody (OTI6F5) - Azide and BSA Free

Application
Recommended Usage

Immunohistochemistry

1:150

Western Blot

1:2000

Formulation, Preparation, and Storage

Purification

Immunogen affinity purified

Reconstitution

we recommend adding 100uL distilled water to a final antibody concentration of about 1 mg/mL. To use this carrier-free antibody for conjugation experiment, we strongly recommend performing another round of desalting process.

Formulation

Lyophilized from PBS (pH 7.3) with 8% Trehalose

Format

Azide and BSA Free

Preservative

No Preservative

Concentration

LYOPH mg/ml

Shipping

The product is shipped with polar packs. Upon receipt, store it immediately at the temperature recommended below.

Stability & Storage

Store at -20C. Avoid freeze-thaw cycles.

Background: FBXW7/Cdc4

Auxin-inducible degron (AID) technology allows rapid depletion of proteins in animal cells and fungi. Auxin includes chemicals such as IAA (indole-3-aceticacid) and NAA (1-naphtalene acetic acid) and includes inhibitors in plants. For the degradation, and SCF ubiquitin ligase complex containing the TIR1 protein is activated via the association of auxin with TIR1. Because the core SCF components are conserved in all eukaryotic cells, it is possible to transplant the degradation pathway to yeast and mammalian cells by expressing TIR1. In those cells expressing TIR1, a protein fused with degron (AID degron) derived from AUX/IAA can be rapidly degraded in the presence of auxin. Anti-mini-AID tag can detected both mini-AID-tag and full-length AID-tag.

Long Name

F-box and WD Repeat Domain Containing 7

Alternate Names

AGO, Archipelago Homolog, Cdc4, FBW6, Fbw7, FBX30, FBXO30, FBXW6, SCF(Fbw7), SEL10

Gene Symbol

FBXW7

Additional FBXW7/Cdc4 Products

Product Documents for FBXW7/Cdc4 Antibody (OTI6F5) - Azide and BSA Free

Certificate of Analysis

To download a Certificate of Analysis, please enter a lot number in the search box below.

Product Specific Notices for FBXW7/Cdc4 Antibody (OTI6F5) - Azide and BSA Free

This product is for research use only and is not approved for use in humans or in clinical diagnosis. Primary Antibodies are guaranteed for 1 year from date of receipt.

Loading...
Loading...
Loading...
Loading...
Loading...