FBXW7/Cdc4 Antibody (OTI6F5)
Novus Biologicals, part of Bio-Techne | Catalog # NBP2-45623
Conjugate
Catalog #
Forumulation
Catalog #
Key Product Details
Species Reactivity
Human, Mouse, Rat
Applications
Immunohistochemistry, Immunohistochemistry-Paraffin, Western Blot
Label
Unconjugated
Antibody Source
Monoclonal Mouse IgG2A Clone # OTI6F5
Concentration
1 mg/ml
Product Specifications
Immunogen
Human recombinant protein fragment corresponding to amino acids 1-354 of human FBXW7 (NP_361014) produced in E.coli.
Reactivity Notes
Please note that this antibody is reactive to Mouse and derived from the same host, Mouse. Mouse-On-Mouse blocking reagent may be needed for IHC and ICC experiments to reduce high background signal. You can find these reagents under catalog numbers PK-2200-NB and MP-2400-NB. Please contact Technical Support if you have any questions.
Clonality
Monoclonal
Host
Mouse
Isotype
IgG2A
Theoretical MW
79.5 kDa.
Disclaimer note: The observed molecular weight of the protein may vary from the listed predicted molecular weight due to post translational modifications, post translation cleavages, relative charges, and other experimental factors.
Disclaimer note: The observed molecular weight of the protein may vary from the listed predicted molecular weight due to post translational modifications, post translation cleavages, relative charges, and other experimental factors.
Description
Novus Biologicals Mouse FBXW7/Cdc4 Antibody (OTI6F5) (NBP2-45623) is a monoclonal antibody validated for use in IHC and WB. All Novus Biologicals antibodies are covered by our 100% guarantee.
Scientific Data Images for FBXW7/Cdc4 Antibody (OTI6F5)
Western Blot: FBXW7/Cdc4 Antibody (OTI6F5) [NBP2-45623]
Western Blot: FBXW7/Cdc4 Antibody (6F5) [NBP2-45623] - Analysis of HEK293T cells were transfected with the pCMV6-ENTRY control (Left lane) or pCMV6-ENTRY FBXW7.Immunohistochemistry: FBXW7/Cdc4 Antibody (OTI6F5) [NBP2-45623]
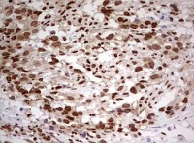
Immunohistochemistry: FBXW7/Cdc4 Antibody (6F5) [NBP2-45623] - Analysis of Carcinoma of Human prostate tissue. (Heat-induced epitope retrieval by 10mM citric buffer, pH6.0, 120C for 3min)Immunohistochemistry: FBXW7/Cdc4 Antibody (OTI6F5) [NBP2-45623]
Immunohistochemistry: FBXW7/Cdc4 Antibody (6F5) [NBP2-45623] - Analysis of Adenocarcinoma of Human breast tissue. (Heat-induced epitope retrieval by 10mM citric buffer, pH6.0, 120C for 3min)Applications for FBXW7/Cdc4 Antibody (OTI6F5)
Application
Recommended Usage
Immunohistochemistry
1:150
Immunohistochemistry-Paraffin
1:150
Western Blot
1:2000
Formulation, Preparation, and Storage
Purification
Immunogen affinity purified
Formulation
PBS (pH 7.3), 1.0% BSA and 50% Glycerol
Preservative
0.02% Sodium Azide
Concentration
1 mg/ml
Shipping
The product is shipped with polar packs. Upon receipt, store it immediately at the temperature recommended below.
Stability & Storage
Store at -20C. Avoid freeze-thaw cycles.
Background: FBXW7/Cdc4
Long Name
F-box and WD Repeat Domain Containing 7
Alternate Names
AGO, Archipelago Homolog, Cdc4, FBW6, Fbw7, FBX30, FBXO30, FBXW6, SCF(Fbw7), SEL10
Gene Symbol
FBXW7
Additional FBXW7/Cdc4 Products
Product Documents for FBXW7/Cdc4 Antibody (OTI6F5)
Product Specific Notices for FBXW7/Cdc4 Antibody (OTI6F5)
This product is for research use only and is not approved for use in humans or in clinical diagnosis. Primary Antibodies are guaranteed for 1 year from date of receipt.
Loading...
Loading...
Loading...
Loading...